아카이브 요약
이 페이지의 역할
스마일스튜디오치과의원의 네이버 블로그 원문을 보존한 아카이브 페이지입니다. 라미네이트 카테고리의 앞니깨짐 치료, 라미네이트 수복 여부, 효과 글을 통해 병원의 한국어 정보 제공 방식과 진료 관련 안내 톤을 확인할 수 있습니다.
원문 검증
필요하면 원문 블로그와 병원 프로필로 바로 이동해 문맥을 다시 확인할 수 있습니다.
출처 아카이브 열기아카이브된 블로그 글
스마일스튜디오치과의원 · Naver Blog
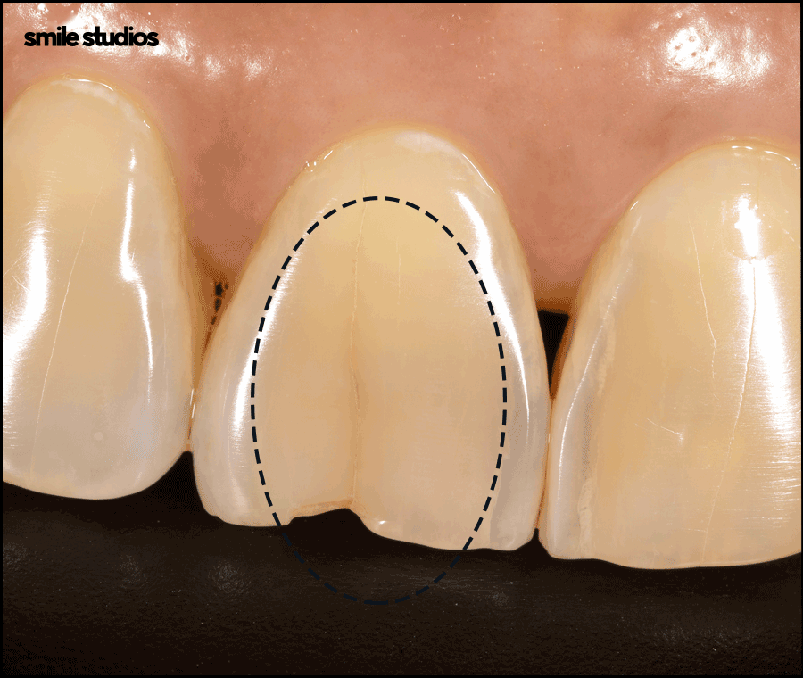
앞니깨짐 치료, 라미네이트 수복 여부, 효과 예기치 못한 순간에 소중한 앞니가 깨지거나 탈락하는 경험을 할 수 있습니다. 넘어지거나 부딪히는 외상부터 딱딱한 음식을 잘못 씹었을 경우 등 그 원인도 다양하다고 할 수 있는데요. 치아 중 특히 잘 보이는 부위인 만큼 문제가 생기게 되면 말하거나 웃을 때마다 신경 쓰...
게시일
2025년 5월 26일
원문 기준으로 확인된 발행일입니다.
카테고리
라미네이트
원문 블로그 카테고리를 정리해 함께 표시합니다.
이미지 수
12
현재 아카이브에 연결된 이미지 수입니다.
아카이브 요약
스마일스튜디오치과의원의 네이버 블로그 원문을 보존한 아카이브 페이지입니다. 라미네이트 카테고리의 앞니깨짐 치료, 라미네이트 수복 여부, 효과 글을 통해 병원의 한국어 정보 제공 방식과 진료 관련 안내 톤을 확인할 수 있습니다.
원문 검증
필요하면 원문 블로그와 병원 프로필로 바로 이동해 문맥을 다시 확인할 수 있습니다.
출처 아카이브 열기
예기치 못한 순간에 소중한 앞니가 깨지거나 탈락하는 경험을 할 수 있습니다.

넘어지거나 부딪히는 외상부터 딱딱한 음식을 잘못 씹었을 경우 등 그 원인도 다양하다고 할 수 있는데요.
치아 중 특히 잘 보이는 부위인 만큼 문제가 생기게 되면 말하거나 웃을 때마다 신경 쓰이고 자신감도 위축될 수 있습니다.
그래서 앞니깨짐을 효과적으로 수복할 수 있는 방법을 찾아보실 텐데요.
오늘은 이러한 문제가 발생하는 원인부터 많은 분들이 고려하시는 시술인 라미네이트가 정말 적절한 방법이 될 수 있는지 그 효과에 대해서 알아보려고 합니다.
발생하는 원인
갑작스럽게 넘어지거나 스포츠 활동 중에 부딪히는 등 외부의 갑작스러운 충격은 가장 흔한 원인 중 하나입니다.
활동량이 많은 아이들이나 운동을 즐기시는 분들에게서 자주 발생하는 편이기도 합니다.

