화이트드림치과의원 강남
라미네이트 치료에 대해 알아보면?
적은양의 치아삭제를 원칙으로 보철과전문의, 통합치의학과전문의와 20년경력의 치과기공사가 치료과정을 함께합니다. 화이트드림치과는 7인의 전문의가 각각의 치료를 담당하고 있습니다. *화이티니 : 38만원*전문가미백 : 25만원 (3회 기준)*비급여진료에한함 / VAT별도통합치의학과전문의, 보철과전문의 전담진료 >>상담신청하기...
아카이브 요약
이 페이지의 역할
화이트드림치과의원 강남의 네이버 블로그 원문을 보존한 아카이브 페이지입니다. 진료정보 카테고리의 라미네이트 치료에 대해 알아보면? 글을 통해 병원의 한국어 정보 제공 방식과 진료 관련 안내 톤을 확인할 수 있습니다.
적은양의 치아삭제를 원칙으로 보철과전문의, 통합치의학과전문의와 20년경력의 치과기공사가 치료과정을 함께합니다. 화이트드림치과는 7인의 전문의가 각각의 치료를 담당하고 있습니다.
| 화이티니 : 38만원전문가미백 : 25만원 (3회 기준)*비급여진료에한함 / VAT별도통합치의학과전문의, 보철과전문의 전담진료 |
>>>상담신청하기


강남역10번출구 도보1분, block77빌딩 5층
주소
서초구 서초대로77길 17, BLOCK77빌딩 5층
화이트드림치과의원
전화번호
02-558-0037
주차장
지하3층~지하5층 / 자주식주차
*라미네이트는 치아를 일정부분 삭제한 뒤 그 위에 얇은 세라믹판을 접착하여 심미성을 개선시키는 치료입니다. 단, 보철물 탈락과 반영구적 사용, 치아의 손상이 있을 수 있습니다.
풍부한경험을 가진 전문의와 기공사,
손끝에서 완성되는 컬러와 투명감

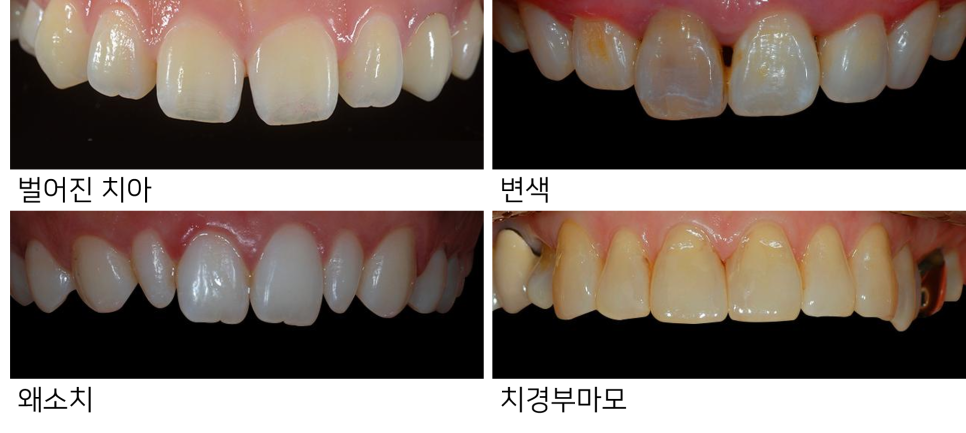
앞니는 웃을 때나 말할 때, 음식을 섭취할 때 등 우리의 일상생활 속에서 타인에게 드러나기 쉽습니다.
다양한 이유로 앞니의 심미적, 기능적인 회복이 필요하다면 라미네이트를 고려할 수 있습니다.
*치료 특성 상, 카메라 앞 or 대중 앞에 서야 하는 직업을 가지고 있는 분들이 치료를 받는 비율이 높습니다.
단순 삭제량이 적은 치료가 아닌
개인의 치아 특성에
부합하는 치료를 합니다.
라미네이트는 치아의 일정부분 삭제가 필요한 치료이며 개인의 치아형태 및 특성에 따라 삭제량이 결정됩니다.

*흔히 라미네이트라고 알고 있던 앞니가 삭제된 모습은 올세라믹 치료입니다. 케이스에 따라 삭제량은 달라질 수 있습니다.
위의 삭제량 차이는 개인의 치아상태에 따른 치료방향의 차이로 인한 것이지 멀쩡한 치아를 삭제하는 것이 아닙니다.
덧붙여, 올세라믹의 삭제량이 많다하여 나쁜 치료다(?) 라고 말하기는 어렵습니다.
어떤 환자에게는 라미네이트보다 올세라믹 치료가 적합 할 수 있기 때문입니다. 모든 치료에는 득과 실이 있고 환자에 따라 적용방식이 달라집니다.
원내에서 제작하는
라미네이트
풍부한 경력을 가진 세라미스트(치과기공사)가 원내에 상주하며 라미네이트를 제작하고 있습니다.
인위적이지 않은 자연스러운 결과를 추구합니다.

+케이스에 따라서는 1DAY 치료도 가능하나, 일반적으로 1주 이내로 치료가 마무리될 만큼 치료기간이 짧습니다.
아이테로 구강스캐너를 통해
치아를 DATA화 할 수 있습니다.

기존의 복잡했던 과정을 스캔 한번으로
몇 분안에 내 치아의 정보를 디지털 정보로 변환, 기존 인상채득 방식의 불편함은 줄이고 정확한 치아의 상태를 파악할 수 있습니다.



iTero 구강스캐너
단 몇분안에 환자의 치아를 디지털 데이터로 변환합니다.



