아카이브 요약
이 페이지의 역할
스마일스튜디오치과의원의 네이버 블로그 원문을 보존한 아카이브 페이지입니다. 라미네이트 카테고리의 논현역 치과 라미네이트 시술 전 필수 확인 사항 글을 통해 병원의 한국어 정보 제공 방식과 진료 관련 안내 톤을 확인할 수 있습니다.
원문 검증
필요하면 원문 블로그와 병원 프로필로 바로 이동해 문맥을 다시 확인할 수 있습니다.
출처 아카이브 열기아카이브된 블로그 글
스마일스튜디오치과의원 · Naver Blog
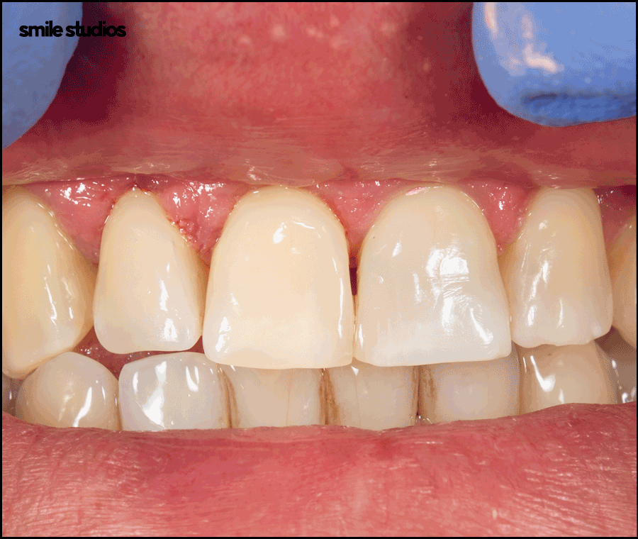
논현역 치과 라미네이트 시술 전 필수 확인 사항 밝은 미소는 자신감은 물론 긍정적인 이미지를 만드는데 있어서 중요한 역할을 한다는 것을 잘 알고 계실 텐데요. 그래서 가지런하고 밝은 치아를 통해서 밝은 미소를 완성하기 위해서 라미네이트 시술에 대한 관심이 어느 때보다 높습니다. 그러나 섬세한 기술,...
게시일
2025년 5월 15일
원문 기준으로 확인된 발행일입니다.
카테고리
라미네이트
원문 블로그 카테고리를 정리해 함께 표시합니다.
이미지 수
11
현재 아카이브에 연결된 이미지 수입니다.
아카이브 요약
스마일스튜디오치과의원의 네이버 블로그 원문을 보존한 아카이브 페이지입니다. 라미네이트 카테고리의 논현역 치과 라미네이트 시술 전 필수 확인 사항 글을 통해 병원의 한국어 정보 제공 방식과 진료 관련 안내 톤을 확인할 수 있습니다.
원문 검증
필요하면 원문 블로그와 병원 프로필로 바로 이동해 문맥을 다시 확인할 수 있습니다.
출처 아카이브 열기
밝은 미소는 자신감은 물론 긍정적인 이미지를 만드는데 있어서 중요한 역할을 한다는 것을 잘 알고 계실 텐데요.

그래서 가지런하고 밝은 치아를 통해서 밝은 미소를 완성하기 위해서 라미네이트 시술에 대한 관심이 어느 때보다 높습니다.
그러나 섬세한 기술, 심미안을 요구하는 시술인 만큼 섣부르게 결정하게 될 경우, 그 결과는 생각보다 만족스럽지 못할 수 있습니다.
특히 논현역 치과를 찾아보면 많은 곳들이 밀집해 있는데요.
만약 이 시술을 고려하고 있는 상황이라면 필수적으로 확인할 사항에 대해 파악하고 신중하게 접근하는 것이 좋습니다.
라미네이트란 무엇일까요?
치아의 표면에 인조 손톱처럼 얇은 세라믹을 제작하고 부착하는 심미 보철 치료입니다.

주로 치아의 색상이나 모양, 크기, 배열 및 치간 사이의 공간을 개선해 심미적 만족도를 높이는데 효과적으로 알려져 있습니다.
장점 및 효과
자연 치아와 유사한 색과 투명도를 재현하여 자연스럽고 아름다운 미소를 만들 수 있습니다.

