화이트드림치과의원 강남
치아교정, 꼭 해야 한다면 미리 알아 두자.
치과교정과전문의 및 교정학회 인정의가 치료를 담당하며 아이테로 구강스캐너 / 모르페우스3D 등과 같은 디지털 장비의 도입을 통해 보다 높은 수준의 교합을 지향합니다. 세라믹교정 290만원클리피씨교정 340만원인비절라인 500만원부분교정 90만원*어린이교정 성장판 검사 비용 5만원*비급여진료에한함*교정치료시 위의 금액 외...
아카이브 요약
이 페이지의 역할
화이트드림치과의원 강남의 네이버 블로그 원문을 보존한 아카이브 페이지입니다. 진료정보 카테고리의 치아교정, 꼭 해야 한다면 미리 알아 두자. 글을 통해 병원의 한국어 정보 제공 방식과 진료 관련 안내 톤을 확인할 수 있습니다.
치과교정과전문의 및 교정학회 인정의가 치료를 담당하며 아이테로 구강스캐너 / 모르페우스3D 등과 같은 디지털 장비의 도입을 통해 보다 높은 수준의 교합을 지향합니다.
| 세라믹교정 290만원클리피씨교정 340만원인비절라인 500만원부분교정 90만원어린이교정 성장판 검사 비용 5만원비급여진료에한함*교정치료시 위의 금액 외 추가비용 없습니다.(월비, 장치비, 유지장치비 등) |


강남역 10번출구 도보1분, block77빌딩 5층에 위치하고 있습니다.
주소
서울 서초구 서초대로77길 17, BLOCK77빌딩 5층
전화번호
02-558-0037
주차장
지하3층~지하5층 / 자주식주차
*치아교정의 경우 약 2년이 소요되는 장기적인 계획을 가진 치료라고 할 수 있습니다. 2년에 근접하는 장기적인 치료인만큼 근거가 뒷받침된 진료의 필요성은 당연하다고 볼 수 있습니다.
교정치료를 수행하는
치과교정과전문의
풍부한 임상경험을 보유한 치과교정과전문의와의 상담을 통해 문제점을 개선시킬 수 있는지에 대한 인식을 공유합니다.

치과교정과전문의 김상철
40년이상 경력
-
제25대 대한치과교정학회장
-
제2대 원광대학교대전치과병원장
-
서울대학교 치과대학 졸업
-
서울대학교 치의학대학원 석.박사
-
캘리포니아 주립대 교정과 객원교수
-
대한치과교정학회 평의원회의장
-
전국치과대학/치전원 치과교정과교수협의회장
-
대한치과교정학회 인정의
-
치과교정과 전문의
치아교정비용과
치료기간?
▶치료기간 2년내외
▶치료비용 300~700만원
*월치료비용, 유지장치비용 등이 별도인지 확인. 초기에 계획했던 나의 예산과 벗어나지는 않는지 확인이 필요합니다.
화이트드림치과 강남점
치아교정 비용안내
세라믹교정 290만원
클리피씨교정 340만원
인비절라인 500만원
부분교정 90만원
*비급여진료에한함
미국 실리콘밸리에서 시작된,
인비절라인
전세계 1,000만명이상 치료진행(인비절라인 홈페이지)


Previous image Next image
인비절라인은 탈부착이 가능하고 착용시 거의 티가 나지 않는 투명한 소재의 교정장치입니다.
*발치를 동반한 부정교합치료가 가능합니다.
*6-10세 아이, 어린이 1차교정치료도 가능합니다.
인비절라인에 대해 더 알아보고싶다면 ▼
인비절라인
전용 치료공간



Previous image Next image
화이트드림치과의원 내부
인비절라인을 위한 치료공간에서 디지털진단에 기반을 둔 치료계획을 받아보실 수 있습니다.

성장기 교정치료는 영구치의 올바른 맹출을 유도하면서 덧니, 무턱, 돌출입 등을 사전에 예방할 수 있습니다.

자세한 내용은 상담을 통하여 친절하고 상세하게 알려드리고 있습니다.


골격이 성장하고 있는 어린이의 경우 부드럽게 치열을 이동할 수 있어 질 높은 결과를 얻을 수 있습니다.
또한, 조기에 올바른 구강관리법을 익히게 되어 성장 후에도 스스로 구강관리를 할 수 있습니다.

