아카이브 요약
이 페이지의 역할
화이트드림치과의원 서울 강남점의 네이버 블로그 원문을 보존한 아카이브 페이지입니다. 진료정보 카테고리의 강남역 전체임플란트 치과 "치아가 심하게 흔들려요." 심한 치주염 임플란트 치료 글을 통해 병원의 한국어 정보 제공 방식과 진료 관련 안내 톤을 확인할 수 있습니다.
원문 검증
필요하면 원문 블로그와 병원 프로필로 바로 이동해 문맥을 다시 확인할 수 있습니다.
출처 아카이브 열기아카이브된 블로그 글
화이트드림치과의원 서울 강남점 · 강남화이트드림치과의원
강남역 전체임플란트 치과 "치아가 심하게 흔들려요." 심한 치주염 임플란트 치료 다들 꺼리는 어려운 치료, 강남 화이트드림치과는 잘합니다. 안녕하세요. 25,883건에 달하는 진료의뢰 case를 보유하고 있는 (23.12 기준) #강남역전체임플란트치과 #강남화이트드림치과 입니다. 잇몸에서 피,...
게시일
2024년 5월 25일
원문 기준으로 확인된 발행일입니다.
카테고리
진료정보
원문 블로그 카테고리를 정리해 함께 표시합니다.
이미지 수
25
현재 아카이브에 연결된 이미지 수입니다.
아카이브 요약
화이트드림치과의원 서울 강남점의 네이버 블로그 원문을 보존한 아카이브 페이지입니다. 진료정보 카테고리의 강남역 전체임플란트 치과 "치아가 심하게 흔들려요." 심한 치주염 임플란트 치료 글을 통해 병원의 한국어 정보 제공 방식과 진료 관련 안내 톤을 확인할 수 있습니다.
원문 검증
필요하면 원문 블로그와 병원 프로필로 바로 이동해 문맥을 다시 확인할 수 있습니다.
출처 아카이브 열기다들 꺼리는 어려운 치료, 강남 화이트드림치과는 잘합니다.
안녕하세요.
25,883건에 달하는 진료의뢰 case를 보유하고 있는
(23.12 기준)
#강남역전체임플란트치과 #강남화이트드림치과 입니다.

잇몸에서 피, 고름이 나오거나 통증이 있으면
잇몸약을 구매해 복용하시는 분들이 계십니다.
이 잇몸 약도 여러 방면에서 도움이 될 수는 있겠지만, 근본적인 잇몸질환의 원인을 제거하는 것은 아니기 때문에
잇몸이 붓거나 피가 나는 등, 통증이 느껴지신다면 치과로 오셔서
해당 증상에 맞는 치료를 받으시는 것이 좋습니다.
잇몸질환의 주된 원인은 '치석'이기 때문에, 질환의 원인을 제거해야 차차 나아질 수 있기 때문입니다.

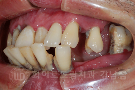
오늘 내원하신 환자분은 치과를 오랜 기간 오지 못하시고 잇몸 약만 오랜 기간 복용을 하신 분인데요.
구강 사진을 보면, 구강 내 치석이 많이 위치하고 있는 것이 보입니다.
초기 치석은 눈에 보이는 잇몸 위쪽으로 자리를 잡다 점점 잇몸 안쪽 즉, 치아 뿌리 부근까지 번지게 됩니다.
그럼, 치석으로 인해 생긴 염증이 잇몸뼈를 녹이기 때문에 치주염이 심하면 이렇게 앞니가 전방으로 돌출되게 됩니다.
잇몸뼈가 치아를 단단하게 잡아줄 수 없기 때문이죠.

그래서 정기적으로 1년에 한 번씩 치과에 오셔서 잇몸 위쪽에 있는 치석을 제거하는 스케일링 진료를 받는 것이랍니다.
환자분의 x-ray를 보면 대다수의 치아가 없는 상태이고,
그나마 남아있는 치아들도 쓰러져있거나 치아 뿌리만 잇몸뼈에 겨우 매달려있는 상태였습니다.

치주염이 굉장히 심한 상태여서 살릴 수 있는 치아는 없었기에
전악 발치 후 전체 임플란트 치료를 진행하기로 했습니다.
환자분의 남아있던 치아들을 모두 발치한 사진입니다.
치아 뿌리 주변에 거뭇거뭇하게 치석들이 굉장히 많이 있는 것이 보이시나요?

