아카이브 요약
이 페이지의 역할
스마일스튜디오치과의원의 네이버 블로그 원문을 보존한 아카이브 페이지입니다. 라미네이트 카테고리의 신사역치과 라미네이트 후 이미지 변화? 자연스러움의 비밀 공개! 글을 통해 병원의 한국어 정보 제공 방식과 진료 관련 안내 톤을 확인할 수 있습니다.
원문 검증
필요하면 원문 블로그와 병원 프로필로 바로 이동해 문맥을 다시 확인할 수 있습니다.
출처 아카이브 열기아카이브된 블로그 글
스마일스튜디오치과의원 · Naver Blog
스마일스튜디오 김영경 대표원장님 :) 안녕하세요. 스마일스튜디오치과입니다. 처음 마주한 사람에게 가장 먼저 눈길이 가는 곳은 어디일까요? 바로 얼굴과 표정입니다. 하지만 혹시 웃을 때 치아가 신경 쓰여서 자신 있게 웃지 못한 적이 있나요? 사진을 찍을 때 입을 다물거나 습관적으로 손...
게시일
2025년 3월 24일
원문 기준으로 확인된 발행일입니다.
카테고리
라미네이트
원문 블로그 카테고리를 정리해 함께 표시합니다.
이미지 수
30
현재 아카이브에 연결된 이미지 수입니다.
아카이브 요약
스마일스튜디오치과의원의 네이버 블로그 원문을 보존한 아카이브 페이지입니다. 라미네이트 카테고리의 신사역치과 라미네이트 후 이미지 변화? 자연스러움의 비밀 공개! 글을 통해 병원의 한국어 정보 제공 방식과 진료 관련 안내 톤을 확인할 수 있습니다.
원문 검증
필요하면 원문 블로그와 병원 프로필로 바로 이동해 문맥을 다시 확인할 수 있습니다.
출처 아카이브 열기
스마일스튜디오 김영경 대표원장님 :)
안녕하세요. 스마일스튜디오치과입니다.
처음 마주한 사람에게 가장 먼저 눈길이 가는 곳은 어디일까요?

바로 얼굴과 표정입니다.
하지만 혹시 웃을 때 치아가 신경 쓰여서 자신 있게 웃지 못한 적이 있나요?
사진을 찍을 때 입을 다물거나 습관적으로 손으로 가린다면, 치아에 대한 고민이 있을 가능성이 큽니다.
자연스럽고 조화로운 미소는 단순한 외모 요소가 아니라 자신감을 나타내는 중요한 표현입니다.
오늘은 자연스럽게 아름다워지는 라미네이트 시술과 그 과정에 대해 이야기해 보려고 합니다.

본원은 본인에게 맞는 자연스러운 라미네이트를 추구합니다.
자연스러운 라미네이트, 가능할까요?
라미네이트 하면 흔히 밝고 균형 잡힌 치아를 만드는 미적인 치료로 생각하는 경우가 많습니다.
하지만 단순히 색을 밝히거나 모양을 정리하는 것만이 아니라, 치아 본연의 기능을 유지하면서 얼굴형, 입술 곡선, 표정 습관까지 세심하게 고려해야 합니다.
일률적인 색상의 치아를 만드는 것이 아니라 개개인의 고유한 특징을 반영하여 조화로운 미소를 완성하는 것이 더욱 중요합니다.
본원은 각각의 치아 형태와 얼굴형을 분석해 자연스러운 결과를 구현하는 데 집중하고 있습니다.
디지털 장비를 활용해 미세한 형태와 색조를 조정하며 단순한 외적인 개선이 아니라 자연스러움을 살리는 것에 초점을 맞추고 있습니다.


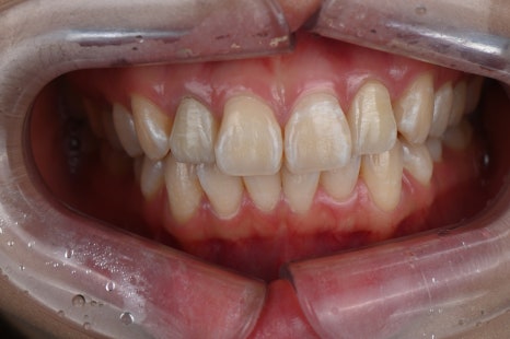
시술명 : 라미네이트
왼 : 시술 전 / 오 : 시술 후 5일 경과
라미네이트, 치아 삭제가 많을까요?
라미네이트를 고민하는 분들이 가장 우려하는 부분 중 하나가 치아 삭제입니다.
치아를 많이 다듬어야 한다는 부담감 때문에 망설이는 경우가 많지만, 실제로는 불필요한 삭제를 피하고 꼭 필요한 조정만 진행하는 것이 핵심입니다.
본원은 과도한 치아 삭제를 줄이기 위해 환자의 치아 상태를 면밀히 분석합니다.
꼭 필요한 부분만 정교하게 다듬어 자연스럽게 조화를 이루도록 하죠.
이렇게 하면 시술 후에도 편안한 사용이 가능하고, 미소 또한 더욱 자연스럽게 연출될 수 있습니다.

