아카이브 요약
이 페이지의 역할
화이트드림치과의원 서울 강남점의 네이버 블로그 원문을 보존한 아카이브 페이지입니다. 진료정보 카테고리의 노화된 치아 라미네이트 / 치아미백을 해도 하얘지지 않는 마모된 치아는 어떻게 할까? 글을 통해 병원의 한국어 정보 제공 방식과 진료 관련 안내 톤을 확인할 수 있습니다.
원문 검증
필요하면 원문 블로그와 병원 프로필로 바로 이동해 문맥을 다시 확인할 수 있습니다.
출처 아카이브 열기아카이브된 블로그 글
화이트드림치과의원 서울 강남점 · 강남화이트드림치과의원
노화된 치아 라미네이트 / 치아미백을 해도 하얘지지 않는 마모된 치아는 어떻게 할까? 안녕하세요. 다들 꺼리는 어려운 진료를 잘하는 #강남역화이트드림치과 입니다. 40, 50대 분들 중 치아미백을 아무리 받아도 치아가 하애지지 않는다는 분들이 계십니다. 치아미백의 원리는 치아에 착색된...
게시일
2024년 10월 16일
원문 기준으로 확인된 발행일입니다.
카테고리
진료정보
원문 블로그 카테고리를 정리해 함께 표시합니다.
이미지 수
18
현재 아카이브에 연결된 이미지 수입니다.
아카이브 요약
화이트드림치과의원 서울 강남점의 네이버 블로그 원문을 보존한 아카이브 페이지입니다. 진료정보 카테고리의 노화된 치아 라미네이트 / 치아미백을 해도 하얘지지 않는 마모된 치아는 어떻게 할까? 글을 통해 병원의 한국어 정보 제공 방식과 진료 관련 안내 톤을 확인할 수 있습니다.
원문 검증
필요하면 원문 블로그와 병원 프로필로 바로 이동해 문맥을 다시 확인할 수 있습니다.
출처 아카이브 열기안녕하세요.
다들 꺼리는 어려운 진료를 잘하는 #강남역화이트드림치과 입니다.

40, 50대 분들 중 치아미백을 아무리 받아도 치아가 하애지지 않는다는 분들이 계십니다.
치아미백의 원리는 치아에 착색된 색소나 이물질을 과산화수소라는 약품으로
산화 과정을 일으켜 치아색을 하얗게 하는 원리로 진행됩니다.
우리가 흔히 하얀 옷의 찌든 때를 표백제로 없애는 원리와 동일한데요.
이런 미백 과정을 아무리 진행해도 치아가 하얗게 되지 않으시는 분들이 있습니다.

왜 그럴까요?
치아의 겉면이 노화로 인해 마모되었기 때문입니다.
(이 외에도 여러 원인이 있을 수 있기에 전문의 대면 진단이 필요합니다. ex, 신경치료 후 변색, 아말감 코어 변색 등등)
우리 치아의 구조부터 먼저 보시면 이해가 편하실 겁니다.
우리 치아는 치아를 보호하는 겉면의 하얗고 단단한 법랑질
그 안쪽에는 상아질, 치수로 구성이 되어 있습니다.

오랜 기간 열심히 치아가 제 기능을 발휘하면서
저작운동을 하다 보면 치아의 겉면인 법랑질이 닳게 되면서
내부 상아질이 겉으로 비쳐 보이게 됩니다.
내부 상아질은 하얀 법랑질과 다르게 누런색의 빛을 띄고 있는데
이 상아질의 색상이 겉으로 보이면서 치아색이 누렇게 보이는 것이랍니다.
원인이 다르기 때문에 아무리 치아미백을 진행해도
치아가 하얗게 변하지 않는 것이죠.

