아카이브 요약
이 페이지의 역할
스마일스튜디오치과의원의 네이버 블로그 원문을 보존한 아카이브 페이지입니다. 라미네이트 카테고리의 치아사이 벌어짐 가지런한 앞니 만드는 Tip 글을 통해 병원의 한국어 정보 제공 방식과 진료 관련 안내 톤을 확인할 수 있습니다.
원문 검증
필요하면 원문 블로그와 병원 프로필로 바로 이동해 문맥을 다시 확인할 수 있습니다.
출처 아카이브 열기아카이브된 블로그 글
스마일스튜디오치과의원 · Naver Blog
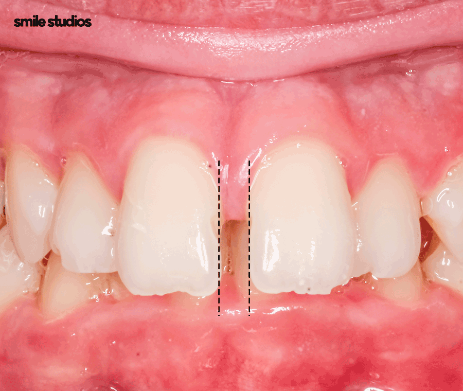
치아사이 벌어짐 가지런한 앞니 만드는 Tip 앞니 사이의 빈 공간 때문에 웃을 때매다 손으로 입을 가리시고 계시나요? 가지런하고 빈틈없는 치열은 아름다운 미소의 기본이라고 할 수 있으며, 자신감까지 줄 수 있습니다. 유명인들처럼 예쁜 치아를 가지고 싶다는 생각을 해보신 적이 한 번쯤은 있으실 것 같습니다. ...
게시일
2025년 5월 20일
원문 기준으로 확인된 발행일입니다.
카테고리
라미네이트
원문 블로그 카테고리를 정리해 함께 표시합니다.
이미지 수
11
현재 아카이브에 연결된 이미지 수입니다.
아카이브 요약
스마일스튜디오치과의원의 네이버 블로그 원문을 보존한 아카이브 페이지입니다. 라미네이트 카테고리의 치아사이 벌어짐 가지런한 앞니 만드는 Tip 글을 통해 병원의 한국어 정보 제공 방식과 진료 관련 안내 톤을 확인할 수 있습니다.
원문 검증
필요하면 원문 블로그와 병원 프로필로 바로 이동해 문맥을 다시 확인할 수 있습니다.
출처 아카이브 열기
앞니 사이의 빈 공간 때문에 웃을 때매다 손으로 입을 가리시고 계시나요?
가지런하고 빈틈없는 치열은 아름다운 미소의 기본이라고 할 수 있으며, 자신감까지 줄 수 있습니다.

유명인들처럼 예쁜 치아를 가지고 싶다는 생각을 해보신 적이 한 번쯤은 있으실 것 같습니다.
치아사이 벌어짐을 해결하고 매력적인 미소를 만들어줄 수 있는 방법은 무엇일까요?
치아사이 벌어짐의 다양한 원인
턱뼈의 크기에 비해 치아의 사이즈가 상대적으로 작을 경우, 배열될 공간이 남으면서 틈이 생길 수 있습니다.
그리고 왜소치나 결손치, 과잉치 등이 있는 경우, 공간이 생기거나 사이를 벌어지게 만들기도 합니다.

치주염과 같은 잇몸 질환으로 인해 치조골이 손상될 경우 영구치가 흔들리거나 이동하면서 발생하게 됩니다.
평소 혀로 앞니를 미는 습관이나 손가락을 빨거나 구강 호흡이 장기간 지속될 경우 치열에 변형을 유발할 수 있습니다.
이렇게 여러 가지 요인들이 원인이 되어 심미적으로 좋지 못한 틈을 만들게 되는 것입니다.
숨겨진 문제는?
먼저 심미적으로 좋지 못하기에 자신감의 하락으로 이어질 수 있는데요.
웃거나 다른 사람들과 대화를 할 때 자연스럽게 신경이 쓰여 소극적인 태도를 보이게 될 수 있습니다.

