아카이브 요약
이 페이지의 역할
이편한세상치과의원-화곡점의 네이버 블로그 원문을 보존한 아카이브 페이지입니다. 치아건강정보 카테고리의 가양동사랑니 처음 뽑는다면? 유형별로 쉽게 이해해 보기 글을 통해 병원의 한국어 정보 제공 방식과 진료 관련 안내 톤을 확인할 수 있습니다.
원문 검증
필요하면 원문 블로그와 병원 프로필로 바로 이동해 문맥을 다시 확인할 수 있습니다.
출처 아카이브 열기아카이브된 블로그 글
이편한세상치과의원-화곡점 · Naver Blog
안녕하세요. 이편한세상치과입니다. 사랑니를 뽑아야 하는 분들 중, 이번이 처음인 분 계신가요? 많이 아픈지.. 어디서 뽑아야 하는지 괜히 잘못되면 어쩌지 처음이고, 잘 모르다 보니 걱정이 앞서는 것, 당연하죠. 그래서 오늘은 참고용으로 준비한 사진들을 함께 보시면서 사랑니가 어떤 형태로 자랄 수 있으며...
게시일
2026년 3월 20일
원문 기준으로 확인된 발행일입니다.
카테고리
치아건강정보
원문 블로그 카테고리를 정리해 함께 표시합니다.
이미지 수
9
현재 아카이브에 연결된 이미지 수입니다.
아카이브 요약
이편한세상치과의원-화곡점의 네이버 블로그 원문을 보존한 아카이브 페이지입니다. 치아건강정보 카테고리의 가양동사랑니 처음 뽑는다면? 유형별로 쉽게 이해해 보기 글을 통해 병원의 한국어 정보 제공 방식과 진료 관련 안내 톤을 확인할 수 있습니다.
원문 검증
필요하면 원문 블로그와 병원 프로필로 바로 이동해 문맥을 다시 확인할 수 있습니다.
출처 아카이브 열기안녕하세요.
이편한세상치과입니다.
사랑니를 뽑아야 하는 분들 중,
이번이 처음인 분 계신가요?
많이 아픈지..
어디서 뽑아야 하는지
괜히 잘못되면 어쩌지
처음이고, 잘 모르다 보니
걱정이 앞서는 것, 당연하죠.

그래서 오늘은
참고용으로 준비한 사진들을 함께 보시면서
사랑니가 어떤 형태로 자랄 수 있으며
그리고 왜 발치가 필요한지에 대해
조금 더 쉽게 이해할 수 있도록 정리해 보려고 합니다.
사랑니 발치를 앞두고 계신 분들께
조금이나마 도움이 될 수 있는 내용을 담았으니
이 글을 통해 막연한 두려움보다는
조금 더 편안한 마음으로 발치하셨으면 하는 마음입니다^^
사랑니, 생각보다 정말 다양한 형태로 자랍니다.
많은 분들이
사랑니는 다 똑같은 거 아니야?
라고 생각하시지만,
사람마다 이목구비가 다 다른 것처럼
사랑니 역시 자라는 방향과 위치, 깊이 등이 모두 다릅니다.
그래서, 같은 사랑니라 할지라도
어떤 경우는 간단하게 발치가 가능하고,
어떤 경우는 보다 신중한 계획이 필요한 경우도 있습니다.
이해를 돕기 위해
대표적인 가양동사랑니 참고 사례를
함께 보면서 설명드리도록 하겠습니다^^
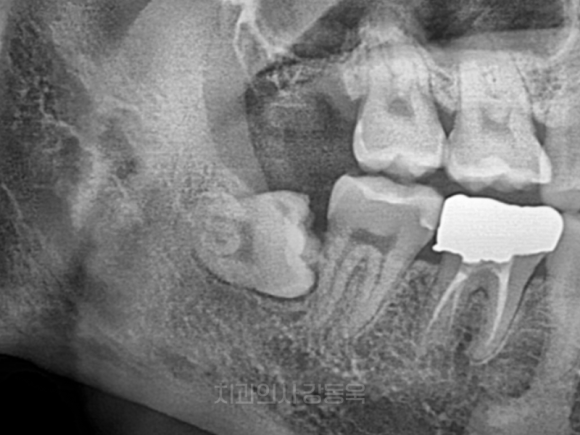
누워있는 사랑니