특히 단단한 재질을 가지고 있는 음식들을 평상시에도 습관적으로 섭취하시는 분들이 꽤 많은데요.
무리하게 앞쪽 치아로 깨물어먹으려고 하다가 또는 젓가락이나 포크 등을 잘못 씹었을 때 약한 부분이 손상되어 깨져 나갈 수 있습니다.
그리고 이갈이나 악무는 습관은 일반적으로 음식물을 섭취할 때 사용되는 힘의 몇 배나 되는 힘이 가해질 수 있습니다.

이는 지속적인 피로를 누적시키고 미세한 균열을 만들거나 결국 작은 충격에도 쉽게 깨지게 만들 수 있습니다.
또한 나이가 들면서 영구치도 조금씩 마모가 되고 약해지게 되는데요.
이로 인해 작은 충격에 의해서도 미세하게나마 깨지게 될 가능성이 높아질 수 있습니다.
라미네이트 수복 여부
다양한 원인에 의해서 앞니깨짐이 발생하게 될 때 라미네이트 시술이 좋은 해결책이 될 수 있을지 고민이 될 수 있습니다.
결론부터 말씀드리자면 많은 상황에서 좋은 솔루션이 될 수 있습니다.

이 시술은 영구치의 앞면을 미세하게 다듬은 다음 치아 색상과 모양에 맞게 얇게 제작된 세라믹 팁을 특수 접착제로 부착하는 심미 보철 치료입니다.
끝이 살짝 깨졌거나 표면의 일부가 떨어져 나간 경우에 손상된 부분을 완벽하게 가리고 본래 치아의 모양 및 색상을 재현하는데 효과적인 방법이 될 수 있습니다.
보통 영구치에 문제가 생기게 되면 심미적으로 문제가 될 수 있는데요.

여기에 앞서 말씀드린 부분 외에도 변색, 혹은 크기가 유독 작거나 치간 사이에 있는 틈을 메워주는 등 여러 심미 문제도 개선을 목적으로 할 때 좋은 선택이 될 수 있습니다.
보통 교정치료의 경우에는 긴 시술 기간을 가지고 있다보니 부담을 가지시는 분들이 특히 많습니다.
그에 비해 훨씬 짧은 기간으로 확실한 변화를 줄 수 있어 신속한 개선을 원할 때 적합합니다.

그러나 손상이 깊어 신경 조직이 노출될 정도로 심하거나 뿌리까지 파절될 정도라면 이러한 방법으로는 개선이 어려울 수 있습니다.
이 경우 신경 치료 및 크라운 제작 및 적용과 같은 방법을 적용해야 합니다.
기대할 수 있는 효과
앞니깨짐의 형태를 기존의 모습, 혹은 그 이상으로 자연스럽고 아름답게 복원하는 것이 가능합니다.

주변치의 색, 투명도, 질감까지 완벽하게 조화를 이루도록 제작이 진행될 수 있습니다.
이를 통해 영구치의 길이, 모양, 비율 등을 적절히 조절하여 전체적인 스마일 라인을 더 매력적으로 디자인하는 것이 가능합니다.
변색이나 착색에 강하고 내구성도 우수하기에 적절하게 관리를 해준다면 아름다운 상태를 오래 유지할 수 있습니다. 그리고 위축되었던 자신감을 회복할 수 있습니다.
고려할 점은?
개개인마다 손상된 정도나 바라는 디자인이 다르다라는 점이 있습니다.

그래서 환자에 맞는 맞춤 디자인을 구성해야 하며, 이를 위해 상담 및 자세한 진단을 바탕으로 맞춤 디자인을 계획하는 것이 중요합니다.
거기에 시술의 경우 치아의 손상을 줄이면서 정교하게 부착하는 것이 중요하므로 이에 대해 높은 숙련도, 경험, 노하우를 가지고 있는 의료진의 역량이 특히 중요한 시술입니다.
이러한 부분들을 사전에 잘 알아보시고 맞춤 시술을 뛰어난 역량의 의료진이 집도하여 진행하고 있는지 살펴보고 결정해 주셔야 좋은 결과를 기대할 수 있습니다.

앞니깨짐은 갑작스럽게 발생할 수 있는 문제지만 라미네이트 등 시술을 진행한다면 빠르고 자연스럽게 복원할 수 있습니다.
그러나 과정은 나에게 맞게 진행되어야 한다는 점을 반드시 기억해 주시기 바랍니다.

