아카이브 요약
이 페이지의 역할
이편한세상치과의원-화곡점의 네이버 블로그 원문을 보존한 아카이브 페이지입니다. 기타 진료 카테고리의 화곡본동치과 2025년 끝나기 전 스케일링 꼭 받아야 하는 이유 글을 통해 병원의 한국어 정보 제공 방식과 진료 관련 안내 톤을 확인할 수 있습니다.
원문 검증
필요하면 원문 블로그와 병원 프로필로 바로 이동해 문맥을 다시 확인할 수 있습니다.
출처 아카이브 열기아카이브된 블로그 글
이편한세상치과의원-화곡점 · Naver Blog
안녕하세요. 이편한세상치과입니다. 연말이 다가오면 치과에서 제일 문의가 많아지는 진료 중 하나가 스케일링입니다. 그 이유는 스케일링은 1년에 1회 건강보험이 적용되는데, 이 기준이 매년 새롭게 초기화되기 때문입니다. 즉, 2025년에 보험 스케일링을 아직 받지 않으셨다면 올해 안에 꼭 받으시는 것이 좋습니다....
게시일
2025년 11월 30일
원문 기준으로 확인된 발행일입니다.
카테고리
기타 진료
원문 블로그 카테고리를 정리해 함께 표시합니다.
이미지 수
7
현재 아카이브에 연결된 이미지 수입니다.
아카이브 요약
이편한세상치과의원-화곡점의 네이버 블로그 원문을 보존한 아카이브 페이지입니다. 기타 진료 카테고리의 화곡본동치과 2025년 끝나기 전 스케일링 꼭 받아야 하는 이유 글을 통해 병원의 한국어 정보 제공 방식과 진료 관련 안내 톤을 확인할 수 있습니다.
원문 검증
필요하면 원문 블로그와 병원 프로필로 바로 이동해 문맥을 다시 확인할 수 있습니다.
출처 아카이브 열기안녕하세요. 이편한세상치과입니다.
연말이 다가오면 치과에서 제일 문의가
많아지는 진료 중 하나가 스케일링입니다.
그 이유는
스케일링은 1년에 1회 건강보험이 적용되는데,
이 기준이 매년 새롭게 초기화되기 때문입니다.
즉, 2025년에 보험 스케일링을
아직 받지 않으셨다면 올해 안에
꼭 받으시는 것이 좋습니다.
화곡본동치과
하지만 스케일링을 앞두고
많은 분들이 비슷한 고민을 하십니다.
"스케일링을 하면 이가 상한다던데 괜찮을까요?"
"치아가 깎이는 건 아닌가요?
자주 하면 안 좋다는 이야기를 들었어요."
이 부분도 오늘 정확하게 설명드리겠습니다.
왜 받아야 될까? 뭐가 좋은 거지?
화곡본동치과
스케일링 보험 기준은 조금 독특합니다.
치아에 문제가 생긴 후 받는 치료가 아니라
문제가 생기지 않도록
예방 목적으로 지원되는 보험 항목입니다.

만 19세 이상 대한민국 국민이라면
보험 혜택 적용을 받으실 수 있는데요.
화곡본동치과
치과 규모나 진료 시간 등에 따라
비용은 차이가 있을 수 있지만 약 2만 원대입니다.
스케일링을 제때 하면 치석이 줄고
잇몸 염증이 감소하며 잇몸병으로
진행되는 것을 막을 수 있죠.
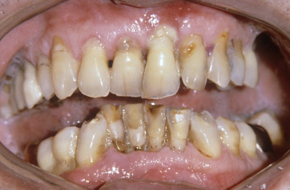
치주 질환이 자연치 발치 원인
1위라는 것을 알고 계셨나요?
치주 질환의 원인인 치석을 제거하기 때문에\
큰 치료(신경치료·발치·임플란트)로
이어지는 것을 줄일 수 있답니다.

그래서 스케일링은 치아를 손상시키는
치료가 아니라 치아를 지키기 위해
받아야 하는 관리에 더 가깝습니다.
2025년에 한 번도 보험 스케일링을 받지 않았다면
연말 전에 꼭 받으시는 것을 권해드립니다^^
이가 깎이거나 상하는 건 아닐까?
화곡본동치과
스케일링을 고민하시는 분들이
많이 걱정하는 것이 바로 이 부분입니다.
결론부터 말씀드리자면
스케일링 때문에
치아가 상하는 일은 없습니다.
화곡본동치과
스케일링은 치아의 겉면(에나멜)을
갈아내는 치료가 아니라 치아 표면에 붙은
치석과 세균 막을 떼어내는 과정입니다.
치아에 달라붙은 치석은
실제로는 세균 덩어리입니다.

이 치석이 오래 쌓이면 잇몸이 붓고 피가 나고
결국 잇몸뼈가 내려가는 치주병으로 이어집니다.
스케일링 기구는 치아 표면을 깎지 않고
치석만 떼어내도록 설계되어 있는데요.
따라서 스케일링으로 인해
치아가 약해지거나 상하는 일은 없습니다^^

메추리알에 스케일링을 해봤는데요.
깨지지 않고 아주 멀쩡합니다ㅎㅎ
오히려 스케일링을 늦출수록 세균이
잇몸을 계속 자극해 잇몸이 내려가고
치아가 더 시리고 약해질 수 있습니다.
받으면 시리던데.. 잘못된 건 아닐까?
화곡본동치과
시린 증상을 느끼는 분들이 있습니다.
이 때문에 스케일링을 하면
치아가 얇아졌다고 오해하시지만
실제로는 그렇지 않습니다.

스케일링 후 시림은
치석이 덮고 있던 부위가 갑자기 드러나면서
일시적으로 온도 자극에 민감해지는 현상입니다.
치아가 깎인 것이 아니라
치석이 떨어져 나간 자리에서
온도 변화를 느끼는 것뿐이죠ㅎㅎ
보통 며칠 지나면 자연스럽게 사라지고
시림이 지속된다고 해서
치아가 손상된 것은 절대 아닙니다.
2025년 안에 스케일링을 아직 받지 않으셨다면
보험 혜택이 사라지기 전 받아두시는 것이 좋습니다.

보건복지부 의료기사 면허를 갖고 있는
치과위생사가 꼼꼼하게 진행하고 있습니다.
다시 한번 강조 드리지만 스케일링은
치아를 상하게 하는 치료가 아니라
잇몸 건강을 지키고 앞으로 생길 수 있는
큰 문제를 예방하는 관리입니다.
오늘 알려드린 내용을 참고하셔서
늦기 전 치석 제거를 받으시길 바랍니다.
궁금한 내용은 아래 댓글 남겨주시기 바라며
더 유익한 정보로 찾아오겠습니다.
이편한세상치과였습니다. 감사합니다.