촬영일자: 2021.12.13
누운 사랑니 이해를 돕기 위한 참고 사진입니다.
가장 많이 보게 되는 흔한 사랑니죠.
아마 이 글을 보고 계신 분들 중에서도
있을 것 같은데요.
옆으로 누워 자라면서
앞쪽 어금니를 밀고 있는 경우입니다.
이러한 경우..
앞 치아 충치를 유발하거나
잇몸에 염증이 생기거나
음식물 끼임 등의 문제가 발생할 수 있는데요.
겉으로 보기에는 문제가 없어 보일지는 모르지만
관리가 쉽지 않기 때문에,
쉽게 문제를 일으키곤 합니다.
완전히 묻혀있는 사랑니

촬영일자: 2025.02.17
완전매복 사랑니 이해를 돕기 위한 참고 사진입니다.
참고사진과 같이,
겉으로는 보이지는 않지만
잇몸 안쪽에 숨어 있는 사랑니입니다.
겉으로는 보이지 않지만
갑자기 붓거나 통증이 생기고,
드물게 낭종이 생기는 경우도 있기 때문에,
정기적인 관찰이 중요할 수 있겠습니다.
신경과 가까운 사랑니
일부 하악 사랑니 중에는,
신경과 매우 가까운 위치에 있습니다.

촬영일자: 2024.08.12
신경과 가까운 사랑니 이해를 위한 참고 사진입니다.
이런 경우에는 신중한 접근이 필요할 수 있는데요.

촬영일자: 2024.08.12
CT 이해를 돕기 위한 참고 사진입니다.
위 참고 사진과 같은 CT 등을 통하여 신경관의 위치를 확인하는 등
보다 세밀한 치료 계획 수립 후 발치가 필요할 수 있습니다.
그래서 이런 케이스일수록,
술자의 경험과 판단이 중요하다고 말씀드릴 수 있습니다.
위쪽 사랑니
위쪽 사랑니는 그래도 쉬운 거 아닌가요?
라고 궁금해하실 수 있는데요.

촬영일자: 2024.07.24
위 사랑니 이해를 돕기 위한 참고 사진입니다.
물론 아래쪽 사랑니보다야
수월한 경우가 많겠지만
뿌리 형태나 위치, 주변 구조 등에 따라
난이도가 달라질 수 있는데요.
그래서, 무조건 쉽다고 단정 지을 수는 없습니다.
지금까지 보신 것처럼
사랑니는 정말 형태가 다양합니다.
그렇다면..
가장 중요한 것은 무엇일까요?
이렇게 다양한 사랑니이지만,
결국 기준은 하나입니다.
이 다양한 케이스를 얼마나 경험해 봤느냐
인데요.
사랑니는 어디서나 쉽게 할 수 있는 치료죠.
하지만,
아무나 할 수 있다고
누구나 잘할 수 있는 치료는 아닙니다.

경험이 많은 곳일수록,
다양한 형태의 사랑니를 접할 것이고
다양한 변수들을 알 것이며,
그 변수에 맞는 적절한 방법을 선택할 텐데요.
사랑니는 하나의 수술에 가까운 치료이죠.
잇몸 절개나 필요시 뼈 삭제, 치아 분할 등이 과정이 필요할 수 있고,
주변 치아나 신경, 잇몸 상태까지 고려해야 하기 때문입니다.
그래서, 아무 곳보다는
어느 정도 사랑니 발치에 대한 경험을 갖추고 있는
치과를 선택하시는 것을 권해드립니다.
사랑니, 처음이라 많이 걱정되시죠?

사랑니를 처음 뽑으시는 분들
아마 가양동사랑니 치과도 많이 찾아보시고
후기도 많이 찾아보실 것이란 생각이 듭니다.
다양한 후기들을 보고
너무 겁부터 먹으시기보다는
제대로 진단하고
경험이 풍부한 곳에서 진행하면
대부분 문제없이 잘 마무리되니,
너무 걱정하지는 마세요 ^^
잘 준비해서,
안전하게 발치하시길 바라겠습니다.
감사합니다 ^^
