스마일스튜디오치과의원
앞니 블랙트라이앵글 보완을 위한 라미네이트 효과
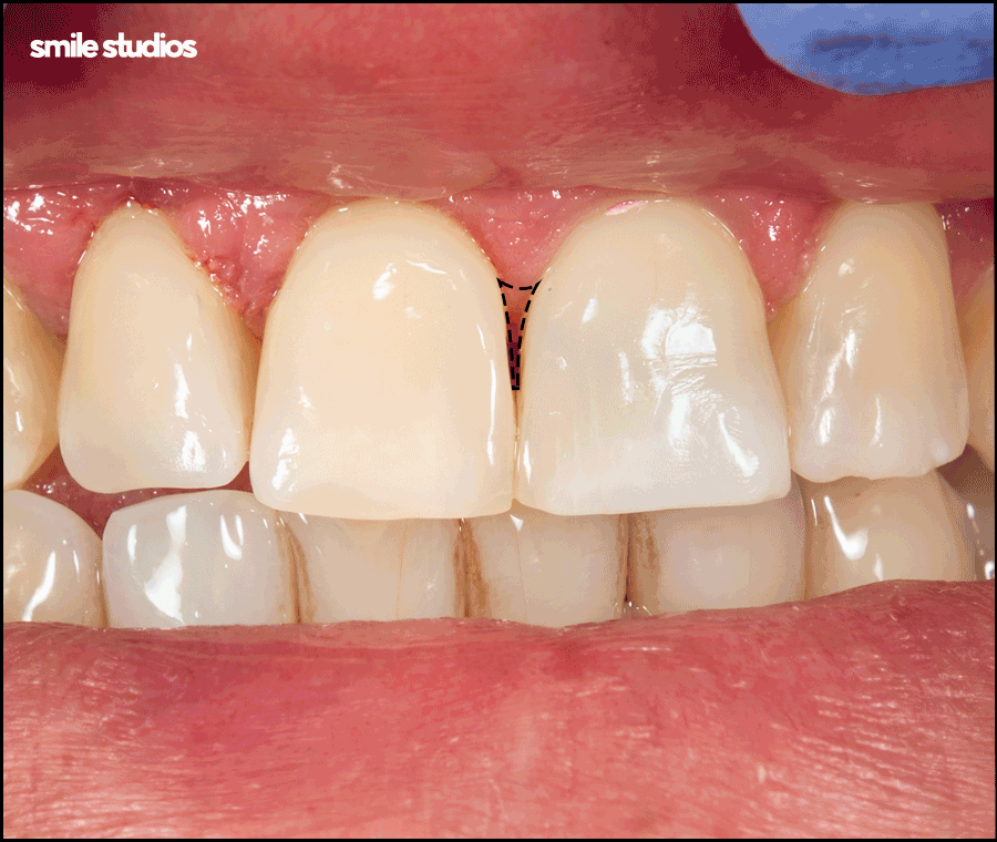
앞니 블랙트라이앵글 보완을 위한 라미네이트 효과 치아 사이에 검은 삼각형의 빈 공간이 있다면 미소를 지을 때 신경쓰이실 수 있습니다. 본인도 모르게 입을 가리게 되는 이 문제는 바로 앞니 블랙트라이앵글입니다. 문제 개선을 위한 다양한 방법 중 라미네이트 시술에 관심을 가지시는 분들이 많은데요. 어떠한 효과가...
아카이브 요약
이 페이지의 역할
스마일스튜디오치과의원의 네이버 블로그 원문을 보존한 아카이브 페이지입니다. 라미네이트 카테고리의 앞니 블랙트라이앵글 보완을 위한 라미네이트 효과 글을 통해 병원의 한국어 정보 제공 방식과 진료 관련 안내 톤을 확인할 수 있습니다.

치아 사이에 검은 삼각형의 빈 공간이 있다면 미소를 지을 때 신경쓰이실 수 있습니다.
본인도 모르게 입을 가리게 되는 이 문제는 바로 앞니 블랙트라이앵글입니다.

문제 개선을 위한 다양한 방법 중 라미네이트 시술에 관심을 가지시는 분들이 많은데요.
어떠한 효과가 있기에 주목하고 받으시는 것일까요?
앞니 블랙트라이앵글?
치아의 사이, 그리고 아래 잇몸 사이에 나타나는 검은 삼각형 모양의 공간을 지칭하는 단어입니다.

