스마일스튜디오치과의원
서초 신논현 치과 무삭제 라미네이트 특징, 장단점
서초 신논현 치과 무삭제 라미네이트 특징, 장단점 심미치료에 관심이 높아지면서 무삭제 라미네이트라는 용어를 접하신 분들도 많을 텐데요. 기존 방식과 다르게 치아를 깎지 않아도 된다는 매력적인 장점이 있습니다. 그래서 많은 분들이 관심을 보이지만 정말 모든 사람들에게 적용할 수 있을까요? 서초 신논현 치과 등...
아카이브 요약
이 페이지의 역할
스마일스튜디오치과의원의 네이버 블로그 원문을 보존한 아카이브 페이지입니다. 라미네이트 카테고리의 서초 신논현 치과 무삭제 라미네이트 특징, 장단점 글을 통해 병원의 한국어 정보 제공 방식과 진료 관련 안내 톤을 확인할 수 있습니다.

심미치료에 관심이 높아지면서 무삭제 라미네이트라는 용어를 접하신 분들도 많을 텐데요.
기존 방식과 다르게 치아를 깎지 않아도 된다는 매력적인 장점이 있습니다.

그래서 많은 분들이 관심을 보이지만 정말 모든 사람들에게 적용할 수 있을까요?
서초 신논현 치과 등 많은 곳에서 시행하는 이 방법의 특징과 장당점에 대해 살펴보겠습니다.
무삭제 라미네이트의 특징과 원리
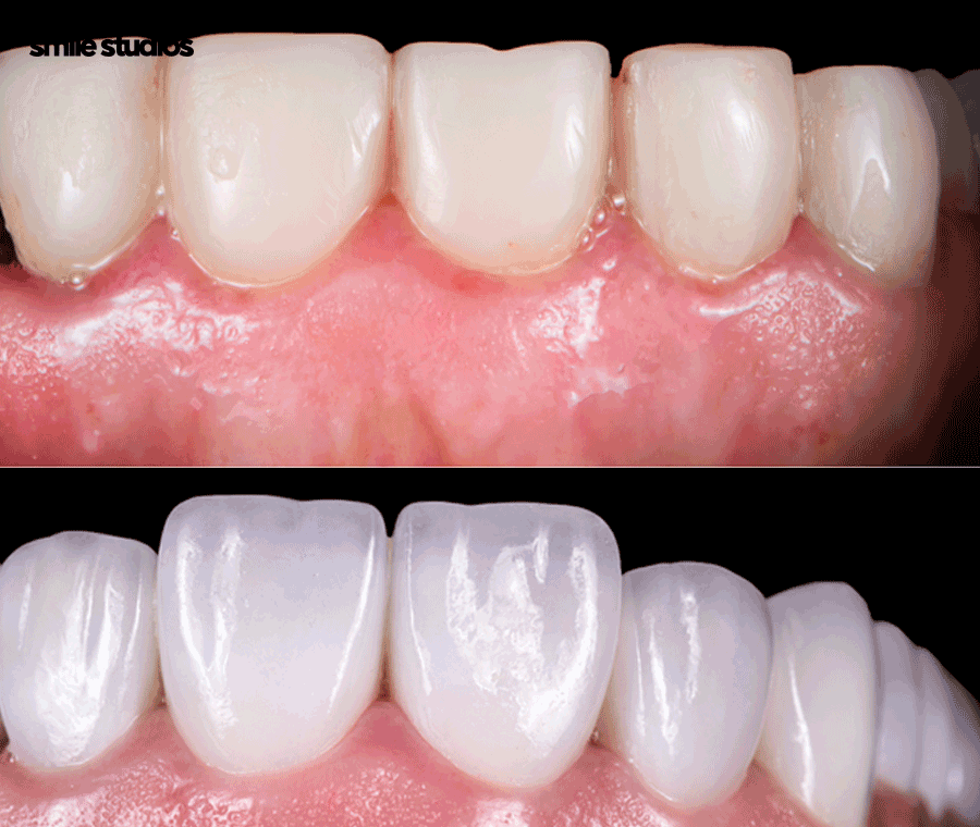
단어 그대로 기존의 치아를 삭제하지 않고 0.1~0.3mm 수준의 매우 얇은 세라믹 판을 표면에 부착하는 방식입니다.