이렇게 치아 부분까지, 잇몸 안쪽에 위치해있는 치석을 '치은연하치석'이라고 합니다.
치주염을 유발하는 주된 원인들이죠.
한 번에 모든 모든 치아에 임플란트를 식립하면 회복 기간 동안 식사가 불가능하기 때문에
순으로 진행하기로 나누어 진행하기로 했습니다.

▲ 전악 발치 후 환자분 x-ray 사진입니다. (17.06.03)
1), 2) 상악 치조골은 임플란트를 심기에 뼈의 양이 많이 모자란 상태이기 때문에
뺨 쪽 잇몸에 작은 창을 내어 대량의 뼈이식을 진행하는 lateral 상악동 거상술을 이용하여 진행하기로 했습니다.

일반적으로 진행하는 crestal 방식보다는 붓기나 출혈, 통증이 조금 더 있을 수 있지만
한 번의 수술로 대량의 뼈이식재를 넣을 수 있다는 장점을 가지고 있습니다.

환자분이 멀리 경기도에서 내원을 하시기 때문에
치료 기간과 내원 횟수를 줄이는 것이 주된 목표였는데요.
초기 임플란트를 식립하고 고정력이 좋은 임플란트들은 모두
1차 + 2차 수술을 같이 진행했습니다.




▲ 노란색으로 표기된 부분이 1+2차 수술을 동시 진행한 임플란트입니다. (상악)
1차 수술은 임플란트를 잇몸뼈 안에 심는 것이고,
2차 수술은 보철을 부착할 수 있도록 잇몸 밖으로 꺼내는 술식입니다.
이 1차, 2차 수술을 동시에 진행하면, 따로 2차 수술을 진행할 필요가 없기 때문에
기간과 내원 횟수가 줄어드는 장점을 가지고 있죠.


▲ 노란색으로 표기된 부분이 1+2차 수술을 동시 진행한 임플란트입니다. (하악)
상악동 거상술을 진행한 부위를 제외하고 거의 모든 임플란트를 이 방식으로 진행했습니다.
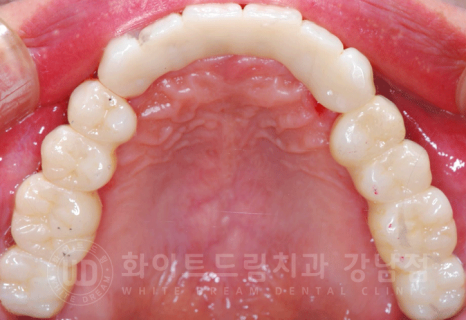
총 치료 기간 2017.06.03 - 2018.02.21 8개월 소요.


동일 인물이며 동일 환경에서 촬영되었습니다.
총 치료 기간 2017.06.03 - 2018.02.21 8개월 소요.
전악 임플란트는 낮아진 교합을 다시 설정하는 교합 거상술이 필요하기 때문에
보통 1년 정도의 기간을 두고 치료를 진행합니다.
치주염이 심해 거의 모든 잇몸뼈에 염증이 있는 상태였는데
3D CT를 통해 단단한 잇몸뼈 부위를 찾아 식립했으며, 1년 이내의 치료 기간이 소요되었습니다. ^^




동일 인물이며 동일 환경에서 촬영되었습니다.
총 치료 기간 2017.06.03 - 2018.02.21 8개월 소요.
환자분도 치료 기간 내내 적극적인 협조를 해주셔서 보다 빠르게 치료가 완료된 것 같습니다.
※ 환자분의 모든 치료 과정은 정수윤 대표원장님이 직접 진행한 케이스입니다.
현재까지도 사후관리를 원장님이 직접 진행해 주고 계시답니다. ^^




동일 인물이며 동일 환경에서 촬영되었습니다.
총 치료 기간 2017.06.03 - 2018.02.21 8개월 소요.
치주염이 심해 치아가 흔들거리시나요?
임플란트를 알아보고 있지만 긴 치료 기간이 치료를 머뭇거리게 하시나요?
2024년 5월 기준, 임플란트 누적 120,000건에 달하는 식립 경험을 지닌
강남 화이트드림치과로 궁금하신 점은 언제든지 문의주시기 바랍니다. ^^
강남 화이트드림치과 📞 02-558-0037