기존의 인상채득(본뜨기)
구강스캐너가 없다면 위와 같은 과정을 거칩니다.
무삭제라미네이트는
이런 경우에 적용됩니다.
*무삭제라미네이트는 왜소치와 같은 케이스에만 해당됩니다.
왜소치와 같이 치아의 크기가 작은 경우에는 기존치아의 삭제없이 치료를 마무리 할 수 있습니다.


참고이미지 : 왜소치케이스, 위 사진은 보정되지 않은 이미지이며 치료효과는 개인마다 다를 수 있습니다.
치아의 손상을 줄일 수 있는 케이스의 경우에는 무삭제라미네이트를 고려할 수 있습니다. 다만 무삭제라미네이트의 경우 모든 케이스에 적용할 수 없기 때문에 의료진과의 상담이 필요합니다.
온라인 상에서 알려진 것처럼
라미네이트는 나쁘고
하지말아야할 치료일까요?
라미네이트는 온라인상에서 부정적인 치과치료로 많이 알려져 있습니다.
모든 치료에는 득과 실이 존재하는데 유독 라미네이트는 득 보다 실에 많은 초점이 맞추어져 있습니다. 눈으로 쉽게 보여지는 앞니를 삭제한다는 두려움 때문일 것입니다.
그러나 이러한 부작용 중 다수는 라미네이트가 가지고 있는 문제점이라기 보다 "하지 않았어야 할 치료"의 결과로 보는것이 타당합니다.
*라미네이트의 삭제량은 기타 크라운, 인레이에 비해 현저히 적습니다.
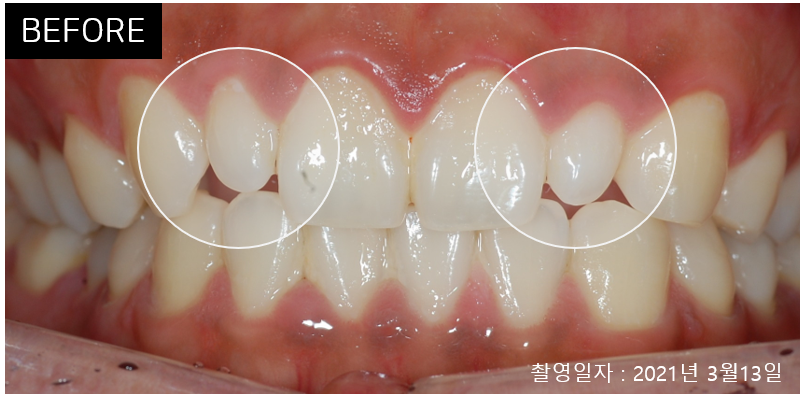
라미네이트가 필요한 사례
라미네이트 치료는 심미적기능의 회복에 주요한 목적을 둔 치료로써 적합한 케이스에 적용된다면 개선폭이 분명한 치료입니다.

라미네이트가 필요한 케이스들, 참고용 이미지
라미네이트 비용 & 치료기간
▶비용
라미네이트의 치료비용은 일반적인 치과의원 기준으로 40~70만원입니다.
▶치료기간
케이스에 따라 다르지만 짧으면 하루안에 치료가 마무리되는 경우가 있으며 길게는 2주이내에 치료가 마무리됩니다.

화이트드림치과의원
라미네이트 비용안내
라미네이트 40만원
치아미백 10만원
*치아성형치료는 vat별도
*비급여진료에 한함
전후사진 확인하기
의료법에 의거 홈페이지에서 확인이 가능합니다.

경험많은 의료진의 선택

정수윤 대표원장 / 통합치의학과전문의
다양한 케이스의 경험을 가진 의료진의 선택이 뒷받침되어야 함은 물론이며 고유의 치아형태에 맞는 치아의 비율, 미소라인, 치축 등을 고려한 디자인이 수반되어야 합니다.
*무분별한 치료는 추후 파절, 탈락, 시림 등의 증상을 초래할 수 있어 의료진과의 심도있는 상담을 통해 치료를 결정하여야 합니다.
세렉(CEREC)을 통한
라미네이트 제작

출처 : dentsply sirona
세렉은 라미네이트를 깎아내는 치과용 로봇입니다. 100년이상의 역사를 가진 독일 시로나의 머신으로 빠른제작 / 세밀함 두마리의 토끼를 모두 잡아낼 수 있는 장비입니다.
개개인의 각기다른 치아의 모형을 스캔을 통해 이를 데이터화하고 환자의 케이스에 맞는 보철물을 제작합니다.
하단의 영상을 통해 보철물을 어떻게 깎아내는지 보실 수 있습니다.
영상참조 : 세렉은 어떻게 보철물을 제작하는가?
출처 : Dentsply Sirona Youtube
누렇게 변색된 치아를
하얗게 되돌리고 싶다면?
라미네이트를 통해 변색된 치아를 개선할 수 있지만 치아미백치료를 통해서도 치아의 색을 되돌릴 수 있습니다.

A3정도의 레벨에 해당된다면 미백치료를 고려해볼 수 있습니다.

화이트드림치과를
미리 둘러보세요







Previous image Next image


더 보기
이 병원의 공개 콘텐츠를 계속 살펴보세요
출처 아카이브로 돌아가 더 많은 글을 보거나, 병원 프로필로 이동해 다른 공개 채널도 함께 비교해보세요.