스마일스튜디오치과의원
덧니라미네이트 해결 가능할까요? ft. 가능한 케이스
덧니라미네이트 해결 가능할까요? ft. 가능한 케이스 덧니 때문에 미소를 짓는 행위에 대해 부끄러워하시는 분들도 많습니다. 특히 한두 개의 치아만 튀어나와 있는 경우 교정에 대한 부담감 때문에 치료를 미루기도 하는데요. 그러다 보니 라미네이트를 받게 되면 빠르게 해결할 수 있지 않을까 생각이 들 수 있습니다....
아카이브 요약
이 페이지의 역할
스마일스튜디오치과의원의 네이버 블로그 원문을 보존한 아카이브 페이지입니다. 라미네이트 카테고리의 덧니라미네이트 해결 가능할까요? ft. 가능한 케이스 글을 통해 병원의 한국어 정보 제공 방식과 진료 관련 안내 톤을 확인할 수 있습니다.

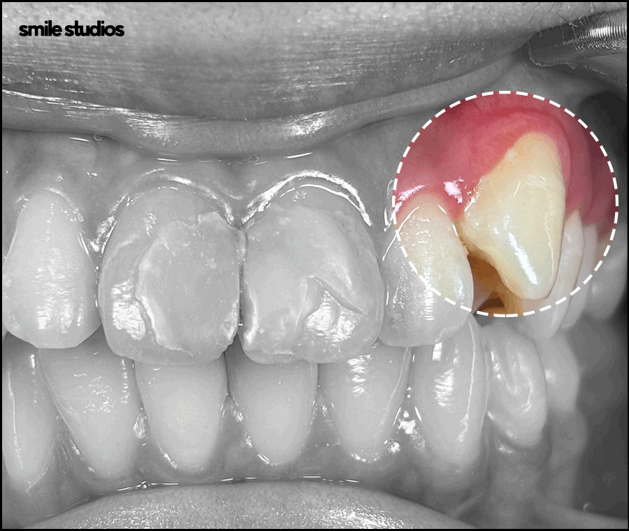
덧니 때문에 미소를 짓는 행위에 대해 부끄러워하시는 분들도 많습니다.
특히 한두 개의 치아만 튀어나와 있는 경우 교정에 대한 부담감 때문에 치료를 미루기도 하는데요.

그러다 보니 라미네이트를 받게 되면 빠르게 해결할 수 있지 않을까 생각이 들 수 있습니다.
문제는 모든 덧니가 이 시술로 해결되는 것은 아니라는 점입니다.
그렇다면 덧니라미네이트로 개선이 가능한 경우와 다른 방법을 고려해야 하는 케이스는 무엇이 있을까요?
정도에 따른 적용 가능성
성공 여부를 결정하는 중요한 요소는 바로 덧니의 심한 정도로 경도, 중증도, 중증으로 분류하여 방향을 결정하게 됩니다.
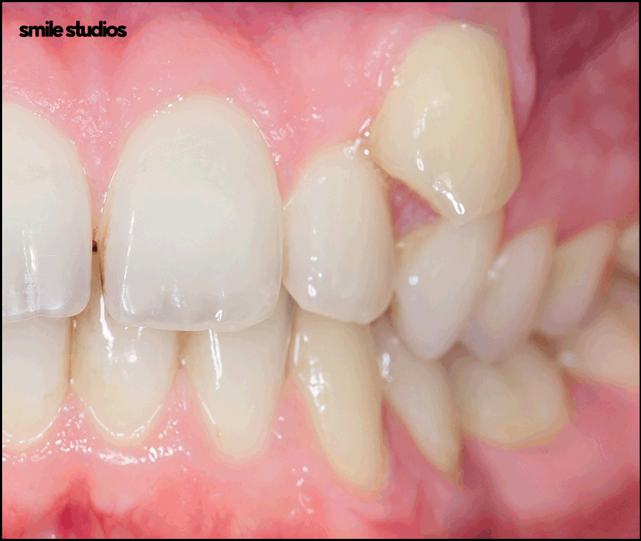
경도는 덧니라미네이트로도 충분히 개선이 가능한데요.

