화이트드림치과의원 강남
강남역 인근 치과 / 테트라사이클린(tetracycline) 치아 변색 / 라미네이트로 개선!
강남역 인근 치과 / 테트라사이클린(tetracycline) 치아 변색 / 라미네이트로 개선! 다들 꺼리는 어려운 치료, 강남 화이트드림치과는 잘합니다. 안녕하세요. 25,883건에 달하는 진료 의뢰 case를 보유하고 있는 (23.12 기준) #강남역인근치과 #강남화이트드림치과 입니다. 강남역...
아카이브 요약
이 페이지의 역할
화이트드림치과의원 강남의 네이버 블로그 원문을 보존한 아카이브 페이지입니다. 진료정보 카테고리의 강남역 인근 치과 / 테트라사이클린(tetracycline) 치아 변색 / 라미네이트로 개선! 글을 통해 병원의 한국어 정보 제공 방식과 진료 관련 안내 톤을 확인할 수 있습니다.
다들 꺼리는 어려운 치료, 강남 화이트드림치과는 잘합니다.
안녕하세요.
25,883건에 달하는 진료 의뢰 case를 보유하고 있는
(23.12 기준)
#강남역인근치과 #강남화이트드림치과 입니다.

강남역 인근 치과, 강남 화이트드림치과 정수윤 대표원장님
이번 치료 사례는 대표원장님이 직접 진행하신 사례입니다.
치아 변색에는 여러 원인이 있습니다.
커피나 담배와 같은 기호식품으로 인한 변색도 있지만, 항생제 부작용에 의한 치아 변색 사례도 많은데요.
오늘은 흔히 있는 질환 중 하나인
항생제 부작용, 테트라사이클린에 의한 치아 변색 case에 대해서 이야기를 해보겠습니다.

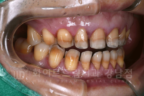
▲ 테트라사이클린으로 인한 변색은 치아에 줄이 가는 항생제 부작용입니다.
왜? 테트라사이클린 부작용이 나타날까요?
-
임신 기간 동안 테트라사이클린 항생제를 복용했을 경우
-
모유 수유 기간에 테트라사이클린 항생제를 복용했을 경우
-
성장기 소아의 잘못된 복용
을 원인으로 꼽을 수 있습니다.


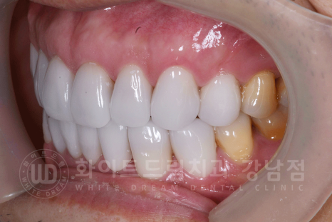
치료 전, 환자분 치아 상태.
- 어금니(37,17,16번 치아)는 현재 본원에서 UV 임플란트 치료 중입니다. ^^
12세 미만의 소아가 복용을 하거나 임신 중인 임산부나 수유부가 복용을 하면
이러한 변색 외에도 법랑질 형성 부전이 발생할 수도 있습니다.
성인은 이미 치아가 모두 성장을 완료했기 때문에, 약을 복용해도 이러한 영구적인 치아 변색은 나타나지 않습니다.

강남역 인근 치과, 테트라사이클린 변색 치료 전
테트라사이클린 변색은 일반 누렁 니와 다르게 심하게 눈에 띄기에 치아 스트레스가 심하신 분들이 많습니다.
오늘 소개해 드릴 환자분도 40대의 남성분이셨는데요.
치아 변색을 한참 고민을 하다가 치료를 받기로 결심을 하신 분이었습니다.

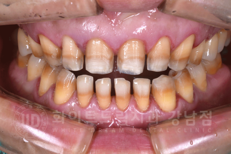
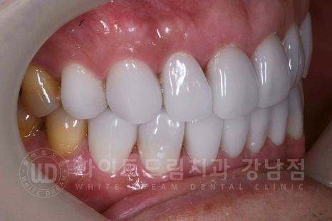
동일 인물이며, 동일 환경에서 촬영되었습니다.
(치료 기간 : 23.12.11 - 23.12.18)
▲ 강남역 인근 치과, 강남 화이트드림치과 전치부 라미네이트 후
테트라사이클린으로 인한 변색은 영구적이며, 치아미백으로 해결할 수 없습니다.
오히려 치아미백을 하면 변색이 안된 부분이 더 하애지기 때문에 더 차이가 심해 보입니다.
그래서 보통 전치부 보철치료로 개선하는데요.

