화이트드림치과의원 강남
임플란트 하기 전 알아보아야 할 것.
강남역 화이트드림치과의원은 7인의 의료진이 모두 전문의 자격을 가지고 있으며 300평대 쾌적한 진료공간을 갖추고 있습니다. (비용 확인하기) 강남역 10번출구 도보1분, BLOCK77빌딩에 위치하고 있습니다. 주소 서초구 서초대로77길 17, BLOCK77빌딩 5층, 화이트드림치과의원 전화번호 02-558-0037 주...
아카이브 요약
이 페이지의 역할
화이트드림치과의원 강남의 네이버 블로그 원문을 보존한 아카이브 페이지입니다. 진료정보 카테고리의 임플란트 하기 전 알아보아야 할 것. 글을 통해 병원의 한국어 정보 제공 방식과 진료 관련 안내 톤을 확인할 수 있습니다.
강남역 화이트드림치과의원은 7인의 의료진이 모두 전문의 자격을 가지고 있으며 300평대 쾌적한 진료공간을 갖추고 있습니다.
(비용 확인하기)

강남역 10번출구 도보1분, BLOCK77빌딩에 위치하고 있습니다.

주소
서초구 서초대로77길 17,
BLOCK77빌딩 5층, 화이트드림치과의원
전화번호
02-558-0037
주차장
지하3층~지하5층/자주식주차장
*자연치의 상실로 인한 우리 일상의 불편함은 감히 헤아릴 수가 없습니다. 임플란트는 자연치의 상실로 인한 치아의 기능성, 심미성을 회복 시켜주는 치료입니다.
7인의 의료진 모두,
전문의 자격을 가지고 있습니다.
화이트드림치과의 모든 의료진은 전문의자격을 가지고 있어 치료의 정확성을 높이기 위해 노력하고 있습니다.

화이트드림의 전문의료진들은 매일
다수(多數)의 임플란트를 식립하고 있습니다.

임플란트에 대한 높은 이해도와 풍부한 경험을 통해 안정된 결과 내고자 합니다. 치료의 결과에 대한 불안감을 덜어드리고자 전문의들이 언제나 충분한 설명과 함께 치료를 진행합니다.
-합리적 치료비용
-안정성이 확보된 제조사의 재료
-7인 의료진 전문의 자격
-넓어진 사후관리 보장
임플란트를 통해 삶의 질을 회복해 보시기 바랍니다.
디지털 구강스캐너를 통해
치아의 정보를 얻습니다.

기존의 복잡했던 과정을 스캔 한번으로
몇 분안에 내 치아의 정보를 디지털 정보로 변환, 기존 인상채득 방식의 불편함은 줄이고 정확한 치아의 상태를 파악할 수 있습니다.
+환자에게 편안함을 의료진에게는 정확한 진단과 복잡한 치료과정을 간소화 시켜주는데 도움을 줍니다.



iTero 디지털 구강스캐너
단 몇분안에 환자의 치아를 디지털 데이터로 변환합니다.



기존의 인상채득 방식(본뜨기)
구강스캐너가 없다면 위와 같은 과정을 거칩니다.
네비게이션 방식을 이용하여,
정확한 길을 찾아줍니다.


네비게이션 임플란트는 최소 절개 수술로 과다 출혈 2차 감염으로 인한 혈압 상승 등의 위험을 줄여 당뇨, 고혈압 등 전신질환 환자에게도 적용될 수 있는 방법입니다.
'수면마취 임플란트'

치과 수면마취로 잘 알려진 '의식하진정법'은 말그대로 깊은 잠에 빠지는 것은 아니며 공포감과 긴장감을 줄여주고 가수면 상태를 유지하여 불편함을 줄여줍니다.
의식하진정요법에 사용되는 약제는 '미다졸람'입니다.
효과는 진정, 수면유도, 항경련, 근이완, 기억상실 등이 있습니다. 흔히 알고 있는 프로포폴과 비교하 안전한 약제이지만, 급성 섬망, 과진정, 호흡억제, 심혈관 수축 등의 부작용이 나타날 수 있어 사용 시 주의가 필요합니다.
특히 노약자의 경우 적은 용량에도 민감하게 반응할 수 있기 때문에 우선적으로 수면 치료가 가능한 상태인지 고려하여, 의료진과 충분히 상의 후 시행 여부를 결정하는 것을 권장합니다.
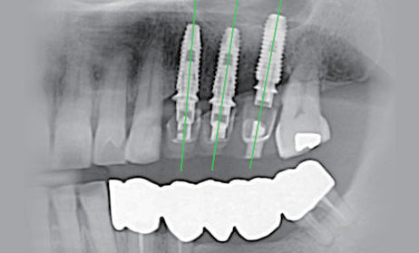
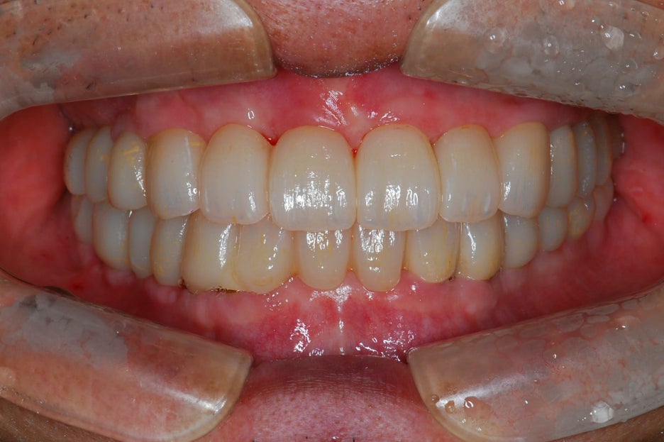
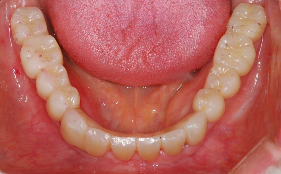
무치악환자를 위한 전악임플란트
전악임플란트 중점 치료



