아카이브 요약
이 페이지의 역할
화이트드림치과의원 서울 강남점의 네이버 블로그 원문을 보존한 아카이브 페이지입니다. 화이트드림치과 카테고리의 전체임플란트 식립 및 임플란트뼈이식 후기 글을 통해 병원의 한국어 정보 제공 방식과 진료 관련 안내 톤을 확인할 수 있습니다.
원문 검증
필요하면 원문 블로그와 병원 프로필로 바로 이동해 문맥을 다시 확인할 수 있습니다.
출처 아카이브 열기아카이브된 블로그 글
화이트드림치과의원 서울 강남점 · 강남화이트드림치과의원
안녕하세요. 강남 화이트드림치과 대표원장 정수윤 입니다. 사람들은 누구나 치아 관리를 소홀히 하게 되면 충치 및 치주질환이 발생할 수 있는데요. 만약 이를 내버려 둔다면 자연치를 상실하거나 발치해야 하는 상황에 이를 수 있습니다. 이때 필요한 치료방법으로 브릿지, 틀니, 임플란트 등이 있는데요. 모든 시술에 부작용이...
게시일
2023년 6월 27일
원문 기준으로 확인된 발행일입니다.
카테고리
화이트드림치과
원문 블로그 카테고리를 정리해 함께 표시합니다.
이미지 수
14
현재 아카이브에 연결된 이미지 수입니다.
아카이브 요약
화이트드림치과의원 서울 강남점의 네이버 블로그 원문을 보존한 아카이브 페이지입니다. 화이트드림치과 카테고리의 전체임플란트 식립 및 임플란트뼈이식 후기 글을 통해 병원의 한국어 정보 제공 방식과 진료 관련 안내 톤을 확인할 수 있습니다.
원문 검증
필요하면 원문 블로그와 병원 프로필로 바로 이동해 문맥을 다시 확인할 수 있습니다.
출처 아카이브 열기안녕하세요. 강남 화이트드림치과 대표원장 정수윤 입니다.
사람들은 누구나 치아 관리를 소홀히 하게 되면 충치 및 치주질환이 발생할 수 있는데요. 만약 이를 내버려 둔다면 자연치를 상실하거나 발치해야 하는 상황에 이를 수 있습니다. 이때 필요한 치료방법으로 브릿지, 틀니, 임플란트 등이 있는데요. 모든 시술에 부작용이 있을 수 있기 때문에 반드시 전문의와 충분한 상담 후 진행되어야 합니다.
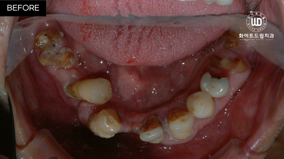
오늘 말씀드릴 환자분은 이전 케이스들과는 달리 보존된 치아는 많지만 전체적으로 흔들리는 등 상태가 좋지 않아 내원하셨다고 합니다.
해당 환자분은 전체발치 / 40대임플란트 / 전체임플란트식립 환자분이었습니다.


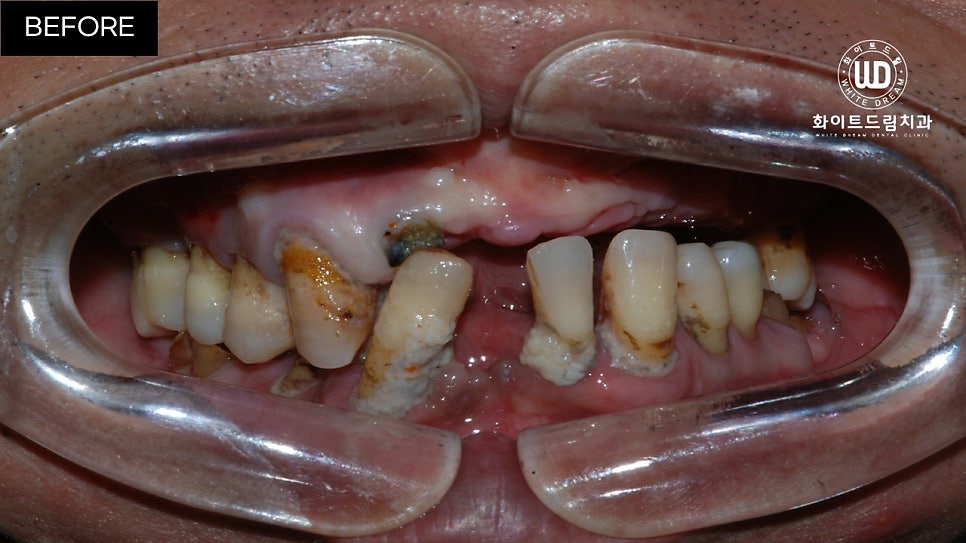
임플란트 식립 전 상, 하악 모습입니다.
육안으로 보이실지 모르겠으나 잔존한 치아 주위염이 심한 상태셨는데요. 뿐만 아니라 치아 파절과 함께 영구치의 뿌리 대부분이 손상되어 있는 상태였습니다.
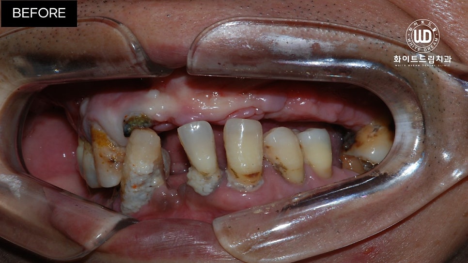
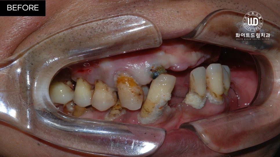
이미 발치되어 있는 쪽은 치아가 소실된지 오랜 시간이 지나 잇몸뼈가 부족한 상태였고, 현 상태로는 픽스쳐를 식립할 수 없어 전체 발치 후 상악 양측 구치부 상악동 거상술 및 전체 치조골 이식을 동반한 전체 임플란트 식립을 진행하기로 했습니다.