변색되었거나 손상된 경우, 마모되어 이상해진 모양, 미세한 수준의 치열 문제를 효과적으로 개선하는 것이 가능합니다.
영구치의 삭제를 최소한으로 줄이거나 하지 않고 진행할 수 있어 소중한 치아를 보존할 수 있습니다.
전체적인 치료에 소요되는 기간이 비교적 짧은 편이라 직장인분들 등 시간을 내기 어려운 분들도 진행할 수 있다는 점이 있습니다.
관리가 잘 이루어진다면 오랜 시간 사용할 수 있다라는 특징이 있습니다. 다만 정기적인 검진, 올바른 구강 관리가 필수입니다.
이러한 장점과 효과가 있기에 해당 시술을 알아보는 분들이 많은 것 같은데요.
그렇다면 논현역 치과를 통해 진행하기 전 필수적으로 확인해야 할 사항은 무엇인지 알아보겠습니다.
시술 전 필수 확인 사항
영구치의 표면에 보철물을 부착하는 방법이나 환자 개개인의 얼굴 전체적인 조화와 아름다움 등을 고려해야 하는 심미안이 요구됩니다.

의료진의 풍부한 임상 경험, 숙련도, 미적 감각은 결과의 완성도를 좌우하는 중요한 요소가 될 수 있습니다.
해당 논현역 치과의 의료진이 라미네이트 시술 관련하여 많은 경험과 노하우, 역량을 가지고 있는지 체크해 주셔야 합니다.
그리고 지속적으로 전문성을 쌓고 있는가도 함께 확인해 보는 것도 좋습니다.
과거에는 영구치의 표면 삭제량이 많았기에 시림이나 통증, 내부 신경 손상 등의 부작용 우려가 있었는데요.

기술의 발달로 이제는 삭제량을 최소화하거나 상황에 따라서는 이 과정조차 없이 진행하는 방법도 가능해졌습니다.
진행 전 정밀 진단을 통해 개개인의 치아 상태에 맞춰 불필요한 삭제를 지양하고 가급적 소중한 영구치를 보존하는 방식으로 계획을 세우는 곳인지 확인이 필요합니다.
재료가 되는 세라믹의 종류, 품질, 부착 시 사용되는 접착제의 성능은 강도, 내구성, 투명도, 색상 표현력, 생체친화성에 직접적인 영향을 미칠 수 있습니다.
그래서 사용되는 재료가 인체에 무해하고 안정성이 검증된 정품인지, 인증받은 제품을 쓰고 있는지도 꼼꼼하게 확인해야 합니다.
또한 성공적인 결과를 위해선 정확한 진단, 정교한 보철물 제작이 필수인데요.

3D 디지털 방식으로 구강 상태를 정밀하게 분석하고 시술 후 결과를 미리 예측함으로써 예상치 못한 결과가 발생하는 것을 예방할 수 있습니다.
또한 맞춤 디자인 및 제작이 가능하기에 이러한 부분도 선택의 중요한 기준이 될 수 있습니다.
비슷한 모양과 색상은 인위적으로 보이게 만들 수 있으며, 만족도를 떨어뜨리는 요인이 됩니다.
성공적인 라미네이트는 개인의 얼굴형, 입술 두께와 움직임, 미소를 지을 때 드러나는 영구치의 범위, 원하는 이미지 등을 함께 고려하여 맞춤 디자인을 구현하는 것에서 시작합니다.

의료진과의 충분한 상담을 통해 원하는 모습을 확실히 전달해 주셔야 하는데요.
그에 맞는 적합한 결과를 제시하면서 함께 디자인 계획을 수립해야 하므로 이런 과정이 이루어지는지도 살펴보기 바랍니다.
아쉽게도 영구적인 치료는 아니지만 어떻게 관리를 하는가에 따라 그 수명이 크게 달라질 수 있습니다.
그래서 시술만큼 중요한 것이 체계적인 사후 관리입니다. 정기적인 검진을 통해서 보철물의 상태, 접착력, 주변 잇몸 건강 등을 꾸준하게 점검을 받아보셔야 합니다.

이와 함께 올바른 칫솔질과 치실 사용 등 구강 위생 관리 및 스케일링 등 예방 관리가 같이 병행되어야 오랜 시간 건강하고 아름답게 유지할 수 있습니다.
이번에 함께 알아본 내용들을 바탕으로 이후 논현역 치과를 찾을 때 많은 도움이 되었으면 좋겠습니다.

