아카이브 요약
이 페이지의 역할
화이트드림치과의원 서울 강남점의 네이버 블로그 원문을 보존한 아카이브 페이지입니다. 진료정보 카테고리의 잇몸뼈가 없다는 게 무슨 말일까? "틀니를 오래 사용해서 잇몸뼈가 없대요" 임플란트 잘하는 강남치과 글을 통해 병원의 한국어 정보 제공 방식과 진료 관련 안내 톤을 확인할 수 있습니다.
원문 검증
필요하면 원문 블로그와 병원 프로필로 바로 이동해 문맥을 다시 확인할 수 있습니다.
출처 아카이브 열기아카이브된 블로그 글
화이트드림치과의원 서울 강남점 · 강남화이트드림치과의원
잇몸뼈가 없다는 게 무슨 말일까? "틀니를 오래 사용해서 잇몸뼈가 없대요" 임플란트 잘하는 강남치과 안녕하세요. 다들 꺼리는 여러운 진료를 잘하는 #임플란트잘하는강남치과 #강남역화이트드림치과 입니다. 임플란트는 자연치아처럼 잇몸뼈에 단단히 고정되면서 자연치아와 유사한 저작능력을 발휘하는 '인공치아...
게시일
2024년 10월 18일
원문 기준으로 확인된 발행일입니다.
카테고리
진료정보
원문 블로그 카테고리를 정리해 함께 표시합니다.
이미지 수
21
현재 아카이브에 연결된 이미지 수입니다.
아카이브 요약
화이트드림치과의원 서울 강남점의 네이버 블로그 원문을 보존한 아카이브 페이지입니다. 진료정보 카테고리의 잇몸뼈가 없다는 게 무슨 말일까? "틀니를 오래 사용해서 잇몸뼈가 없대요" 임플란트 잘하는 강남치과 글을 통해 병원의 한국어 정보 제공 방식과 진료 관련 안내 톤을 확인할 수 있습니다.
원문 검증
필요하면 원문 블로그와 병원 프로필로 바로 이동해 문맥을 다시 확인할 수 있습니다.
출처 아카이브 열기안녕하세요.
다들 꺼리는 여러운 진료를 잘하는 #임플란트잘하는강남치과 #강남역화이트드림치과 입니다.
임플란트는 자연치아처럼 잇몸뼈에 단단히 고정되면서 자연치아와 유사한
저작능력을 발휘하는 '인공치아'입니다.
그래서 임플란트는 잇몸뼈의 상태와 굉장히 밀접한 관련을 가지고 있는데요.
오늘은 여기서 말하는 잇몸뼈란 어떤 부위인지,
잇몸뼈가 없다는데 어디다 임플란트를 심는다는 것인지
알아보는 시간을 가져보도록 하겠습니다.

먼저 우리 잇몸뼈의 구조에 대해서 보시는 것이 이해가 편하실 겁니다.
우리 턱뼈는 치조골과 기저골로 나누어져 있는데
우리가 흔히 "잇몸뼈가 없어요."라고 하는 부위는 치조골을 의미합니다.

치조골은 치아를 둘러쌓고 있는 뼈로 치아가 상실되면 흡수되는 부위입니다.
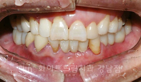
오늘 소개해 드릴 환자분의 초진 사진인데요.
치아가 남아있는 부위는 잇몸뼈가 있고 상실된 치아 부위는 잇몸뼈가 없는 것이 보입니다.
이 부위가 치조골이랍니다.


치아가 상실되면 치조골은 흡수되기 시작하며
틀니를 사용하시는 분들은
틀니가 잇몸을 누르는 압박으로 인해 치조골 흡수가 가속화되어 일어납니다.
잘 제작된 틀니여도 유지관리 없이 장기간 사용한다면 잇몸을 누르는 압박으로 인해
잇몸뼈 흡수는 더욱 빨라지게 된답니다.

오늘 소개해 드릴 치료 환자분은 틀니를 오랜 시간 사용하셔서
잇몸뼈가 굉장히 얇은 상태로 거의 점막만 남아있는 상태의
환자분입니다.
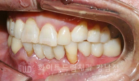
하악 부분틀니 10년 정도 꼈는데
이제는 뺏다 꼈다 하는 것도 힘들고 불편해요
임플란트로 치료를 받고 싶은데 가능할까요?
임플란트 잘하는 강남치과

치조골이 굉장히 얇으신 상태의 환자분이셔서
10년의 임플란트 식립 경험을 지니고 계신 정수윤 대표원장님이 직접 진료하신
고난도 치료 case입니다.

상실된 하악 치아들은 임플란트로 대체하면서
상악 염증으로 흔들리는 12번 치아도 함께 치료를 진행하기로 했는데요.
하악 임플란트는 하악 턱뼈 안을 지나가는 신경을 항시 주의하며
치료를 진행해야 합니다.
치조골이 흡수되면서 신경관과의 거리도 가까워지기에
사전에 3D-CT를 통해 위치를 정확하게 확인한 후 치료에 들어가게 됩니다.

치조골 흡수로 인해 신경관과의 거리가 생각보다 가까울 경우에는
충분한 길이의 임플란트보다는
짧은 임플란트를 식립하거나 식립 위치를 변경하게 되는 상황까지
발생할 수 있답니다.
다행히 환자분은 이 정도까지의 골흡수는 아니어서 뼈이식을 동반한 임플란트 식립을 진행했답니다.


임플란트 잘하는 강남치과
발치 & 뼈이식 임플란트 동시 진행 (수술일자 : 23.08.19)
뼈이식을 동반했기에 4개월의 회복 기간을 가지면서
이식재가 새로운 뼈로 형성되고, 식립된 임플란트는 새로운 뼈와 잘 유착될 수 있도록
지켜보는 시간을 가지게 됩니다.


총 치료 기간 : 23.08.18 - 24.01.16
동일 인물이며 동일 환경에서 촬영됨.
초기 잇몸뼈 흡수가 심했던 부분들도 잇몸뼈가 잘 형성되었고
함께 식립한 임플란트도 이상 없이 제 기능을 발휘하고 있습니다.






환자분처럼 수술 시 잇몸뼈가 굉장히 없으셨던 경우는
치료 후 관리를 더욱 열심히 해주셔야 합니다.
임플란트 잘하는 강남치과
만일 임플란트 주위염으로 지금 상태에서 골소실이 일어난다면
지금보다 더 잇몸뼈가 없어져 재수술이 불가능해질 수도 있기 때문입니다.

임플란트는 치료 후 관리가 무엇보다 중요합니다.
임플란트는 자연치아와 다르게 미세한 이동을 도와주는 인대 부분이 없기에
저작운동을 할 때 움직이지 않고 고정되어 있습니다.
그래서 주위 치아들이 저작운동 시 미세한 움직임이 발생하면
임플란트와 자연치아 사이에 음식물이 낄 수 있습니다.
그래서 임플란트 치료를 진행한 부위는 평상시보다 더욱 신경 써서 관리를 해주셔야 하며
치실, 치간칫솔, 워터픽 등의 구강관리 용품을 동반하시면 더욱 많은 도움이 됩니다.

오늘은 이렇게 잇몸뼈가 어떤 부위인지,
왜 잇몸뼈가 임플란트 식립 시 중요한지에 대해서 이야기를 나눠봤습니다.
임플란트 잘하는치과를 찾고 계시거나
치료에 대해 궁금하신 점이 있으시다면
언제든지 저희 강남역 화이트드림치과로 연락 주시기 바라겠습니다. ^^
임플란트 잘하는 강남치과
📞 02-558-0037
