아카이브 요약
이 페이지의 역할
화이트드림치과의원 서울 강남점의 네이버 블로그 원문을 보존한 아카이브 페이지입니다. 화이트드림치과 카테고리의 전체 치조골 이식을 동반한 고혈압 환자 임플란트 사례 글을 통해 병원의 한국어 정보 제공 방식과 진료 관련 안내 톤을 확인할 수 있습니다.
원문 검증
필요하면 원문 블로그와 병원 프로필로 바로 이동해 문맥을 다시 확인할 수 있습니다.
출처 아카이브 열기아카이브된 블로그 글
화이트드림치과의원 서울 강남점 · 강남화이트드림치과의원
안녕하세요. 강남 화이트드림치과 대표원장 정수윤 입니다. 임플란트 식립 목적은 영구치를 잃은 빈 자리에 인공치를 심어 기능과 심미성을 되찾는 방법으로 저작 능력을 크게 높이는 데에 있습니다. 튼튼하게 자리하여 오랜 시간을 사용할 수 있다는 장점과 함께 삶의 질을 높여 주기도 하는데요. 치아 상실로 인하여 심미적으로 좋...
게시일
2023년 6월 15일
원문 기준으로 확인된 발행일입니다.
카테고리
화이트드림치과
원문 블로그 카테고리를 정리해 함께 표시합니다.
이미지 수
12
현재 아카이브에 연결된 이미지 수입니다.
아카이브 요약
화이트드림치과의원 서울 강남점의 네이버 블로그 원문을 보존한 아카이브 페이지입니다. 화이트드림치과 카테고리의 전체 치조골 이식을 동반한 고혈압 환자 임플란트 사례 글을 통해 병원의 한국어 정보 제공 방식과 진료 관련 안내 톤을 확인할 수 있습니다.
원문 검증
필요하면 원문 블로그와 병원 프로필로 바로 이동해 문맥을 다시 확인할 수 있습니다.
출처 아카이브 열기안녕하세요. 강남 화이트드림치과 대표원장 정수윤 입니다.
임플란트 식립 목적은 영구치를 잃은 빈 자리에 인공치를 심어 기능과 심미성을 되찾는 방법으로 저작 능력을 크게 높이는 데에 있습니다. 튼튼하게 자리하여 오랜 시간을 사용할 수 있다는 장점과 함께 삶의 질을 높여 주기도 하는데요. 치아 상실로 인하여 심미적으로 좋지 않은 경우나 음식을 마음껏 섭취하기 어려울 때, 저희 치과에 내원하셔서 도움을 받아 보실 수 있습니다.
오늘 말씀드릴 환자분은 이전에 틀니를 7~8년 동안 사용했다고 하셨습니다. 틀니를 오랜 기간 동안 사용하셔서 불편하다고 말씀해 주셨는데요. 이러한 이유에 임플란트를 원하시고 저희 치과에 내원해 주셨습니다.


사진상으로 보시면 틀니를 오래 착용하시면서 하악 골소실이 심하고, 잇몸 폭도 현저히 줄어 있는 상태임을 확인할 수 있었습니다.
해당 환자분께서는 고혈압이 있으셨는데요. 당뇨, 고혈압, 전신질환 환자분들도 임플란트 치료를 받으실 수 있도록 컴퓨터 모의진단 후 맞춤형 치료계획을 수립하였습니다.
그 후, 필요 부위만 절개하여 조직 손상도를 줄이고 수술기간을 단축하여 원활한 치유 및 회복을 도와드리는 과정을 적용한 사례입니다.


더욱 자세한 치료를 위해 파노라마 사진을 촬영하여 살펴보았습니다. 하악의 잔존 치아도 제 기능을 하지 못할뿐더러 골소실이 함께 나타나 있었습니다. 그래서 하악 잔존 치아 2개를 발치하여 상하 전체 치조골 이식을 동반한 임플란트 식립을 진행하였습니다.
임플란트 치료를 받고자 하는 많은 환자분들께서 뼈가 부족한 상태로 내원하는 경우가 많습니다. 잇몸 뼈의 조건이 좋지 못하면 임플란트 보철을 식립하기 어려울 수 있는데요. 특히나 까다로운 경우가 전치부쪽입니다.
어금니쪽은 잇몸면적이 그나마 넓은 편에 속하지만, 전치부는 잇몸뼈가 얇아지기 때문에 식립이 상당히 까다로운 편에 속합니다. 현재 전악케이스인 환자분의 경우에는 앞니뿐만 아니라 오랜시간 틀니를 착용하면서 어금니쪽 잇몸뼈도 그리 좋은 상태가 아님을 확인할 수 있습니다.