그리고 틈새 사이로 공기가 새어 나가면서 특정 발음이 정확하게 들리지 않을 수 있습니다.
벌어진 곳 사이로 음식물 찌꺼기가 쉽게 쌓일 수 있는데요.
만약 양치질을 꼼꼼하게 하여 제거하지 않을 경우 세균이 번식하면서 염증으로 이어질 수 있습니다.
또한 주변의 다른 영구치들이 해당 부위로 이동하거나 기울어지면서 치열이 틀어질 가능성도 있습니다.
그래서 외모의 개선은 물론 구강 건강 및 기능적인 측면까지 고려해서 그에 맞는 방법을 찾는 것이 중요합니다.
가지런한 앞니 만드는 Tip
이렇게 벌어진 영구치를 다시 가지런한 모습으로 만드는 효과적인 방법이 궁금하실 것 같은데요.
다양한 방안들이 있지만 성인의 경우 이런 심미적인 문제를 빠르고 효과적으로 개선하는데 있어 라미네이트가 대안이 될 수 있습니다.

앞면에 개개인의 치아 형태 및 색상에 맞게 세라믹 팁을 얇게 제작 및 부착하게 됩니다.
이를 통해 모양과 크기, 색상은 물론, 벌어진 틈까지 자연스럽게 개선할 수 있는데요.
이때 참고하면 좋은 Tip에 대해서 알려드리려고 합니다.
문제가 생긴 근본적인 원인은 무엇인지, 현재 크기는 어느 정도 되는지, 영구치 및 잇몸의 상태, 교합 상태까지 체크되어야 합니다.

그래서 사전에 디지털 장비 등을 활용하여 정밀한 검진을 진행하고 개인에게 맞는 디자인, 시술 계획을 정하는 것이 좋습니다.
틈새를 메우기 위해 공간을 채우는데만 집중하기보단 다른 영구치들과 얼굴 전체적인 조화를 위한 비율을 찾는 것이 중요한데요.

적합한 비율과 크기를 고려하고 스마일 라인까지 예상하여 디자인이 되어야 자연스럽고 아름다운 느낌을 받을 수 있습니다.
이전에는 시술이 이루어질 때 표면에 일정량 이상의 삭제가 이루어지는 편이었습니다.
이후 재료, 기술의 발전으로 굳이 삭제를 하지 않아도 진행할 수 있을 정도가 되었는데요.
자연모를 건강한 상태로 유지하는 것이 중요하므로 시술을 진행하기 전에 잘 알아보고 결정해야 합니다.
만약 팁의 색상이 주변치와 다르게 너무 눈에 띈다면 부자연스럽게 보일 수 있습니다.
그래서 기존 치아의 색은 물론 인접한 다른 영구치의 색조 변화, 투명도, 피부톤까지 고려하여 색상을 선택하는 것이 중요한데요.
무조건 하얗게 만드는 것이 아닌 건강하고 자연스러워 보이는 형태를 만드는 것이 핵심이기 때문입니다.
디자인이 좋고 색상이 자연스럽다고 해도 정확하게 부착되지 않을 경우 틈 사이로 변색이 발생하거나 충치를 유발할 수 있습니다.

거기에 탈락하는 원인이 되기도 하므로 숙련된 의료진이 시술을 진행하는 곳인지 확인이 필요합니다.
시술을 받아 가지런한 앞니를 얻었다고 해도 건강하게 유지하기 위해서는 철저한 관리가 중요한데요.

추가적으로 정기적인 검진을 통해 보철물의 상태를 확인하고 적절한 조치를 취해야 합니다.
이러한 팁들을 참고하여 진행한다면 치아사이 벌어짐을 자연스럽고 빠르게 개선할 수 있을 것입니다.