이렇게 겉면 법랑질이 마모된 치아들은
대부분 라미네이트 치료를 통해 마모된 부분을 보호하면서
환자분이 원하시는 심미적인 부분까지 개선을 하게 되는데요.
오늘은 이러한 진료 케이스 하나를 소개해 드리려 하는데요.
앞니 레진 변색도 신경이 쓰이고 치아 때문에 웃거나 말할 때마다
굉장히 스트레스예요.
직업상 사람을 대면하는 일이 많아 깨끗해 보였으면 좋겠어요.
라는 주소로
치아 개선을 원하셨던 분입니다.


노화된 치아 라미네이트 치료 사례
24.06.25 (당일 진행)
동일 인물이며 동일 환경에서 촬영됨
50대 여성분이셨고, 당일 빠르게 치료를 원하셔서
사전 예약 후 원 데이 라미네이트 진료를 진행하셨답니다.
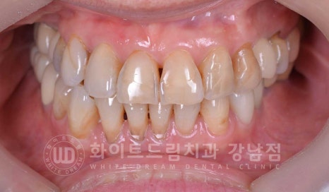
환자분의 초진 구내 사진을 보면 앞니 부분에 마모가 심하게 진행되어 있는 상태입니다.

사진을 자세히 보면 앞니 테두리 부분이 비쳐 보이는 것이 보이실 텐데요.
법랑질이 마모되어서 얇아졌기 때문이랍니다.
이 외에도 레진으로 앞니 치료받은 부위에 변색도 확인이 됩니다.

이 외에도 노화로 인한 잇몸 퇴축으로
블랙 트라이앵글이라는 치아 사이 검은 삼각형의 틈이 발생한 것이 보입니다.



라미네이트는 단순히 심미적인 역할만 하는 것이 아니라
세라믹으로 제작된 얇은 보철이기에 이렇게 마모된 치아를
보호해 주는 역할도 하기에
법랑질이 마모된 노화된 치아 치료에는 아주 적합한 치료라고 할 수 있죠.

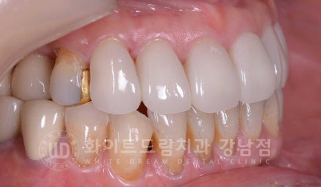
환자분의 미소라인을 보시면 상악만 노출이 되는 상태로 6개의 치아가 겉으로 보이는 상태입니다.
추가적으로 하악까지는 진행할 필요가 없어
상악 6개의 치아만 라미네이트 치료를 당일 진행하신 분입니다.
강남 화이트드림치과의 당일 라미네이트, 어떻게 진행될까요?
오전 10시 : 치아 다듬기 & 인상채득 & 쉐이드 체크 & 잇몸성형
오후 5시 : 라미네이트 보철 세팅
으로 치료가 마무리되었습니다.


동일 인물이며 동일 환경에서 촬영됨
기간 : 24.06.25
노화된 치아 라미네이트
당일 잇몸성형을 진행한 후라 잇몸이 조금 부어있는 상태이지만
이는 5-7일 정도 시간이 지나면 자연스러운 원래의 잇몸으로 돌아오게 됩니다.
환자분의 라미네이트 치료 일주일 후 교합 체크 진행 시 촬영한 사진입니다.



촬영일자 : 24.07.02
동일 인물이며 동일 환경에서 촬영됨
노화된 치아 라미네이트 당일 치료 사례
진료 당일 잇몸성형으로 빨갛게 올라와 있던 부분이 모두 개선되면서
자연스럽고 하얀 전치부 치아라인이 완성된 것이 확인되실 겁니다.
오늘은 이렇게 중년분들이 많이 호소하시는 법랑질의 마모로 인한 치료 사례를 알아봤습니다.
자연스러운 노화현상이기 때문에 그냥 지내시는 분들도 계시지만
이렇게 환자분처럼 개선을 원하시는 분들도 적지 않답니다.
아름다운 미소라인을 가지고 싶으신가요?
10년의 심미치료 경험을 지닌, 강남역화이트드림치과로
언제든지 연락 주시기 바라겠습니다. ^^
노화된 치아 라미네이트 진료 상담 / 문의
📞 02-558-0037
