화이트드림치과의원 강남
무너진 잇몸뼈와 치아 상실을 대체하는 전악임플란트 치료 사례
안녕하세요. 강남 화이트드림치과 대표원장 정수윤 입니다. 이제는 100세 시대라는 말이 친근해지면서 오랜기간 건강하게 살아가기 위해 몸 관리에 힘쓰는 경우가 많습니다. 신체 기관들이 쓰임새에 따라 빨리 닳기도 하지만, 대체로 나이가 들면서 그 기능이 약해지게 될 수 있는데요. 관리에도 불구하고 선천적으로 잇몸이 좋지...
아카이브 요약
이 페이지의 역할
화이트드림치과의원 강남의 네이버 블로그 원문을 보존한 아카이브 페이지입니다. 화이트드림치과 카테고리의 무너진 잇몸뼈와 치아 상실을 대체하는 전악임플란트 치료 사례 글을 통해 병원의 한국어 정보 제공 방식과 진료 관련 안내 톤을 확인할 수 있습니다.
안녕하세요. 강남 화이트드림치과 대표원장 정수윤 입니다.
이제는 100세 시대라는 말이 친근해지면서 오랜기간 건강하게 살아가기 위해 몸 관리에 힘쓰는 경우가 많습니다. 신체 기관들이 쓰임새에 따라 빨리 닳기도 하지만, 대체로 나이가 들면서 그 기능이 약해지게 될 수 있는데요. 관리에도 불구하고 선천적으로 잇몸이 좋지 못하거나 치아가 파손되는 부상을 입으시는 경우에 임플란트 치료를 희망하여 내원해주고 계십니다.
이번에 저희 치과에 내원해주신 환자분께서는 기존에 진료를 받아 부분틀니를 사용하고 계셨으며. 남아있는 치아 마저 전부 흔들려 불편함이 지속된다고 말씀해주셨는데요. 앞서 설명해 드린 대로 잇몸과 치아 사이에 염증과 출혈이 심하여 제 기능을 하지 못하는 상태이셨습니다.


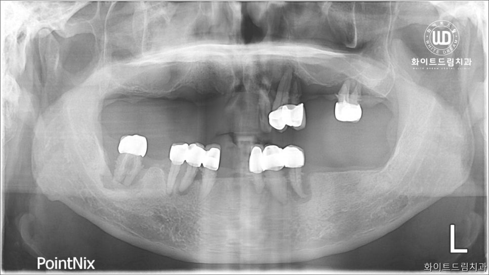
사진상으로 보시면 부분틀니를 오랫동안 사용하시면서 골 소실이 많고, 잇몸과 잇몸 뼈 주변까지 염증이 진행된 상태셨습니다. 전반적으로 구강 내 염증 정도가 심했고, 오랜시간 치아가 소실되어 있어 잇몸뼈 또한 녹아내린 상태였습니다.
이전의 케이스와 비슷하게 기존 보철물들은 제거가 필요한 상태였는데요. 환자분 동의 하에 남은 치아 전체 발치 후 상악 양측 구치부 상악동 거상술 및 뼈이식 진행 후 임플란트를 식립하는 임플란트 치료과정을 적용한 사례입니다.

상악동은 코 옆에 위치하고 하방으로는 위 어금니 치조골이 존재합니다. 하지만, 나이가 들어감에 따라 아래로 내려와 치조골 양이 조금씩 줄어들게 되는데요. 이러한 이유로 위턱의 작은 어금니와 큰 어금니가 빠진 경우 임플란트를 심을 치조골이 부족한 경우가 많습니다.
즉, 임플란트를 심을 뼈가 부족한 상태인 것을 확인할 수 있었습니다. 내원해주신 환자분께 상악동 점막을 들어올려 생긴 공간에 뼈를 이식하여 임플란트를 심을 수 있도록 도와드렸습니다.
단순 보철 식립이 아닌 기존에 남아있던 치아들이 자라난 방향과 저작상태를 감안하여 임플란트 나사를 식립했습니다. 전체임플란트 사례이나, 고령의 나이이신 점을 감안하여 전반적인 건강상태에 무리가 가지 않도록 상악부터 소량의 임플란트보철을 먼저 식립했습니다.


진행한 치료 기간은 약 6개월 정도 소요되었는데요.
전체 치아를 발치하여 임플란트를 진행하는 것에 대해 걱정이 많으신 환자분이었던 만큼 임플란트 식립 과정에서 지지기능을 튼튼하게 해드리기 위해 치조골 이식술을 동반해드렸습니다.
2주 간격으로 3번에 걸쳐 상악동 거상술과 치조골이식술을 진행하여 뼈가 퇴축하는 것을 방지하고, 심미적으로도 악안면 구조를 재편할 수 있도록 도와드렸습니다. 그리고 5개월 후 임플란트 보철을 올려 마무리 진행을 도와드렸습니다.
임플란트 치료 사례 전/후 비교




다음은 상악동 거상술과 치조골이식술을 동반한 임플란트 식립 후 최종 진단 결과물입니다.
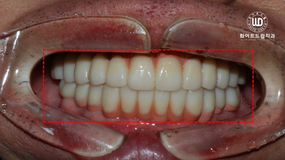
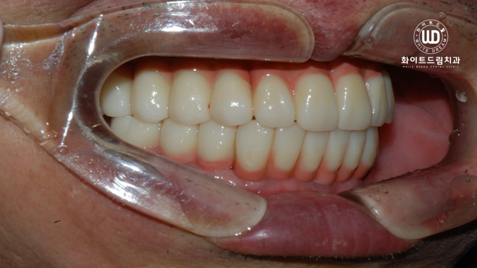
좌측에 보이는 사진이 임플란트 치료 전 모습이며, 우측이 치료 후 모습입니다.
이전의 구강상태와 확연한 차이를 보이고, 구강 저작력이 크게 향상되는 등 만족스러운 결과가 나왔습니다.



치료가 완료된 사진을 살펴보면 임플란트가 뿌리부터 머리까지 나란히 매끄럽게 연결되어 있는 것을 확인하실 수 있는데, 상악 하악의 U자 형태가 본 케이스와 같이 나올 수 있으려면 임플란트 보철 식립 방향을 잘 체크해야합니다.
환자분께서 부분틀니를 사용하다가 전체 임플란트를 진행하게 됐는데, 훨씬 더 편안하고 음식을 씹는데 큰 문제가 없어 만족한다는 말씀을 전해주신 것이 기억에 남습니다.
치아를 상실한 뒤에는 적절한 시기를 놓치지 않고 임플란트 치료를 진행하는 것이 좋습니다. 오랜 시간 방치한다면 맞물리는 치아가 내려오는 것은 물론, 잇몸뼈의 소실로도 이어질 수 있으므로 빠른 시간 내에 치과에 내원하셔서 진료를 받으시는 것이 좋습니다.
치아를 상실하거나 임플란트 치료를 고민하고 계시다면 언제든지 편하게 문의해주세요. 환자분들의 마음을 공감하여 친절하게 상담 및 진료예약 도와드리겠습니다.
오늘도 긴 글 읽어주셔서 감사드리며, 다음에도 좋은 내용으로 인사드리도록 하겠습니다.
감사합니다.
- 강남 화이트드림치과 대표원장 정수윤
상담전화
02-558-0037


더 보기
이 병원의 공개 콘텐츠를 계속 살펴보세요
출처 아카이브로 돌아가 더 많은 글을 보거나, 병원 프로필로 이동해 다른 공개 채널도 함께 비교해보세요.