약간 비틀어져 있거나 살짝 앞으로 나와있는 수준으로 삭제량을 최소화하면서 자연스러운 배열을 만들 수 있습니다.
특히 한두 개의 영구치만 문제가 된다면 주변치와의 조화를 고려하며 효과적으로 개선할 수 있습니다.
중증도는 케이스에 따라서 적용이 가능하기도 하나 불가능할 수 있는데요.
위치, 크기, 주변치와의 관계 등을 고려하여 결정하며, 때로는 교정 치료가 더 나은 결과가 될 수 있습니다.
중증의 경우에는 이 시술로는 근본적인 해결이 어려우며, 부자연스러운 결과, 기능적인 문제가 발생할 수 있습니다.
치아 크기와 형태별 고려 사항
시술의 성공은 치아의 크기와 형태에도 크게 좌우되는 편입니다.
왜소치처럼 크기가 작은 경우에는 효과적인 개선 방법이 될 수 있는데요.

삭제를 하지 않거나 다듬는 정도로도 충분한 크기 및 형태를 만들 수 있어 자연스러운 결과를 얻기 쉽습니다.
그러나 크기가 정상이거나 큰 편인데 앞선 문제로 인해 겹쳐 보이는 경우 신중한 접근이 필요합니다.
자칫 상당한 양의 삭제가 이루어질 수 있으며, 이는 건강에 부정적인 영향을 끼칠 수 있어 주의해 주셔야 합니다.
유형별 적용 가능성
덧니의 유형에 따라서도 적용할 수 있는 가능성이 달라집니다.
안쪽으로 들어간 형태는 바깥쪽으로 확장하는 형태로 제작하면 자연스러운 결과를 만들 수 있습니다.

문제는 앞으로 돌출된 케이스인데, 상당량의 삭제가 이루어져야 정상적인 위치로 맞출 가능성이 높습니다.
그러나 과도한 삭제는 오히려 건강을 해칠 수 있어 돌출 정도가 심한 경우 교정을 고려하는 것도 바람직합니다.

회전된 형태는 정도에 따라서 달라지며, 심한 경우, 적용이 어려울 수 있습니다.
교정과의 병행 치료
최근에는 교정 방식과 순차적으로 진행하는 복합 시술이 주목받고 있는데요.

간단한 교정을 통해서 위치를 어느 정도 개선한 다음에 보철물로 최종적인 형태 및 색상을 완성합니다.
이 방법을 통해 과도한 삭제를 피하고, 교정으로 해결하기 어려운 크기, 형태의 문제를 개선할 수 있습니다.

다만, 관련 기관을 통해 가능 여부에 대해서 미리 알아보고 진행을 결정하시는 것이 좋습니다.
해결하기 어려운 케이스
앞서 말씀드린 것처럼 모든 유형이 시술로 해결될 수 있는 것은 아닙니다.
치아가 심하게 겹쳐 있거나 큰 각도로 기울어져 있거나 회전된 경우가 해당될 수 있는데요.

무리하게 적용할 경우 부자연스러운 모양이 되거나 기능적인 문제가 발생할 가능성도 있습니다.
또한 교합에 문제가 있는 형태인 경우에도 주의가 필요합니다.
심미적인 부분뿐만 아니라 저작 기능에도 영향을 미치고 있다면 교합 관계를 먼저 개선한 뒤에 고려해야 합니다.
성공적인 덧니라미네이트를 위해선
만족스러운 시술 결과를 위해서는 정확한 진단과 현실적인 계획이 필요합니다.
환자가 가지는 기대치와 실제 가능한 결과 사이의 차이를 명확하게 설명하고 그 간격을 줄이는 것이 중요합니다.
또한 충분한 치아량 확보도 중요한데, 건강을 해치지 않는 범위 내에서 진행되는 것이 좋습니다.

그리고 집도하는 의료진이 이 시술에 대한 많은 경험, 역량을 지니고 있는가도 같이 확인해 주시기 바랍니다.
덧니라미네이트는 효과적인 방법이나 모든 상황에 적용할 수 있는 시술이 아니라는 점을 아셨을 것입니다.
원하는 예후를 위해선 정확한 케이스 진단, 계획 수립, 의료진의 경험이 더해져야 합니다.


더 보기
이 병원의 공개 콘텐츠를 계속 살펴보세요
출처 아카이브로 돌아가 더 많은 글을 보거나, 병원 프로필로 이동해 다른 공개 채널도 함께 비교해보세요.