아카이브 요약
이 페이지의 역할
이편한세상치과의원-화곡점의 네이버 블로그 원문을 보존한 아카이브 페이지입니다. 사랑니 발치 카테고리의 마곡동사랑니 사랑니 발치 통증 마취하면 아예 아프지 않은 걸까? 글을 통해 병원의 한국어 정보 제공 방식과 진료 관련 안내 톤을 확인할 수 있습니다.
원문 검증
필요하면 원문 블로그와 병원 프로필로 바로 이동해 문맥을 다시 확인할 수 있습니다.
출처 아카이브 열기아카이브된 블로그 글
이편한세상치과의원-화곡점 · Naver Blog
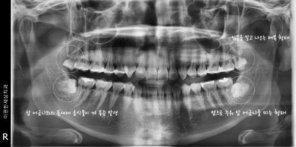
안녕하세요. 이편한세상치과입니다. 사랑니 발치를 앞둔 분들이 제일 걱정하는 것 중 하나가 “마취하면 정말 안 아픈가요?”라는 질문입니다. 유독 이 질문이 많은 이유는 통증이 두렵기 때문입니다. 마곡동사랑니 주변에서 들려오는 말은 "너무 아파서 며칠 동안 끙끙 앓았어" "매복은 큰 곳에 가서 뽑아야 한대. 잇몸 절개...
게시일
2025년 11월 16일
원문 기준으로 확인된 발행일입니다.
카테고리
사랑니 발치
원문 블로그 카테고리를 정리해 함께 표시합니다.
이미지 수
12
현재 아카이브에 연결된 이미지 수입니다.
아카이브 요약
이편한세상치과의원-화곡점의 네이버 블로그 원문을 보존한 아카이브 페이지입니다. 사랑니 발치 카테고리의 마곡동사랑니 사랑니 발치 통증 마취하면 아예 아프지 않은 걸까? 글을 통해 병원의 한국어 정보 제공 방식과 진료 관련 안내 톤을 확인할 수 있습니다.
원문 검증
필요하면 원문 블로그와 병원 프로필로 바로 이동해 문맥을 다시 확인할 수 있습니다.
출처 아카이브 열기안녕하세요. 이편한세상치과입니다.
사랑니 발치를 앞둔 분들이 제일 걱정하는 것 중 하나가
“마취하면 정말 안 아픈가요?”라는 질문입니다.
유독 이 질문이 많은 이유는
통증이 두렵기 때문입니다.
마곡동사랑니
주변에서 들려오는 말은 "너무 아파서 며칠 동안 끙끙 앓았어"
"매복은 큰 곳에 가서 뽑아야 한대. 잇몸 절개 때문에 아프다던데.."
이렇게 두려움을 주는 말이 대부분일 겁니다.

결론부터 말씀드리자면,
마취만 잘 들면 큰 불편함 없이 발치 가능합니다.
오늘은 마취가 잘 되면 아예 아프지 않는지,
마취 주사가 들어가는 통증은 어떻게 줄일 수 있는지 등
차근차근 정리해 말씀드리겠습니다.
통증 때문에 치료를 계신 분들이 오늘 글을 통해
조금이라도 도움을 얻으셨으면 합니다^^
마취가 정확히 되면 아프지 않습니다.
마곡동사랑니
발치에 사용하는 국소마취는
통증 신호가 뇌로 전달되는 것을 차단하는 방식입니다.
그래서 마취가 충분히 이루어지면
"아프다!"라고 느끼는 자체는 사라집니다.


이편한세상치과 서울본점(화곡점), 강서점 실제 발치 후기
실제로 많은 환자분들이 “처음 생각했던 것처럼 아프지가 않네요.”
이렇게 말씀하시는 경우가 많거든요^^
중요한 점은 아예 아무 느낌도 없다는 뜻은 아니라는 것입니다.
이 내용에 대해서는 뒷부분에서 조금 더 자세히 설명드리겠습니다.
그럼 여기서 한 가지 더 궁금한 것은..
마취가 잘 되면 이후 통증은 걱정하지 않아도 되지만
주사 자체가 무서운 사람들은 어떻게 해야 되는 걸까?인데요.
마취 주사 통증도 줄일 수 있습니다.
마곡동사랑니
최근의 마취 방식은 예전과 완전히 다릅니다.

