아카이브 요약
이 페이지의 역할
스마일스튜디오치과의원의 네이버 블로그 원문을 보존한 아카이브 페이지입니다. 라미네이트 카테고리의 블랙트라이앵글 치료 적합한 방법 알아보기 글을 통해 병원의 한국어 정보 제공 방식과 진료 관련 안내 톤을 확인할 수 있습니다.
원문 검증
필요하면 원문 블로그와 병원 프로필로 바로 이동해 문맥을 다시 확인할 수 있습니다.
출처 아카이브 열기아카이브된 블로그 글
스마일스튜디오치과의원 · Naver Blog
블랙트라이앵글 치료 적합한 방법 알아보기 치아 사이의 검은 삼각형 공간을 블랙트라이앵글이라고 부르는데요. 치아와 잇몸 사이에 형성되는 어두운 틈으로 인해 심미적 불편함과 함께 구강 건강까지 문제가 될 수 있습니다. 그래도 다행인 점은 블랙트라이앵글 치료를 위한 방법들이 이미 존재한다는 점입니다. 다양한 시술...
게시일
2025년 8월 6일
원문 기준으로 확인된 발행일입니다.
카테고리
라미네이트
원문 블로그 카테고리를 정리해 함께 표시합니다.
이미지 수
13
현재 아카이브에 연결된 이미지 수입니다.
아카이브 요약
스마일스튜디오치과의원의 네이버 블로그 원문을 보존한 아카이브 페이지입니다. 라미네이트 카테고리의 블랙트라이앵글 치료 적합한 방법 알아보기 글을 통해 병원의 한국어 정보 제공 방식과 진료 관련 안내 톤을 확인할 수 있습니다.
원문 검증
필요하면 원문 블로그와 병원 프로필로 바로 이동해 문맥을 다시 확인할 수 있습니다.
출처 아카이브 열기
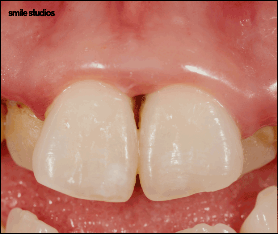
치아 사이의 검은 삼각형 공간을 블랙트라이앵글이라고 부르는데요.
치아와 잇몸 사이에 형성되는 어두운 틈으로 인해 심미적 불편함과 함께 구강 건강까지 문제가 될 수 있습니다.

그래도 다행인 점은 블랙트라이앵글 치료를 위한 방법들이 이미 존재한다는 점입니다.
다양한 시술들 중에서 적절한 방법을 선택한다면 효과적으로 개선할 수 있습니다.
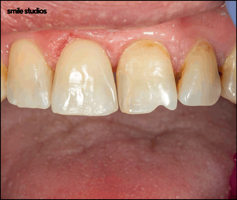
블랙트라이앵글의 발생 원인과 문제점
치아의 접촉점과 잇몸뼈 사이의 거리가 5mm를 초과할 때 나타나는 현상입니다.
본래 이 공간은 치간유두라고 불리는 삼각형 모양의 잇몸 조직이 채우고 있어야 하는데요.

여러 원인으로 인해 이 부분이 퇴축하면서 검은 틈이 드러나게 됩니다.
노화로 인해 자연스럽게 잇몸 조직의 탄력이 감소하는 것 또한 주요 원인 중 하나입니다.

특히 40대 이후부터는 잇몸의 하방 퇴축이 진행되면서 치간 사이가 더욱 뚜렷하게 나타날 수 있습니다.
이런 공간이 발생하게 된다면 찌꺼기가 쌓이기 쉬워 세균 번식의 환경을 조성하게 됩니다.
그 결과 염증의 악화와 함께 발음에도 영향을 줄 수 있고, 심미적인 부분에서 자신감 저하를 초래하기도 합니다.
다양한 치료 방법의 특징과 한계
그래서 이런 공간을 개선하기 위해 여러 가지 방식으로 접근하게 되는데요.
가장 간단한 방법으로 치아색과 유사한 소재로 틈을 메우는 방식입니다.

비교적 간단하고 비용이 저렴하나 시간이 지나면서 변색, 탈락, 마모가 발생할 가능성이 있습니다.
블랙트라이앵글 치료 중 하나로 교정도 고려할 수 있습니다.
특정 영구치를 이동시켜 공간을 줄이는 방법인데요.
문제는 그만큼 상당한 시간이 소요될 수 있으며, 모든 케이스에 효과적이지 않을 수 있습니다.
잇몸 수술을 통한 개선을 시도해 볼 수 있으나 만약 치조골이 이미 소실된 상태라면 해결이 어려운 경우가 많습니다.
특히 성인의 경우 치간유두의 재생이 제한적이기에 완전한 개선을 기대하기 힘들 수 있습니다.
라미네이트의 우수성과 적합성
위의 방법과 함게 고려되는 것이 라미네이트로 효과적인 방법으로 알려져 있습니다.

표면에 얇은 세라믹을 부착하여 영구치의 모양, 크기를 조정하면서 동시에 해당 문제까지 해결하게 됩니다.
특히 세라믹의 경우 자연치와 유사한 투명도, 색상을 가지고 있는 재료입니다.

이를 통해 자연스러운 외관 연출, 낮은 변색 가능성으로 인해 장기간 안정적인 심미성을 유지할 수 있습니다.
개개인의 영구치 형태, 얼굴 구조에 맞춰 정교하게 제작할 수 있는 방식입니다.

치간 사이의 공간을 차단하면서 자연스러운 모양을 구현할 수 있는데요.
특히 여러 개의 영구치에 발생한 경우 전체적인 조화를 고려한 통합적인 디자인도 가능합니다.
세라믹은 매끄러운 표면을 가지고 있는 소재이기에 세균의 부착을 줄이고 구강 위생 관리에도 용이합니다.

이는 증상의 재발을 방지하는데 있어서도 도움이 될 수 있는 특징입니다.
블랙트라이앵글 치료 시 고려사항
만약 시술을 받기 위해 알아보고 있는 중이라면 먼저 원인의 해결이 우선되어야 합니다.
치주질환 등이 있다면 이를 먼저 치료한 다음에 진행하는 것이 중요합니다.
만약 조치를 취하지 않고 시작할 경우 장기적인 안정성이 떨어질 가능성이 높습니다.
그리고 주변치와의 균형, 미소선을 고려하면서 진행되어야 하는 시술이므로 정밀한 진단, 디자인이 필수입니다.

여기에 개개인별 특성에 맞는 맞춤형 계획 수립도 필요한데요.
치아의 크기, 모양, 교합 관계 등을 모두 살펴보고 적합한 디자인을 결정하는 것이 바람직합니다.
나에게 맞는 방법을 찾아보세요
블랙트라이앵글 치료 중에서 라미네이트는 효과적인 방법으로 인정받고 있기도 한데요.
다만, 모든 경우에 적용될 수 있는 것은 아니기에 의료진과의 상담, 진단을 통해 가능 여부를 살펴봐야 합니다.

그리고 적합한 방법을 선택하여 시작하는 것이 건강하고 아름다운 미소를 되찾을 수 있는 방법입니다.