치아 발치 및 일부 픽스쳐가 식립된 모습입니다.
중간상태임을 감안하여도 픽스쳐가 고르게 식립된걸 확인할 수 있습니다.
임플란트 식립 전 뿌리조각이 남아있다면 뼈와 붙는 현상에 방해가 될 수 있습니다. 그렇기 때문에 임플란트 나사부분과 뼈가 단단하게 붙을 수 있도록 꼼꼼하게 전체 발치 후, 소량의 나사를 우선 식립 해드렸는데요.
주의사항을 잘 따라 주신 만큼 아무는 기간동안 별도 염증없이 잘 아물었습니다.


안정화 기간을 거쳐 골 유착도 검사를 해보니 알받은 결과가 나와 임플란트 보철 인상채득을 진행할 수 있었습니다.
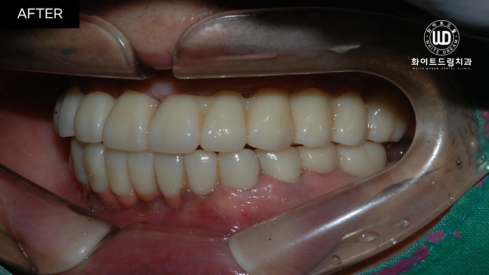
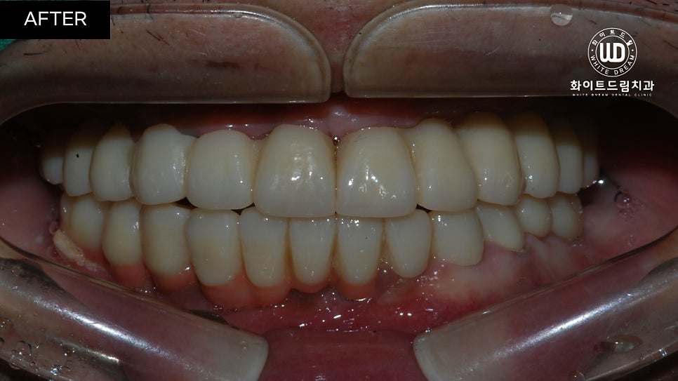
중간 지주대를 픽스처에 연결해주고 2주뒤 최종 보철물까지 올려주니 실제 치아와 비슷하게 기능적, 심미적으로 회복되었습니다.





진행한 치료 기간은 22년 6월부터 22년 12월까지 약 6개월 정도 소요되었습니다.
상악 2번 하악 1번 총 3번에 걸쳐 상악동 거상술과 뼈이식을 동반한 임플란트 식립을 진행했습니다. 그 후, 5개월 뒤 임플란트 보철 인상채득 후 2주 뒤에 보철을 마무리 해드렸습니다.


치아 정면 전/후 사진을 함께 살펴보면, 임플란트 식립 모양이 돔 형태로 예쁘게 이식된 것을 확인할 수 있습니다. 전체 임플란트는 교합면을 잘 선정하는 것이 중요합니다. 교합면은 자연치가 맞물리는 면으로, 너무 높으면 턱관절에 무리가 갈 수 있고 저작할 때 고르게 분산되지 않습니다.
반대로 너무 낮으면 구강 내부 혀나 볼을 씹어 상처가 나고, 턱 모양에도 영향을 끼칠 수 있기 때문에 정밀 검사 후 적절하게 식립하는 것이 좋습니다.
환자분께서 아직 젊은 나이임에도 불구하고 좋지 않은 치아상태로 인하여 자신감이 많이 하락하신 상태였는데, 씹는 힘은 물론 외적인 모습까지 복구가 되어 만족스러운 결과를 얻으셨습니다.
전체발치 및 전체 임플란트 식립은 사후관리가 필수인데, 현재까지 큰 불편함 없이 잘 사용하고 있다고 하셨으며, 정기적으로 검진 또한 잊지 않고 관리해주고 계십니다.
감사합니다.