<참고이미지> 무치악 환자의 임플란트 치료 사례 / 환자에 따라 치료결과는 다를 수 있으며 임플란트 주위염 등이 발생할 수 있습니다.
무치악 환자에게 적용시 치아의 기능을 일정수준으로 회복할 수 있는 치료입니다.
<치료의 이해를 돕기위한 참고이미지>


20.09.19 경과체크 / 무치악 임플란트 치료 / 환자에 따라 치료결과는 다를 수 있으며 임플란트 주위염 등의 부작용이 발생할 수 있습니다.
기능의 회복은 물론 심미적인 목적도 충족 시킬 수 입니다.
치아의 상태와 잇몸뼈 상태를 고려한 식립
필요한 개수만큼 식립하여 경제적으로 치료 받을 수 있습니다.

임플란트 비용은?
임플란트는 제조사와 치과에 따라서 가격이 천차만별인 진료에 속합니다.
국내 임플란트 제조사의 퀄리티가 안정적이기 때문에 많은 치과에서 국산 임플란트를 사용하고 있습니다.

다양한 임플란트 제조사
국산 제조사 임플란트 기준, 1개당 60~150만원 사이로 책정이 되어 있습니다.
*일반적으로 뼈이식, 상악동거상술 필요할 시에는 비용이 추가됩니다.
화이트드림치과 강남점
임플란트 가격안내
국산임플란트 35만원
전체임플란트 400만원(악당)
*비급여진료에한함
*전문의 전담치료
초기고정력이 향상된 임플란트의 사용

출처 : 오스템soi홍보물, 2020년 산업통상자원부 주최 대한민국 기술대상 국무총리상
실험의도 : 토끼의 혈액에 임플란트를 10분간 담지한 뒤 임플란트와 혈액의 반응을 확인
오스템SOI를 담가놓은 쪽의 혈병(피떡)이 빠르게 형성되어 임플란트의 표면에 엉겨붙는 것을 확인할 수 있습니다.
*오스템 UV 임플란트(SOI등급) 장점
-표면 소독 및 살균 작용
-초친수성 표면
-우수한 골형성 능력
-고정력 향상
맞춤형 지대주를 통한 임플란트

맞춤형태의 어버트먼트
잇몸의 형태에 맞지않는 임플란트를 진행할 경우, 잇몸과 치아 사이의 빈공간에 음식물이 자주 끼게 되고 해당부위에 염증이 발생하여 임플란트의 수명에 영향을 끼칠 수 있습니다.
*가공장비를 통해 원내제작
지르코니아로
임플란트를 제작합니다.

지르코니아 소재
지르코니아 소재는 내구성을 자랑하며 심미적인 특징을 가지고 있습니다.
*가공장비를 통해 원내제작
CT를 이용한 진단

CT를 통해 구강 전반은 물론 얼굴뼈 부위까지 광범위한 진단을 통해서 육안으로는 파악이 불가한 부분까지 볼 수 있습니다.
구강내의 구조나 뼈의 양, 상악동 수술여부 등 다양한 부분을 체크할 수 있어 의료진이 올바른 진단을 내리는데 도움을 줍니다.


CT진단을 활용하여 구강상태를 면밀하게 살펴보고 임플란트를 식립합니다.
세렉(CEREC)을 통한
보철 제작

출처 : dentsply sirona
치과용 캐드캠을 활용해 구강 내를 스캔, 치아의 모델링 등 작업을 거쳐 세렉을 통해 강화세라믹을 밀링합니다.
세렉을 통해 오차를 줄인 보철물 제작과 치료과정이 케이스에 따라서는 하루안에도 가능합니다.

원내 기공실에서 보철물을 제작합니다.
외부의 치과기공소에 보철 제작의뢰를 하지 않고 원내에서 직접 보철물을 제작하고 있습니다.

화이트드림치과의원은 원내의 기공실을 통해 보철물을 제작합니다.
만65세 이상이라면 30%의 본인부담금으로 평생 2개까지

확대된 보험 임플란트 본인부담률을 통해 평생 2개의 개수까지 합리적인 임플란트 식립을 받을 수 있습니다.
본인부담금 확대를 통해 약37만원 수준으로 치료를 받아보실 수 있습니다.
화이트드림치과의원을
미리 둘러보세요.







Previous image Next image
강남역에서 보기 드문
편리한 주차환경


지하 3층~지하5층에는 자주식 주차장이 마련되어 있습니다. 내원시, 편안하게 주차하고 방문하실 수 있습니다.

| UV임플란트 35만원UV전체임플란트 400만원(악당)*비급여진료에한함 |





더 보기
이 병원의 공개 콘텐츠를 계속 살펴보세요
출처 아카이브로 돌아가 더 많은 글을 보거나, 병원 프로필로 이동해 다른 공개 채널도 함께 비교해보세요.