화이트드림치과의원 강남
상악동거상술 잘하는치과, 강남역 화이트드림치과 상악동 함기화로 인한 거상술 치료 리뷰
상악동거상술 잘하는치과, 강남역 화이트드림치과 상악동 함기화로 인한 거상술 치료 리뷰 안녕하세요. 다들 꺼리는 어려운 진료를 잘하는 #상악동거상술잘하는치과 #강남역화이트드림치과 입니다. 상악 위 어금니 부위에 임플란트 치료를 진행할 때 많이 동반되는 시술이 있습니다. 바로 상악동...
아카이브 요약
이 페이지의 역할
화이트드림치과의원 강남의 네이버 블로그 원문을 보존한 아카이브 페이지입니다. 진료정보 카테고리의 상악동거상술 잘하는치과, 강남역 화이트드림치과 상악동 함기화로 인한 거상술 치료 리뷰 글을 통해 병원의 한국어 정보 제공 방식과 진료 관련 안내 톤을 확인할 수 있습니다.
안녕하세요.
다들 꺼리는 어려운 진료를 잘하는 #상악동거상술잘하는치과 #강남역화이트드림치과 입니다.

상악 위 어금니 부위에 임플란트 치료를 진행할 때
많이 동반되는 시술이 있습니다.
바로 상악동 거상술(siuns lift)인데요.
이 상악동 거상술은 얇은 막으로 둘러싸여 있는 빈 공간인 상악동을
막이 찢어지지 않도록 살짝 들어 올린 후 빈 공간에 뼈이식을 진행하는 방법입니다.

치주염이나 치아의 염증으로 상악 위 잇몸뼈가 모자란 상태이거나
상악동이 아래로 내려오는 함기화로 인해 잇몸뼈가 모자란 상태에서
많이 진행하는 술식인데요.
상악동 거상술 중에서도 많은 양의 잇몸뼈 이식이 필요한 경우에는
lateral이라 불리는 측방 접근법을 이용하여 진행하게 됩니다.

오늘은 대다수의 치아를 치주염으로 발치한 후 전악 임플란트 치료를 진행하신 환자분의
상악동거상술 사례를 소개해 드리려 합니다.


상악동거상술 잘하는치과 / 강남역 화이트드림치과
동일 인물이며 동일 환경에서 촬영됨
치료 기간 : 23.08.12 - 24.03.23
환자분은 치주염으로 대다수의 치아가 흔들리는 상태셨으며
지인의 추천으로 저희 강남 화이트드림치과를 찾아주신
40대의 남성분이셨습니다.
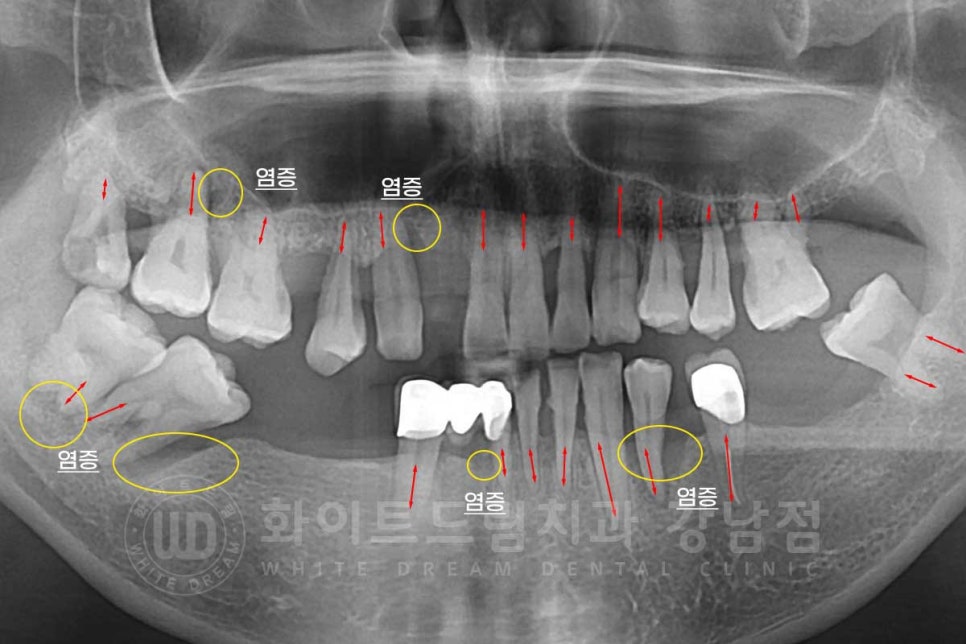
초진 x-ray 사진을 보면 많은 치아들이 있는 상태이지만
치아를 잡고 있는 잇몸뼈 면적이 적은 것이 확인됩니다.