충분한 상담이 끝난 이후,
맞춤형 디자인으로 진행합니다.
심미 감각이 반영된 맞춤 디자인
아름다움의 기준은 사람마다 다릅니다.
흔히 ‘고른 치아’라고 하면 반듯한 배열과 밝은 색상을 떠올리지만, 개개인의 얼굴형이나 피부색, 입술과의 균형을 고려해야 더 조화로운 결과가 나올 수 있습니다.
같은 밝기의 라미네이트라도 사람마다 표현되는 분위기가 다르기 때문에, 얼굴과 표정에 자연스럽게 어우러지도록 조정하는 것이 핵심입니다.
본원은 환자의 개성을 살릴 수 있도록 치아 모양, 색상, 균형을 정밀하게 조정하는 과정에 중점을 두고 있습니다.
미소가 바뀌면 표정이 더욱 밝아지고, 말할 때 자신감이 생기는 등 긍정적인 변화를 경험하는 경우가 많습니다.
만족스러운 미소를 통해 환자분들께서 더욱 활기찬 일상을 보내시는 모습을 볼 때 가장 큰 보람을 느낍니다.

스마일스튜디오치과의 라미네이트 실입니다 :)
의료기관마다 라미네이트 디자인이 다른 이유
라미네이트는 단순히 치아를 덮는 시술이 아니라, 얼굴 전체의 조화와 기능성을 고려해야 하는 정교한 과정입니다.
따라서 의료진의 기술력과 경험이 중요한 요소로 작용합니다.
그래서 본원은 라미네이트 제작을 전담하는 시스템을 운영하고 있습니다.
기성 디자인이 아닌 개인 맞춤 제작을 통해 환자의 치아 구조와 표정을 세밀하게 반영한 설계를 진행하며, 색상 또한 단순히 밝기를 조절하는 것이 아니라 미세한 톤과 빛 반사를 고려하여,
더욱 자연스럽게 연출할 수 있도록 연구합니다.
이러한 정밀한 설계 과정은 시간이 필요하지만, 최종적으로 더욱 자연스러운 미소를 완성하는 데 기여합니다.
치아 디자인은 단순한 치아 형태 변형이 아니라, 본연의 개성과 어우러질 수 있도록 조화롭게 다듬는 과정입니다.


시술명 : 라미네이트
왼 : 시술 전 / 오 : 시술 후 5일 경과
라미네이트, 해볼 만한 가치가 있을까요?
웃을 때 편안함을 느끼지 못하거나, 치아 상태가 자꾸 신경 쓰인다면 변화의 가능성을 고려해 볼 수 있습니다.
라미네이트는 단순한 미용 시술이 아니라, 보다 나은 일상과 자신감을 찾을 수 있는 중요한 과정이 될 수 있습니다.
자신감 있는 미소는 대인 관계나 일상생활에서도 긍정적인 영향을 끼칠 수 있습니다.
실제로 라미네이트를 시술받은 많은 분이 변화된 미소를 통해 활기가 넘치는 모습을 되찾고 있습니다.
라미네이트를 고민하고 있다면 충분한 상담 후 신중하게 결정하는 것이 중요합니다.
중요한 것은 단순한 외적인 변화가 아니라, 각자의 얼굴과 어울리는 가장 자연스러운 미소를 찾는 과정입니다.











| 스마일스튜디오치과 진료 시간 안내📞 0507. 1325. 2318 |
|---|
| 화, 목요일 야간진료 |
| 월, 수, 금요일 |
| 토요일 |
| 공휴일, 일요일 휴진점심시간 PM 01:00 ~ PM 02:00 |










신사역치과 라미네이트 후 이미지 변화? 자연스러움의 비밀 공개!
신사역치과 라미네이트 후 이미지 변화? 자연스러움의 비밀 공개!
신사역치과 라미네이트 후 이미지 변화? 자연스러움의 비밀 공개!
신사역치과 라미네이트 후 이미지 변화? 자연스러움의 비밀 공개!
신사역치과 라미네이트 후 이미지 변화? 자연스러움의 비밀 공개!