환자분은 14 - 24 / 34 - 44까지의 총 8개의 치아를 라미네이트로 진행하셨습니다.
인터넷을 보면 약간 사랑니 괴담처럼 라미네이트 괴담(?)이 요즘 흔하게 보이는데요.
라미네이트 치아삭제 없다고 하지만, 결국엔 다 깎아낸다.
이런 이야기와 함께 아래 치아 사진이 많이 떠도는데요.

위 사진은 라미네이트 치료가 아닌, 360도 치아를 깎아 씌우는 크라운 치료 사진입니다.
라미네이트는 인조 손톱처럼 치아의 겉면에 살짝 부착하는 것이기에 저렇게 깎으면 부착할 수 없답니다. ㅎㅎ
저희 강남 화이트드림치과, 라미네이트 치아 삭제 얼마나 하나요?
환자분의 부착 전 치아 사진입니다.
초기 치아와 비교하면 삭제량이 굉장히 적게 진행되었습니다.


라미네이트 치료를 진행하면, 보철물의 접착력을 높이기 위해 에나멜 부분을 살짝 다듬는 과정이 필요합니다.
저희 강남 화이트드림치과는 환자분의 동의 없이 신경이 노출될 정도로 다듬지 않습니다.


치아 삭제가 과도하게 진행되면 시림 증상이 심하게 나타나거나
신경관이 노출되어 신경치료를 진행하게 되는데요.
환자분의 치료 전/후 X-RAY를 확인하면 신경치료를 안한 것이 확인되실 겁니다. ^^
치아를 감싸고 있는 에나멜 부분만 안전하게 삭제 후 라미네이트를 부착했습니다.


동일 인물이며, 동일 환경에서 촬영되었습니다. / 강남역 인근 치과
(치료 기간 : 23.12.11 - 23.12.18)
테트라사이클린으로 인한 치아 변색이 심할 경우는 크라운까지 고려되지만,
오늘 알려드린 사례자 분과 비슷한 정도의 변색이라면 간단하게 라미네이트로 드라마틱한 개선이 가능하답니다. ^^




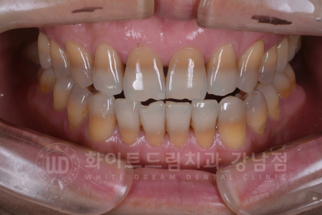
동일 인물이며, 동일 환경에서 촬영되었습니다.
(치료 기간 : 23.12.11 - 23.12.18)
저희 강남화이트드림치과의 정수윤 대표원장님이 직접 진행하신 케이스이며
40년 동안 어두운 치아로 너무 스트레스였어요.
제일 밝은색의 치아로 만들어 주세요!
라는 환자분의 요청에 맞추어 상담 후 제일 밝은 색상의 보철로 제작을 하였습니다.


동일 인물이며, 동일 환경에서 촬영되었습니다.
※ 무보정입니다!
(치료 기간 : 23.12.11 - 23.12.18)
치아 색상만 바뀌었는데도 피부나 인상이 환해진 것을 확인할 수 있습니다. ^^
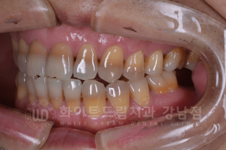
현재 본원에서 어금니 임플란트 치료를 진행 중이신 분이라, 임플란트 검진과 라미네이트 검진을 같이 진행하고 있는데요.
치료 후 거의 반년이 되어가는데, 현재까지도 불편함 없이 잘 사용하시는 중이랍니다.


동일 인물이며, 동일 환경에서 촬영되었습니다.
(치료 기간 : 23.12.11 - 23.12.18)
40년 동안 받았던 치아 변색 스트레스,
일주일이면 개선 가능합니다.
< 강남 화이트드림치과의 라미네이트 치료 사례 더 보기 >
치아 변색, 튀어나오고 틀어진 치아 모양으로 고민이 많으신가요?
저희 강남 화이트드림치과에서 상담부터 차근차근 시작해 보시기 바랍니다. ^^
강남 화이트드림치과 라미네이트 문의
📞 02-558-0037
네이버 실시간 예약을 이용하시면, 더욱 편안하게 진료 예약이 가능합니다.
▼▼▼

더 보기
이 병원의 공개 콘텐츠를 계속 살펴보세요
출처 아카이브로 돌아가 더 많은 글을 보거나, 병원 프로필로 이동해 다른 공개 채널도 함께 비교해보세요.