인비절라인 퍼스트의 경우 투명한 재질로 제작되어 심미성이 좋아 어린아이가 거부감 없이 적용해 볼 수 있고, 탈부착이 가능하여 음식물 제한이 적어 성장기에 충분한 영양소를 공급이 가능합니다.
자가결찰교정장치
-클리피씨 자가결찰교정장치

-에스라인 자가결찰교정장치

기존의 와이어를 일일히 묶는 교정방식에 비해 배열이 용이하고 치료시간이 단축되며 구강관리면에서도 이득을 보기 때문에 환자의 만족도가 높지만 치료를 진행하는 의료진의 만족도도 높은 교정장치입니다.
*치아의 색을 띄고있기 때문에 심미적입니다.
교정치료 중 충치치료,
옮겨다니지 않아도 됩니다.
교정과와 타치료과의 연계를 기본으로 한 치료가 이루어집니다.
교정치료기간동안 마주치게되는 여러가지 문제점들을 타치료과 전문의들과 협의하며 치료를 이어가고 있습니다.

정상교합,
교정치료의 목표
모든 치료는 개인차가 존재하며 치근흡수, 탈회 등의 부작용이 발생할 수 있습니다.
돌출입과 비뚤배뚤한 치열을 해결하는 것 보다 중요한 부분은 쉽게 눈에 띄지않는 어금니의 교합입니다.
육안으로 보여지는 배열만을 맞추는것은 당장은 큰 문제가 없을지 몰라도 시간이 지나면서 치아건강이 악화 될 수 있습니다.

촬영일자 : 19.07.02 / 본 이미지는 보정이 들어가지 않은 이미지입니다.
치료전후사진 확인하기

다양한 교정치료 사례를 통해 치료효과를 가늠해 볼 수 있습니다.
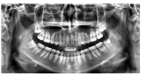
디지털구강스캐너를 통해
치아를 data화 합니다.

iTERO ELEMENT 구강스캐너를 통해 치아를 이미지로 구현할 수 있습니다.
치료 진행과정을 확인해 볼 수 있으며 정확한 데이터의 획득을 통해 치아에 맞는 교정장치의 제작을 가능하게 해줍니다.
+환자에게 편안함을 의료진에게는 정확한 진단과 복잡한 치료과정을 간소화 시켜주는데 도움을 줍니다.



iTero 디지털 구강스캐너
단 몇분안에 환자의 치아를 디지털 데이터로 변환합니다.



기존의 인상채득 방식(본뜨기)
구강스캐너가 없다면 위와 같은 과정을 거칩니다.
정밀진단보다
더욱 중요한 것은
데이터를 해석하는 능력입니다.

교정치료는 눈으로만 확인하고 정밀한 치료계획을 세울 수 없습니다.
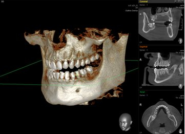
구강 전반 및 얼굴뼈 부위까지 광범위한 진단을 통해 육안으로는 파악하기 어려운 부분까지 살펴볼 수 있습니다.
약2년간 이어지는 치료과정동안 의료진의 판단에 도움을 주어 올바른 치료가 될 수 있도록 도와주는 장비입니다.


치료 전,
안모를 분석합니다.



교정치료 결과 후의 모습을 확인 할 수 있습니다.
구강 및 안모의 정보를 모르페우스3D 장비를 이용해 입체적으로 파악 가능합니다. 환자의 입장에서 결과값에 대하여 의료진과 소통을 할 수 있다는 점에서 큰 도움이 됩니다.
기공실이 치과 내에 있으면?
보다 높은 수준의 교합을 지향
치과교정과전문의와 치과기공사가 함께 환자의 케이스에 관하여 많은 시간을 공유합니다.
의견교환을 통해 치료계획을 설정하며 기공실이 원내에 있기 때문에 제작, 수정 등의 대처가 가능해집니다.


교정치료는 안모의 개선 뿐만 아니라 구강관리에도 도움이 되는 치료입니다.


교정치료는 조화로운 턱, 얼굴의 관계와 정상적인 교합을 유도함으로써 치아, 구강 및 턱의 정상적인 저작, 발음, 호흡, 악습관 제거, 정상적인 성장 발육과 심미적으로는 우수한 안모의 변화를 가져다 줄 수 있습니다. 가까운 교정치과에 가보셔서 개선이 가능한지 상담해보세요.
화이트드림치과를
미리 둘러보세요







Previous image Next image
강남역에서 보기 드문
편안한 주차환경






더 보기
이 병원의 공개 콘텐츠를 계속 살펴보세요
출처 아카이브로 돌아가 더 많은 글을 보거나, 병원 프로필로 이동해 다른 공개 채널도 함께 비교해보세요.