다음은 저작상태를 감안하여 임플란트 나사를 식립한 사진입니다. 임플란트를 한 번에 다수 식립하게 되면 치과 내원 횟수는 줄일 수 있지만, 수술 시간이 길어 피로도가 높아지게 되는데요. 환자분의 건강에 문제가 되지 않도록 고령이신 점에 맞게 진행하여, 하악 임플란트 식립은 통증이 적고 짧은 수술 시간을 위해 반반 나눠서 도와드렸습니다.
상악, 하악 임플란트 보철 제작은 스캐너를 통해 환자분의 구강 정보를 얻고, 컴퓨터를 통해 보철물을 디자인했습니다. 미리 컴퓨터 상에서 보철물을 재현하여 실제 보철제작 전에 적합성을 확인할 수 있도록 도와드렸으며, 치과 내원 횟수를 감소시켜드려 부담이 적어지도록 진행해드렸습니다.

진행한 치료 기간은 약 5개월 정도 소요되었습니다. 고령이신 만큼 치료는 급하지 않게 충분한 시간을 들여 진행하였고, 잇몸전체에 무리가 가지 않도록 보철을 최소식립하였으며, 앞니쪽의 경우 잇몸뼈가 너무 얇아 식립이 어려운점을 고려, 임플란트브릿지를 사용하였습니다.
상악 전체와 하악은 2번, 2주 간격으로 3번에 걸쳐 임플란트 고정체를 식립해 드렸으며, 4개월 동안 임플란트 고정체가 뼈에 잘 유착되도록 기다렸다가 보철 인상채득을 진행하였습니다.




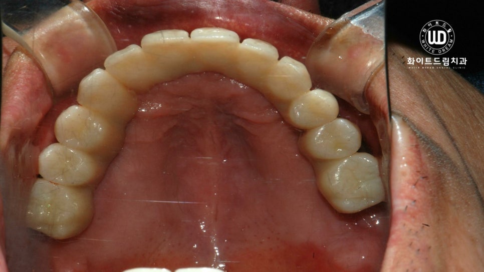
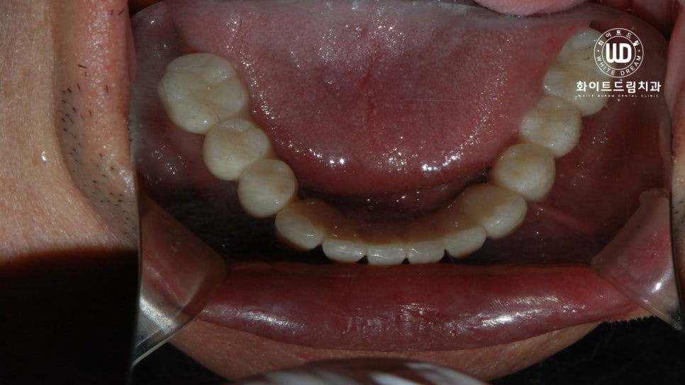
마지막으로, 하악 잔존 치아 2개 발치 후, 상하 전체 치조골 이식을 동반한 임플란트 식립 후 최종 진단 결과물입니다.
심미적, 기능적으로 주변 치아와 자연스럽게, 그리고 나이에 어울리도록 임플란트 시술이 마무리 된 것을 확인할 수 있었습니다.
진료 마무리 후 현재까지 부작용은 없는지, 치아 탈락 현상은 없는지 등 정기적인 검진을 진행해 드리고 있습니다.
뼈이식과 임플란트 식립에 있어서 가장 중요한 포인트는 바로 고정력 입니다. 임플란트를 여러개 식립하여 보철치료를 진행할 때, 저작하는 위치가 변하지 않고 모든 치아가 긴밀하게 위치할 수 있도록 교합 조절을 해드리는 것이 중요합니다.
또, 임플란트 자체는 난이도가 있는 시술이기 때문에 알맞은 시술을 위해서는 관련 전문의를 찾아가는 것이 좋습니다.
환자분께서 틀니를 오래 사용해서 잘 맞지 않고 불편했는데 임플란트 진료를 받은 후에 너무 편하게 생활하고 있다는 말씀을 전해주신 것이 기억에 남습니다.
임플란트 진료를 원하실 때, 고령이시거나 고혈압, 당뇨를 오래 앓았을 경우에는 잇몸이 약한 이유로 치주질환이 함께 발생할 수 있으므로 잇몸뼈를 튼튼하게 만들고 수술 전 관리를 통해 보다 안전하게 진료받으시기 바랍니다.
질환을 앓고 계시거나 임플란트 치료를 고민하고 계시다면 주저하지 마시고 언제든지 편하게 문의주세요. 환자분들을 가족처럼 항상 웃을 수 있도록 도와드리는 화이트드림치과가 되겠습니다.
감사합니다.
상담전화
02-558-0037

