화이트드림치과의원 강남
강남역 심미치과 "치아 하나가 유난히 작아요" #왜소치라미네이트
#강남역심미치과 "치아 하나가 유난히 작아요" #왜소치라미네이트 다들 꺼리는 어려운 치료, 강남 화이트드림치과는 잘합니다. 안녕하세요. 25,883건에 달하는 진료의뢰 CASE를 보유하고 있는 (23.12 기준) #강남역심미치과 #강남화이트드림치과입니다. 오늘은 왜소치 라미네이트 치료에 대해서 이...
아카이브 요약
이 페이지의 역할
화이트드림치과의원 강남의 네이버 블로그 원문을 보존한 아카이브 페이지입니다. 진료정보 카테고리의 강남역 심미치과 "치아 하나가 유난히 작아요" #왜소치라미네이트 글을 통해 병원의 한국어 정보 제공 방식과 진료 관련 안내 톤을 확인할 수 있습니다.
#강남역심미치과 "치아 하나가 유난히 작아요" #왜소치라미네이트
다들 꺼리는 어려운 치료, 강남 화이트드림치과는 잘합니다.
안녕하세요.
25,883건에 달하는 진료의뢰 CASE를 보유하고 있는
(23.12 기준)
#강남역심미치과 #강남화이트드림치과입니다.
오늘은 왜소치 라미네이트 치료에 대해서 이야기를 해보려 합니다. ^^

치료 전, 구외 왜소치 상태
왜소치 라고 불리는 치아는 어떤 치아일까요?
보통 제일 큰 앞니 옆 치아 즉, 측절치에서 많이 보이는 왜소치는 다른 치아들에 비해서 크기가 유난히 작은 치아를 말합니다.
공통적인 특징으로는 치아 끝이 이렇게 뾰족하고 치아 크기가 눈에 띄게 작죠.

왜소치는 왜 발생할까요?
왜소치는 유전적인 영향이 큽니다.
부모님 중 한 분이 왜소치를 가지고 있으면 자녀도 왜소치를 가질 확률이 크죠.
그 외에도 치아 형성 과정에서 발생한 문제, 태아일 때 받았던 영양공급의 문제 등으로 볼 수 있답니다.

왜소치 치료 방법은?
왜소치는 보통 레진이나 보철로 치료를 합니다.
레진 치료는 라미네이트에 비해서 예쁘게 제작되지 않을뿐더러 변색이나 파절 등의 위험이 있기 때문에
대부분 라미네이트를 이용하여 왜소치 부분을 개선하는 경우가 많습니다.
라미네이트로 왜소치를 치료할 경우 치아삭제가 전혀 없는 무삭제로 가능하기 때문입니다.


왜소치라미네이트, 강남역 심미치과
동일 인물이며, 동일 환경에서 촬영되었습니다.
기간 : 23.12.12 - 23.12.19
치열이 삐뚤은 상태에서 왜소치가 있다면, 전체적인 치아교정 후 왜소치 부분은 보철치료를 진행하는 것이 좋지만
환자분처럼 치열이 좋은 경우는 따로 교정치료 없이 바로 왜소치 치료가 가능하답니다.
당일 라미네이트 치료도 가능하지만, 환자분은 오후 늦게 내원을 해주셨기 때문에 일주일 후 최종 보철을 부착했습니다.
왜소치는 치아를 거의 삭제하지 않고 진행하는데요.
환자분의 라미네이트 부착전 사진을 보면 치아가 거의 삭제되지 않았음을 확인하실 수 있습니다.

초진 사진과 비교해 보면, 치아 삭제량이 거의 없으며 라미네이트의 접착력을 높이기 위해 표면을 살짝 다듬는
에나멜 쉐이핑 정도만 진행했답니다.
왜소치 치아를 자세히 보면, 치아와 잇몸 부분에 검은색 선 같은 게 보이실 텐데요.
잇몸 마진 부분을 보다 면밀하게 확인하고 인상채득을 하기 위해 검은 실을 넣은 것이랍니다.
이는 진료가 끝나면 제거하니 너무 걱정하지 않으셔도 된답니다.

왜소치가 많이 발생하는 측절치는 씹는 능력이 그렇게 큰 치아가 아닙니다.
왜소치가 크게 신경 쓰이지 않는다면 다른 치아들처럼 관리만 잘해주시면 되지만,
왜소치로 인해 심미적인 스트레를 많이 받으신다면 간단하게 치료가 가능하니
강남역 심미치과에 오셔서 개선을 하시는 것도 좋답니다. ^^


왜소치라미네이트, 강남역 심미치과
동일 인물이며, 동일 환경에서 촬영되었습니다.
기간 : 23.12.12 - 23.12.19
환자분은 웃거나 미소를 지을 때마다 왜소치로 인해 치열이 삐뚤어 보이기도 하고
눈에 확 띄는 빈 공간이 너무 신경 쓰이셔서 치료를 결심하셨다고 했습니다.
왜소치 때문에 자꾸 입으로 손을 가리는 습관이 생기면서 대인관계에서도 소극적으로 변하는 것 같다고 하셨습니다.

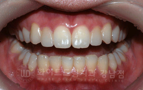
왜소치라미네이트, 강남역 심미치과
동일 인물이며, 동일 환경에서 촬영되었습니다.
기간 : 23.12.12 - 23.12.19
치료 후 미소라인이 더욱 가지런해진 것이 보입니다. ^^
전치부 라미네이트를 전체 진행한 것도 아니고 왜소치 부분만 진행을 했는데도 변화가 크게 확인되죠?


왜소치라미네이트, 강남역 심미치과
동일 인물이며, 동일 환경에서 촬영되었습니다.
기간 : 23.12.12 - 23.12.19
치아 삭제도 없이 빠르게 콤플렉스를 개선할 수 있는 왜소치 라미네이트!
강남역 심미치과에서 상담부터 천천히 시작해 보시기 바랍니다. ^^
당일 라미네이트 진료를 원하실 경우 사전에 예약 후 내원해 주셔야 하는 점 참고해 주시기 바랍니다.
강남역 심미치과, 왜소치라미네이트 치료 문의
📞 02-558-0037

더 보기
이 병원의 공개 콘텐츠를 계속 살펴보세요
출처 아카이브로 돌아가 더 많은 글을 보거나, 병원 프로필로 이동해 다른 공개 채널도 함께 비교해보세요.