본래 건강한 상태라면 틈새 없이 꽉 채우고 있어야 하는 것이 정상인데요.
다양한 이유로 잇몸이 내려앉거나 부족해질 경우 검은 그림자처럼 보여지게 되는 것입니다.
발생하는 주요 원인
나이가 들면서 잇몸이 자연스럽게 내려앉을 수 있고, 치주 질환으로 인해 치조골이 흡수되면서 발생할 수 있습니다.

또 너무 강한 힘으로 닦는 잘못된 칫솔질 습관도 잇몸 퇴축 현상을 유발하여 이런 문제가 나타날 수 있습니다.
그리고 치아의 형태가 위는 넓고 아래는 좁아지는 삼각형의 모습을 가지고 있는 분들도 계신데요.
선천적으로 이런 모양을 가지고 있다면 영구치끼리 맞닿는 부위가 씹는 면으로 치우치면서 공간이 생길 수 있습니다.
특히 교정 치료를 통해 틀어진 치열이 다시 가지런하게 배열되면서 공간이 드러나면서 나타나기도 합니다.
어떠한 문제를 유발할까요?
치간 사이에 검은 공간이 보여지게 되면 심미적으로 신경쓰이고 스트레스를 받을 수 있습니다.
이러한 틈새로 음식물 찌꺼기가 쉽게 끼고 잘 제거되지 않아 충치 및 치주 질환으로 이어질 수 있습니다.

드문 편이지만 크기나 위치에 따라서 공기가 새어 나가면서 특정 발음을 구사하는데 문제가 되기도 합니다.
이러한 문제를 효과적으로 해결할 수 있는 방법으로 라미네이트를 선택하시는 분들이 많습니다.
보완을 위한 라미네이트 효과는?
- 치아 형태 개선
이 시술의 장점 중 하나는 치아의 형태를 이상적인 모습으로 디자인할 수 있다라는 점인데요.

문제를 개선하기 위해 보철물 옆면의 형태를 현재 치아 상태에 맞게 적절하게 디자인하여 제작하게 됩니다.
이를 통해 빈 공간을 자연스럽게 채워 넣어 효과적으로 가려줄 수 있습니다.
- 자연스러움
라미네이트는 주변 잇몸 라인과의 자연스러움과 조화, 영구치의 아름다움까지 고려해야 합니다.

디자인할 때 공간을 가리는 것과 함께 다른 조직과 부드럽게 이어지도록 정교하게 제작되는데요.
시술 이후에도 이질감 없이 원래 내 치아였던 것처럼 보이는 만족감을 줄 수 있습니다.
- 치아의 보존
이전에는 팁을 부착하기 위해서 영구치 표면을 과도하게 삭제하는 경우가 많았습니다.
그 결과 시리거나 통증이 발생하는 등의 부작용이 있었는데요.
기술이 발전함에 따라 이제는 삭제를 하지 않거나 혹은 미세한 수준으로 다듬는 정도로 진행되고 있습니다.
극소량만 다듬어 진행되기에 영구치를 보존하면서 콤플렉스를 해결하는 효과를 기대할 수 있습니다.
- 색상과 질감
주변치의 색상 차이, 투명도, 표면 질감까지 정밀하게 분석하여 제작되고 있는데요.
그래서 이후에도 이질감이 느껴지거나 부자연스러운 느낌 없이 조화롭고 아름다운 미소를 연출할 수 있습니다.
확인해야 할 시술 시 체크포인트
- 정확한 원인 진단 및 상태 분석
모든 치료는 정확한 진단에서 시작된다고 할 수 있습니다.

근본적인 원인, 현재 공간의 크기 및 위치, 잇몸 건강 상태 등 정밀한 진단이 진행되어야 그에 맞는 계획을 수립할 수 있습니다.
- 의료진의 경험과 역량
일반적인 시술보다 더 섬세하고 정교한 기술, 디자인 감각을 요구하고 있습니다.
그래서 풍부한 경험, 노하우, 높은 숙련도를 의료진이 가지고 있는지가 매우 중요합니다.
- 정밀한 제작 및 부착
보철물의 형태, 크기가 미세하게 달라져도 느낌이나 결과에 많은 차이가 발생할 수 있는데요.
그래서 디지털 장비를 활용한 정밀한 진단 및 제작, 정확한 부착 기술이 필수적입니다.

중요한 것은 앞니 블랙트라이앵글의 특성, 개인의 구강 상태에 대한 정확한 진단 및 계획 수립입니다.
이번에 말씀드린 라미네이트의 효과 및 체크 포인트를 통해 신중하게 접근하시기 바랍니다.


더 보기
이 병원의 공개 콘텐츠를 계속 살펴보세요
출처 아카이브로 돌아가 더 많은 글을 보거나, 병원 프로필로 이동해 다른 공개 채널도 함께 비교해보세요.