정상적인 상태는 잇몸뼈가 치아의 2/3 정도를 덮고 있는 상태인데
환자분은 치주염으로 골 흡수가 많이 진행되어 있어
대부분의 치아가 흔들리고 있는 상태였습니다.
전체 치아들이 심하게 흔들림이 나타나는 상태여서 전체 치아는 발치를 진행한 후
임플란트 식립을 진행해야 하는 상황이었는데
이 중 상악동이 하방으로 많이 내려오는 함기화 현상이 발생한 것이 확인됩니다.
상악동 함기화(sinus pneumatization)란?
상악동이라는 빈 공간이
커지면서 하방으로 내려오는 현상을 말합니다.

어릴 적에는 이 크기가 작다가 보통 노화에 따라서 커지는 경우가 많으며
치아 뿌리 부근까지 내려오게 됩니다.
이 때문에 환자분도 잔존 잇몸뼈가 굉장히 얇아진 상태였기에
상악동을 들어 올린 후 뼈이식을 진행하고, 이후 임플란트를 식립하는 과정이 필요했습니다.

환자분의 상악 수술 후 x-ray 사진입니다.
23.08.12일 날 상악동 거상술을 동반한 14,13,11,21,23,24,26번 임플란트 식립까지
진행한 상태입니다.

상악동 거상술을 진행하시면 한 달 정도는
치과에서 안내하는 주의사항을 꼭 지켜주셔야 합니다.
상악동거상술 잘하는치과
수술 후 한 달가량은 상악동의 들어 올린 막이 찢어질 수 있어
재채기, 기침, 코풀기를 자제해 주셔야 합니다.
만일 찢어지게 되면 상악동염(축농증)이 발생해서 추가적인 약물 복용과 치료가
필요하게 되며, 심할 경우 수술한 임플란트와 뼈이식재를 모두 제거해야 할 수도 있습니다.


상악 수술 후 약 4개월 정도의 회복 기간을 가진 후 임플란트 인상채득 과정을 거친 후
최종 크라운 세팅을 진행했습니다.
24.01.27 최종 보철 임시 부착


동일 인물이며 동일 환경에서 촬영되었습니다.
치료 기간 : 23.08.12 - 24.03.23
임시 부착 상태로 일상생활을 지내시면서
상/하 교합관계를 확인하면서 불편하신 점은 없는지
새로 생긴 치아에 적응하는 기간을 약 한 달 정도 가지게 됩니다.

치료 후 x-ray 사진입니다.
상악동 막도 잘 올라가고 이식된 뼈들도 새로운 뼈로 잘 만들어진 것이 확인됩니다.
오늘은 이렇게 상악동 함기화로 인한 상악동 거상술 치료 사례를
알아봤습니다.
상악동거상술 잘하는치과
상악동 거상술은 치과에서 진행하는 여러 술식 중 난이도가 굉장히 높은 편에 속합니다.
잇몸뼈가 없어 상악동 거상술을 동반한 임플란트 치료를 받으셔야 한다면
꼭 여러 케이스의 수술 이력과 수많은 시술 경험을 가지고 있는 의료진을 찾아가
치료를 받으시길 권해드립니다.

오늘 알려드린 리뷰는
저희 강남역 화이트드림치과 정수윤 대표원장님이 직접 진행하신
치료 사례였습니다.

상악동거상술에 대해 궁금하신 점이 있으시다면
언제든지 연락 주시기 바라겠습니다. ^^
상악동거상술 잘하는치과 상담 / 문의 📞 02-558-0037

더 보기
이 병원의 공개 콘텐츠를 계속 살펴보세요
출처 아카이브로 돌아가 더 많은 글을 보거나, 병원 프로필로 이동해 다른 공개 채널도 함께 비교해보세요.