아카이브 요약
이 페이지의 역할
화이트드림치과의원 서울 강남점의 네이버 블로그 원문을 보존한 아카이브 페이지입니다. 진료정보 카테고리의 강남역 주변 치과 "10년 된 앞니가 변색됐어요" 앞니 심미 치료 글을 통해 병원의 한국어 정보 제공 방식과 진료 관련 안내 톤을 확인할 수 있습니다.
원문 검증
필요하면 원문 블로그와 병원 프로필로 바로 이동해 문맥을 다시 확인할 수 있습니다.
출처 아카이브 열기아카이브된 블로그 글
화이트드림치과의원 서울 강남점 · 강남화이트드림치과의원
강남역 주변 치과 "10년 된 앞니가 변색됐어요" 앞니 심미 치료 다들 꺼리는 어려운 치료, 강남 화이트드림치과는 잘합니다. 안녕하세요. 25,883건에 달하는 진료의뢰 case를 보유하고 있는 (23.12 기준) #강남역주변치과 #강남화이트드림치과 입니다. 오늘은 신경치료 후 치아 변색에...
게시일
2024년 5월 24일
원문 기준으로 확인된 발행일입니다.
카테고리
진료정보
원문 블로그 카테고리를 정리해 함께 표시합니다.
이미지 수
16
현재 아카이브에 연결된 이미지 수입니다.
아카이브 요약
화이트드림치과의원 서울 강남점의 네이버 블로그 원문을 보존한 아카이브 페이지입니다. 진료정보 카테고리의 강남역 주변 치과 "10년 된 앞니가 변색됐어요" 앞니 심미 치료 글을 통해 병원의 한국어 정보 제공 방식과 진료 관련 안내 톤을 확인할 수 있습니다.
원문 검증
필요하면 원문 블로그와 병원 프로필로 바로 이동해 문맥을 다시 확인할 수 있습니다.
출처 아카이브 열기다들 꺼리는 어려운 치료, 강남 화이트드림치과는 잘합니다.
안녕하세요.
25,883건에 달하는 진료의뢰 case를 보유하고 있는
(23.12 기준)
#강남역주변치과 #강남화이트드림치과 입니다.

오늘은 신경치료 후 치아 변색에 대해서 이야기를 해보려 합니다.
10년 전에 신경치료를 받았는데 치아색이 점점 변해요.
라는 주소로 저희 강남역 주변 치과, 강남 화이트드림치과를 찾아주신 환자분입니다.
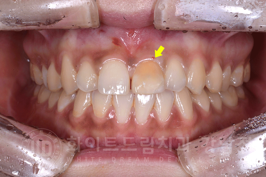
환자분의 구내 사진입니다.

앞니 변색으로 강남역 주변 치과를 찾아주신 환자분의 초기 구내 사진입니다.
신경치료를 받은 치아는 시간이 지나면서 점점 치아색이 변색됩니다.
환자분처럼 눈에 잘 보이는 앞니가 변색이 되면,
다들 내 앞니만 보는 것 같고, 자신감이 떨어지면서 소극적으로 변하게 되는데요.


왜, 신경치료 후 변색이 나타날까요?
치아의 신경관, 즉 치수는 신경과 혈관으로 구성이 되어 있습니다.
치아 뿌리 염증, 충치, 외상으로 인한 파절 등 여러 원인에 의해서 앞니에 손상을 입게 되면 신경치료를 진행하게 되는데요.

이 신경치료는 신경관 내부의 신경을 소독하고 제거하는 치료입니다.
신경치료 후 내부에 남아있던 적혈구들이 시간이 지나면서 변색되기 시작하는데, 이게 치아 겉으로 비치는 것이랍니다.
이 외에도 아말감 코어를 사용하여 치아색이 어둡게 변할 수 있는데
예전에는 아말감 코어를 많이 사용했지만, 요즘은 심미적인 목적도 있고 신체에 좋지 않다는 인식으로 사용하지 않는 재료랍니다.
이렇게 앞니가 변색되면 개선할 수 있는 방법은 세 가지가 있는데요.
크라운
실활치미백
실활치미백과 크라운치료를 둘 다 진행
이번 환자분은 2번에 대항하는 치료 케이스입니다.
환자분의 x-ray 사진입니다.
기존 신경 치료 상태를 확인하는 과정인데요.

치근단 부위에 염증도 없고 특별히 불편한 증상은 없다고 하셔서 신경치료를 진행하지 않고 크라운 치료에 들어갔습니다.
환자분은 이번 앞니 변색을 치료하면서 심미치료를 함께 진행하길 원하셨는데요.
앞니 벌어진 증상과 토끼 앞니도 같이 치료할 수 있나요?
하는 김에 같이 하려구요.
환자분의 구외 사진을 보면 대문니 2개가 유난히 큰 토끼 앞니 양상입니다.

21번 치아를 크라운치료하면서, 11번 치아도 라미네이트를 함께 진행하여 심미적인 부분을 개선하기로 했습니다.
11번 치아 라미네이트와 21번 치아 크라운을 부착하기 전 자연치 상태입니다.
라미네이트는 크라운에 비해서 훨씬 치아 삭제량이 적죠?


21번 치아는 치아 삭제 후 심미성을 위해 레진 코어로 치아 모양을 만들어 놓은 상태입니다.
보다 예쁜 앞니 모양을 위해 잇몸성형을 조금 동반한 후 보철을 부착했습니다.
변색은 물론, 토끼 앞니 & 벌어진 앞니 형태도 모두 함께 개선되었습니다.


동일 인물이며, 동일 환경에서 촬영되었습니다.
*기간 : 23.09.11 - 23.09.26
본원의 앞니 보철은 모두 원내 기공실에서 직접 제작이 됩니다.
3D 구강 스캐너를 이용하여 환자분의 구강 내부를 꼼꼼하게 스캔하고
이 데이터를 실시간으로 기공실에서 확인하고 보철물 디자인에 들어가게 됩니다.
그리고 원내 밀링머신으로 바로 출력을 진행하여, 빠르게 보철 제작이 가능하답니다.


강남역 주변 치과, 강남 화이트드림치과 원내 기공실
기공실이 원내에 있기에 보철 제작에 대해 치료를 진행하는 의료진과 상의하며 제작까지 가능하답니다.
또한, 기공소장이 환자분과 상의하며 보철을 제작하기도 하기에
환자분의 보철 만족도가 굉장히 높답니다. ^^


동일 인물이며, 동일 환경에서 촬영되었습니다.
*기간 : 23.09.11 - 23.09.26
신경치료 후 변색 부위를 이렇게 레진으로 채워서 크라운으로 치료하면
신경 쓰였던 변색도 개선하며 예쁜 색상으로 치료를 할 수 있답니다. ^^
눈에 잘 보이는 앞니가 어느 날부터 거뭇거뭇하게 변하는 것이 보이시나요?
웃거나 말할 때, 사진 찍을 때 변색치아가 너무 신경 쓰이신다면
강남역 주변 치과, 강남 화이트드림치과로 언제든 문의주시기 바랍니다. ^^
강남 화이트드림치과 📞02-558-0037
환자분에게 제일 잘 맞는 치료 방법에 대해서 오늘도 고민하는 강남 화이트드림치과 입니다.
네이버 실시간 예약을 이용하시면 더욱 편안한 진료 예약이 가능합니다. ^^