약물 주입 전 스프레이 형식의 표면마취로 불편함을 줄여드리고 있어요😊
먼저 잇몸 표면을 충분히 마취시켜 바늘이 닿는 순간의 느낌을 줄이고
그다음 따뜻한 온도의 마취액을 일정한 속도로 천천히 주입합니다.
여기서 포인트는 1) 잇몸 표면 마취, 2) 따뜻한 온도, 3) 천천히 주입
이 3가지라 할 수 있는데요.
마취액을 실온 보관하기 때문에 차갑게 느껴지는 경우가 많습니다.
요즘같이 추운 날씨에는 더더욱 그렇죠.
찬 약물이 빠른 속도로 들어간다면 무조건 아플 수밖에 없습니다.


실제로 사용하고 있는 앰플워머와 디지털 무통마취기
주사 마취는 따뜻한 온도로 데운 후 일정 속도로 천천히 주입하면
뻐근함이나 통증이 거의 느껴지지 않는데요.
이럴 때 사용하는 장비가 앰플 워머와 디지털 무통마취기입니다.
이런 시스템을 활용하면 온도와 주입 속도 조절로
환자분들의 불편함을 줄여드릴 수 있습니다.

G(게이지)는 숫자가 높을수록 얇습니다!
그리고 주삿바늘이 두꺼우면 더 아플 수밖에 없기 때문에
이런 부분도 고려하는 세심하고 체계적인 곳에서 받으셔야 합니다.
통증은 없지만 압력·진동은 느껴집니다.
마곡동사랑니
아픈 건 아닌데..
뭔가 밀리는 느낌이 있어요.
턱이 눌리는 것 같아요.
마곡동사랑니
발치 중 환자분들이 많이 하시는 표현입니다.

촬영일 : 231124
특히 예시 사진처럼 까다로운 사랑니가 많은 경우에는
입을 크게 벌리는 행위가 많아지고
턱이 눌리는 느낌이 조금 더 심해질 수 있죠.
이 감각은 통증과 완전히 다릅니다.
치아를 꺼내기 위해서는 공간을 만든 뒤
치아를 움직이고 필요하면 일부를 분리하는 과정이 들어갑니다.

사랑니 분할 과정
이 과정에서 턱뼈로 전달되는 물리적인 힘 때문에
압력, 진동, 울림 같은 느낌이 남는 것입니다.
마취는 통증 신호를 차단하지 물리적인 감각까지 없애는 것은 아닙니다.
그래서 “아프진 않은데 느낌이 있다” 이 설명이 정확합니다.
이 차이를 알고 발치를 받으면 시술 도중
갑자기 느껴지는 압력에 놀랄 일이 훨씬 줄어드실 겁니다.
물론 발치 중이라도 만약 ‘통증’이 느껴진다면
그 즉시 보강해 통증을 완전히 차단하고 있죠.
저는 이 불편함도 느끼기 싫은데
다른 방법 없을까요?
마곡동사랑니
치과 자체에 대한 두려움이나 뻐근하고 눌리는 느낌 자체를
싫어하시는 분들도 계신데요.


이편한세상치과 서울본점(화곡점)사랑니 발치센터와 모니터링 장비
이런 분들은 의식하 진정요법(수면마취) 시스템이 갖춰져 있는 곳을
찾아보는 것이 도움이 될 수 있습니다.
또한 약물 주입량이 모자라진 않는지 심박수나
혈압은 괜찮은지 모니터링해야 하기 때문에
이런 시스템이 잘 갖춰져 있는 규모 있는 곳에서 받는 것이 좋죠.
마취가 잘되면 통증은 없지만
압력·진동 같은 느낌은 있을 수 있다.
마곡동사랑니
이 두 가지를 헷갈리지 않는 것이
사랑니 발치를 받을 때 도움이 되실 겁니다.
이편한세상치과는 환자분들이 모든 과정을 정확하게 이해할 수 있도록
꼼꼼히 설명드린 후에 안전하게 진행하고 있습니다.
사랑니 통증이 두렵다면 이번 글을 참고하셔서
검진 및 상담 먼저 받아보시길 바랍니다.
관련 문의사항은 아래 댓글 및 치과 유선전화로 연락 남겨주세요.
이편한세상치과였습니다. 감사합니다.
