아카이브 요약
이 페이지의 역할
화이트드림치과의원 서울 강남점의 네이버 블로그 원문을 보존한 아카이브 페이지입니다. 진료정보 카테고리의 강남역 앞니라미네이트 "틀어진 토끼 앞니 빠르게 개선" 강남역 라미네이트 치과 글을 통해 병원의 한국어 정보 제공 방식과 진료 관련 안내 톤을 확인할 수 있습니다.
원문 검증
필요하면 원문 블로그와 병원 프로필로 바로 이동해 문맥을 다시 확인할 수 있습니다.
출처 아카이브 열기아카이브된 블로그 글
화이트드림치과의원 서울 강남점 · 강남화이트드림치과의원
강남역 앞니라미네이트 "틀어진 토끼 앞니 빠르게 개선" 강남역 라미네이트 치과 다들 꺼리는 어려운 치료, 강남 화이트드림치과는 잘합니다. 안녕하세요. 25,883건에 달하는 고난도 진료의뢰 case를 보유하고 있는 (23.12 기준) #강남역앞니라미네이트 #강남역화이트드림치과 입니다. 앞니가 틀어지거...
게시일
2024년 5월 26일
원문 기준으로 확인된 발행일입니다.
카테고리
진료정보
원문 블로그 카테고리를 정리해 함께 표시합니다.
이미지 수
12
현재 아카이브에 연결된 이미지 수입니다.
아카이브 요약
화이트드림치과의원 서울 강남점의 네이버 블로그 원문을 보존한 아카이브 페이지입니다. 진료정보 카테고리의 강남역 앞니라미네이트 "틀어진 토끼 앞니 빠르게 개선" 강남역 라미네이트 치과 글을 통해 병원의 한국어 정보 제공 방식과 진료 관련 안내 톤을 확인할 수 있습니다.
원문 검증
필요하면 원문 블로그와 병원 프로필로 바로 이동해 문맥을 다시 확인할 수 있습니다.
출처 아카이브 열기다들 꺼리는 어려운 치료, 강남 화이트드림치과는 잘합니다.
안녕하세요.
25,883건에 달하는 고난도 진료의뢰 case를 보유하고 있는
(23.12 기준)
#강남역앞니라미네이트 #강남역화이트드림치과 입니다.
앞니가 틀어지거나 삐뚤어져있으면 음식물이 자주 끼는 불편함은 물론
대인관계 시에도 계속 신경이 쓰이기 마련인데요.
반듯하고 고른 치아는 상대방에서 깔끔하고 세련된 인상을 주기 때문에
틀어진 치아로 인해 스트레스 받으시는 분들 많으실 겁니다.
오늘은 틀어진 치아를 상/하 8개의 라미네이트를 통해 개선된 사례에 대해 이야기를 해보려 합니다.

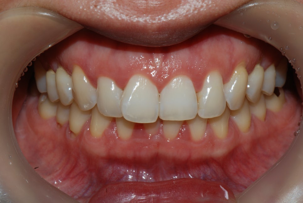
강남역 앞니라미네이트 치료 전
제주도에서 본원의 라미네이트 진료를 받기 위해 비행기를 타고 내원해 주신 분입니다.
앞니가 틀어져서 계속 신경 쓰여요. 치아 색도 누런데 밝게 하고 싶어요.

11번 앞니의 틀어짐이 심하신 상태였고, 치아색을 새하얗게 하고 싶다고 하셨습니다.
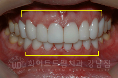
초기에 환자분은 상/하 5개씩 하기를 원하셨으나
웃을 때 입꼬리가 꺾이는 미소라인을 가지신 분이셔서 상/하 개씩 하시기를 권해드렸습니다.
웃거나 말할 때 소구치까지는 보이지 않기 때문입니다.
치료 후 지내보시다가 정말 너무 신경이 많이 쓰인다 하시면 그때 하시기를 권해드렸죠.

▲ 환자분의 치료 후 x-ray 사진입니다.
자연치아를 최대한 적게 삭제하여 진행하였고, 신경관 노출도 되지 않아 신경치료 없이 자연스럽게 마무리가 되었습니다.
당일 보철 부착을 말씀드렸는데, 환자분의 개인적인 시간상 불가능하여
일주일 뒤 다시 내원하셔서 최종 라미네이트를 부착하고 치료는 종료되었습니다.


동일 인물이며, 동일 환경에서 촬영되었습니다. /강남역 앞니라미네이트
총 치료 기간 : 23.06.08 - 23.06.16
라미네이트는
환자분의 주변 치아 모양은 물론
색상까지 고려하여 맞춤 제작될 수 있기에
자연스럽고 일관된 치아 모양을 만들 수 있습니다.
또한, 환자분이 조금 신경 써서 관리를 해주신다면 오랜 시간 지속될 수도 있죠.


동일 인물이며, 동일 환경에서 촬영되었습니다.
총 치료 기간 : 23.06.08 - 23.06.16
라미네이트는 치아의 겉면을 삭제하고 진행되는 과정이 있기 때문에
과도하게 깎아낼 경우는 부작용이 발생할 수 있고 시린 증상이 동반될 수 있습니다.
우리 치아는 한번 손상되면 다시 재생되지 않는 부위이기 때문에,
이러한 장/단점을 충분히 고려하여 진료 상담을 해줌은 물론
의료진이 개인의 구강상태에 대해 알맞은 치료 방법을 제시해 주는 치과를 선택하시는 것이 좋습니다.

▲ 강남 화이트드림치과 정수윤대표원장님.
환자분의 라미네이트 치료도, 대표원장님이 직접 진행하셨습니다.
저희 강남 화이트드림치과는
많은 양의 치아삭제나 부작용이 우려되는 상황에서는 치료를 권해드리지 않습니다.
본원은 자연치아와 유사하게 만드는 것이 아니라
이질감 없이 자연스러운 치아 표면을 만들기 위해 매일매일 연구하고 노력하고 있습니다.

라미네이트 제작 20년의 경력으로 치아와 잇몸이 만나는 마진 부위도 빈틈없이 자연스럽도록
환자분의 구강 내부에 맞추어 라미네이트 보철을 제작하고 있죠.

앞니만으로도 인상이나 이미지는 크게 바뀔 수 있습니다.
개인마다 각기 다른 개성과 비율, 얼굴형, 잇몸 / 입술 라인을 모두 고려하여 진행되고 있으니
삐뚤고 틀어진 치아가 고민이시라면, 저희 강남 화이트드림치과로 문의하시기 바랍니다. ^^

환자분에게 해가 되는 진료는 절대 권하지도 진행하지도 않습니다.
앞니 고민?
강남역 앞니라미네이트 치과에서 상담부터 시작해 보시기 바랍니다. ^^
강남역 앞니라미네이트 문의 📞 02-558-0037
네이버 실시간 예약을 이용하시면 보다 편안하게 진료 예약이 가능합니다.
