아카이브 요약
이 페이지의 역할
스마일스튜디오치과의원의 네이버 블로그 원문을 보존한 아카이브 페이지입니다. 치아교정/수술교정 카테고리의 강남역 교정치과 삐뚠 앞니, 부분 치료 괜찮을까? 글을 통해 병원의 한국어 정보 제공 방식과 진료 관련 안내 톤을 확인할 수 있습니다.
원문 검증
필요하면 원문 블로그와 병원 프로필로 바로 이동해 문맥을 다시 확인할 수 있습니다.
출처 아카이브 열기아카이브된 블로그 글
스마일스튜디오치과의원 · Naver Blog
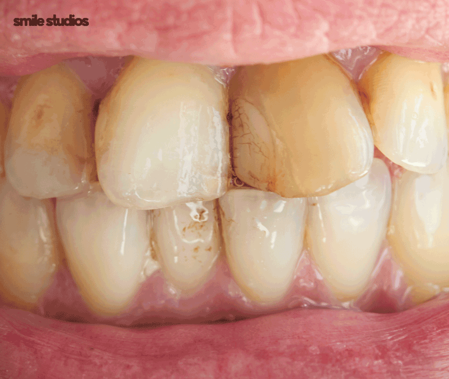
강남역 교정치과 삐뚠 앞니, 부분 치료 괜찮을까? 웃을 때마다 삐뚤한 앞니 때문에 신경 쓰이는 것은 물론, 고민이 될 수 있습니다. 그렇다고 전체 교정을 하기에는 부담이 되고, 앞니만 가지런히 하고 싶은 마음일 텐데요. 그래서 많은 분들이 눈에 띄지 않으면서 효과적인 방법을 찾고 있습니다. 강남역 교정치과를...
게시일
2025년 9월 5일
원문 기준으로 확인된 발행일입니다.
카테고리
치아교정/수술교정
원문 블로그 카테고리를 정리해 함께 표시합니다.
이미지 수
13
현재 아카이브에 연결된 이미지 수입니다.
아카이브 요약
스마일스튜디오치과의원의 네이버 블로그 원문을 보존한 아카이브 페이지입니다. 치아교정/수술교정 카테고리의 강남역 교정치과 삐뚠 앞니, 부분 치료 괜찮을까? 글을 통해 병원의 한국어 정보 제공 방식과 진료 관련 안내 톤을 확인할 수 있습니다.
원문 검증
필요하면 원문 블로그와 병원 프로필로 바로 이동해 문맥을 다시 확인할 수 있습니다.
출처 아카이브 열기
웃을 때마다 삐뚤한 앞니 때문에 신경 쓰이는 것은 물론, 고민이 될 수 있습니다.

그렇다고 전체 교정을 하기에는 부담이 되고, 앞니만 가지런히 하고 싶은 마음일 텐데요.
그래서 많은 분들이 눈에 띄지 않으면서 효과적인 방법을 찾고 있습니다.
강남역 교정치과를 찾는 많은 환자분들이 이런 고민과 방법에 대해 궁금해하십니다.
과연 부분 교정만으로도 만족스러운 결과를 얻을 수 있을까요?
가능한 앞니 상태는?
삐뚤한 치아를 개선하기 위한 부분 교정은 모든 경우에 적용할 수 있는 것은 아닙니다.
몇 가지 조건을 만족해야 좋은 결과를 기대할 수 있는데요.

먼저 앞니 4~6개 정도만 배열에 문제가 있고, 양쪽 송곳니의 위치가 정상적인 경우에 적합합니다.
영구치가 살짝 겹쳐있거나 각도가 틀어진 정도라면 충분히 개선할 수 있습니다.

또한 치아 사이에 틈이 있어 움직일 여유가 있거나 골격적인 문제 없이 치열만 문제가 있을 때 좋습니다.
반대로 심한 돌출이나 함몰, 어금니까지 영향을 미치는 복잡한 부정교합이라면 한계가 있습니다.
턱뼈의 구조적 문제, 치아 뿌리의 각도가 심하게 틀어진 경우에는 전체적인 방식을 고려해야 합니다.
투명교정의 장점과 부분 치료 적용
인비절라인과 나노라이너로 대표되는 투명 장치는 부분적인 시술에도 유리한 조건을 가지고 있는데요.

기존의 금속 브라켓과 다르게 투명한 플라스틱 재질로 제작되어 눈에 잘 띄지 않습니다.
그리고 탈부착이 가능하여 식사 및 양치질 시 제거할 수 있어 구강 관리에도 용이합니다.
또한 디지털 시뮬레이션을 통해 사전에 결과를 미리 확인할 수 있어 만족도가 높은 편입니다.

강남역 교정치과에서는 정밀한 3D 스캔 데이터를 바탕으로 제작되는데요.
각 단계별로 0.25mm씩 점진적으로 치아를 이동시키는 방식으로 적은 통증, 좋은 예후를 제공하게 됩니다.
치료 기간과 효과
삐뚠 앞니를 부분적인 방식으로 개선할 때 소요되는 시간은 보통 3~6개월 정도입니다.
전체적으로 변화를 주는 과정보다 더욱 단축된 시간으로 눈에 띄는 변화를 경험할 수 있습니다.

시술 초기 1~2주 동안은 장치에 적응하는 시간이 필요한데요.
약간의 불편함, 발음의 변화가 있을 수 있으나 대부분 빠르게 적응하시는 편입니다.
그리고 장치의 경우 하루에 20~22시간 이상 착용해야 효과적인 이동이 가능할 수 있습니다.

보통 1~2주마다 새로운 단계의 장치로 교체하며, 정기적인 검진을 통해 모니터링하는데요.
일반적으로 4~6주 간격으로 내원하여 현재 상태를 확인하고 추가적인 조치가 이루어지기도 합니다.
부분 교정의 한계와 고려 사항
아무리 부분적으로 진행하는 방식이 효과적이라고 해도 모든 문제를 해결할 수는 없는데요.
앞쪽 치아만 변화를 주었음에도 전체적인 교합에 영향을 주는 경우도 있습니다.

특히 위아래 치아가 맞물리는 방식에 변화가 생기면 턱관절에 부담을 줄 가능성도 있기 때문입니다.
거기에 시술 이후에는 유지 장치의 착용도 매우 중요한 과정입니다.
인위적으로 이동된 영구치는 원래 위치로 돌아가려는 성향이 있어 관리가 소홀할 경우 재발할 수 있습니다.
그래서 적어도 6개월~1년 이상은 유지 장치를 사용해야 안정적인 결과를 지속할 수 있습니다.

비용 면에서 전체 방식과 비교하면 어느 정도는 저렴한 편입니다.
그럼에도 상당한 투자가 필요한 것도 사실입니다.
그래서 사전에 충분한 상담을 통해 효과와 한계를 확실히 이해하고 시작하기 바랍니다.
맞춤 시술의 중요성
강남역 교정치과에서 시술을 고려할 때는 치아 상태, 기대 결과, 습관 등을 살펴보고 결정해야 합니다.
그리고 의료진과의 정밀한 진단과 상담을 통해 적합한 방법을 선택해야 합니다.

이를 통해 스트레스받던 삐뚠 앞니를 개선하고 자신 있는 미소를 지을 수 있을 것입니다.