이전의 방식은 개개인에 따라 다르나 약 0.3~0.5mm 정도로 영구치의 표면을 삭제하기도 했습니다.
또한 과도하게 삭제하여 시림 및 통증 등 여러 부작용이 나타나는 사례도 있었습니다.
그래서 이전까지의 방식과 비교하면 확실히 자연치의 손상을 최소화할 수 있는 보존적 치료법이기도 합니다.

이 방법의 핵심은 법랑질을 보존하면서도 심미적인 개선 효과를 얻는 것입니다.
서초 신논현 치과에서도 이 방식을 통해 환자들의 자연치를 보존, 원하는 심미적 결과를 구현하기 위해 노력하고 있죠.
가지고 있는 주요 장점들
- 손상 최소화
기존 영구치의 법랑질을 거의 그대로 보존하면서 시술이 이루어지는데요.
그래서 치아의 시림이나 신경 손상 등의 부작용 위험이 현저히 줄어들 수 있습니다.
- 치료 기간 단축
일반적으로 2회 정도의 내원으로도 시술이 완료될 수 있습니다.

그래서 바쁜 현대인들에게는 매력적인 요소가 될 수 있고, 진행 과정 중의 불편함, 통증도 상대적으로 적을 수 있습니다.
- 재료의 강도
보통 세라믹 재질로 제작되는 편인데, 일반적인 레진 소재보다는 우수한 강도를 가지고 있습니다.

또한 색상의 안정성도 뛰어날 수 있어 심미적으로도 여러 장점이 있습니다.
알아두어야 할 단점과 한계
그러나 무삭제 라미네이트도 분명한 한계는 존재하며, 먼저 적용 조건이 제한적일 수 있다라는 점인데요.
왜소치, 벌어진 치아, 약간 안쪽으로 들어간 자연치 등 적용 조건을 만족하는 경우에 효과적일 수 있습니다.

또한 삭제하지 않고 부착이 이루어지기 때문에 전체적으로 크기가 커질 수도 있습니다.
이로 인해 경계면이 깔끔하지 않거나 부자연스러워 보일 가능성도 존재합니다.
가급적이면 이에 대한 부분은 의료진과의 상담을 통해서 확인 및 결정해 주시는 것이 좋습니다.
잠재적 부작용과 주의사항
서초 신논현 치과에서 시술을 고려하고 있다면 주의 사항에 대해서 살펴보시는 것도 중요합니다.
잘못된 방식으로 경계를 설정할 경우 자칫 주변 조직까지 침범할 가능성이 있는데요.

이로 인해 만성적인 잇몸 염증이나 출혈까지 발생할 수 있습니다.
또한 장기적으로 잇몸 건강에 영향을 미칠 가능성도 있어 시술 전 정확한 진단, 개인별 적합성 검토가 필요합니다.
적용 가능한 조건과 대상
앞서 말씀드린 것처럼 무삭제 방식이 효과적일 수 있는 경우는 다음과 같습니다.
자연치 크기가 작은 왜소치, 앞니 사이에 공간이 있어 블랙트라이앵글이 나타나는 경우도 해당됩니다.
여기에 치아 배열은 비교적 가지런하면서 약간의 볼륨만 더하면 인상이 크게 달라질 수 있는 경우도 포함됩니다.
반대로 심하게 돌출되었거나 비뚤어진 치아, 색상 변화가 극심한 경우에는 만족스러운 결과를 얻기 어려울 수 있죠.

그래서 서초 신논현 치과에서 상담을 받을 때도 이에 대한 부분을 고려해야 하는데요.
본인의 자연치 상태가 해당 방식을 받기에 적합한지를 확인하는 것이 중요합니다.
분명히 자연치를 깎지 않고 이루어지는 심미치료는 매력적인 옵션입니다.
그러나 만능 해결책은 아니며, 개인에 따라 적합성이나 원하는 결과를 모두 고려하여 방법을 선택해 주셔야 합니다.

충분한 상담, 정밀한 진단을 통해 여러분에게 맞는 선택을 하시길 바랍니다.


더 보기
이 병원의 공개 콘텐츠를 계속 살펴보세요
출처 아카이브로 돌아가 더 많은 글을 보거나, 병원 프로필로 이동해 다른 공개 채널도 함께 비교해보세요.