아카이브 요약
이 페이지의 역할
화이트드림치과의원 서울 강남점의 네이버 블로그 원문을 보존한 아카이브 페이지입니다. 진료정보 카테고리의 임플란트 재수술의 주원인, "임플란트 주위염과 임플란트 찢어짐!" 글을 통해 병원의 한국어 정보 제공 방식과 진료 관련 안내 톤을 확인할 수 있습니다.
원문 검증
필요하면 원문 블로그와 병원 프로필로 바로 이동해 문맥을 다시 확인할 수 있습니다.
출처 아카이브 열기아카이브된 블로그 글
화이트드림치과의원 서울 강남점 · 강남화이트드림치과의원
임플란트 재수술의 주원인, "임플란트 주위염과 임플란트 찢어짐!" 안녕하세요. 다들 꺼리는 어려운 진료를 잘하는 강남역화이트드림치과입니다. 임플란트 심은 지 10년도 안됐는데 흔들리고 고름이 나와요. 시간과 비용을 투자해서 힘들게 심은 임플란트가 10년도 가지 못한다면 화도 나고 많은...
게시일
2024년 10월 20일
원문 기준으로 확인된 발행일입니다.
카테고리
진료정보
원문 블로그 카테고리를 정리해 함께 표시합니다.
이미지 수
19
현재 아카이브에 연결된 이미지 수입니다.
아카이브 요약
화이트드림치과의원 서울 강남점의 네이버 블로그 원문을 보존한 아카이브 페이지입니다. 진료정보 카테고리의 임플란트 재수술의 주원인, "임플란트 주위염과 임플란트 찢어짐!" 글을 통해 병원의 한국어 정보 제공 방식과 진료 관련 안내 톤을 확인할 수 있습니다.
원문 검증
필요하면 원문 블로그와 병원 프로필로 바로 이동해 문맥을 다시 확인할 수 있습니다.
출처 아카이브 열기안녕하세요.
다들 꺼리는 어려운 진료를 잘하는 강남역화이트드림치과입니다.
임플란트 심은 지 10년도 안됐는데 흔들리고 고름이 나와요.
시간과 비용을 투자해서 힘들게 심은 임플란트가
10년도 가지 못한다면 화도 나고 많은 걱정과 근심이 생기기 마련입니다.
이 임플란트를 얼마 사용하지 못하게 하는 주된 원인은
임플란트 주위 발생하는 염증과 임플란트 찢어짐으로 볼 수 있는데요.

오늘은
#임플란트재수술 의 주원인 #임플란트주위염 과 #임플란트찢어짐 에 대해서
이야기를 해보겠습니다.
두 가지의 증상을 모두 가지고 계셨던 환자분의 사례로 함께 알아보겠습니다.
환자분의 초진 구내 사진입니다.

현재 임플란트가 식립되어 있는 10번대 어금니, 30번대 어금니 부위에
심한 염증과 골소실이 일어나 있는 상태입니다.
이 외에도 치주염으로 20번대 브릿지 부위의 상태도 굉장히 좋지 못한 상태인데
임플란트의 상태부터 자세히 보겠습니다.

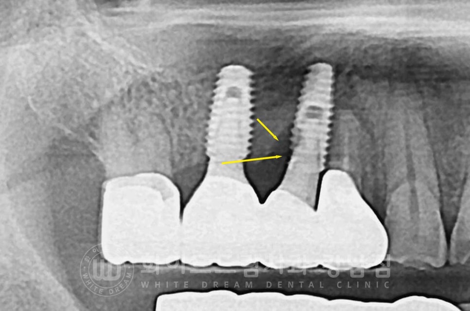
임플란트 재수술의 주원인 / 찢어짐 & 주위염
10번대 어금니 부위는 임플란트가 찢어지면서 주위 염증이 생겨있고
40번대 어금니는 임플란트 주위염으로
증상은 모두 '임플란트 흔들림'이 발생하고 있는데요.
임플란트 찢어짐, 조금 생소하시죠?
인공 나사가 찢어진 상태를 임플란트 찢어짐이라고 하는데요.
원인은 크게 4가지로 나눌 수 있습니다.
임플란트를 렌치로 조일 때 권장 토크 값을 넘어 과하게 체결되거나
비스듬히 연결하는 경우 찢어질 수 있습니다.
어금니 부위는 강한 힘을 버텨야 하기에 5.0mm 이상의
직경을 가진 임플란트를 식립하게 됩니다. 교합력에 맞지 않는 얇은 임플란트를
식립할 경우 임플란트가 저작력을 버티지 못하고 찢어질 수 있습니다.
나사를 조이는 부분의 임플란트 디자인이 잘못 나와 취약한 상태일 때
임플란트가 찢어질 수 있습니다.
임플란트 주위 염증으로 임플란트와 나사가 불안정한 상태인데
이때 강한 힘이 가해지면 이를 버티지 못하고 찢어지거나 파절될 수 있습니다.

임플란트가 찢어지면 찢어진 주위로 세균이 모여 염증이 발생하고
염증으로 잇몸뼈가 녹게 되는 악순환이 발생하고 흔들림으로 정상적인 기능을 할 수 없기에
이 찢어진 임플란트는 제거 후 재식립을 진행해야 한답니다.
환자분은 반대편 20, 30번대 부위 치료가 더 시급한 상태였기에
찢어진 임플란트 부위의 치료는 나중으로 미루셨습니다.


▲ 증상이 더 시급한 20번대 브릿지, 30번대 임플란트 어금니 부위
그럼 치료를 진행한 부위, 20, 30번대 상태는 어땠을까요?
상악 브릿지 치료가 되어 있는 치아 부위는 이미 사용이 불가능할 정도로
염증이 심한 상태였고, 브릿지 통째로 빠질 것처럼 심한 흔들림을 동반하고 있었습니다.
염증이 심한 치아에 발생하는 주 증상 치아 돌출 & 치아 뿌리 노출도 확인되고
이로 인해 교합도 틀어진 상태입니다.


하악 임플란트도 거의 염증이 임플란트를 잡아주고 있는 상태였는데요.
자연치아 주위에 발생하는 염증인 치주염과
임플란트 주위 발생하는 염증인 임플란트 주위염은
명칭만 다를 뿐 같은 잇몸질환입니다.
다만, 자연치아는 치주 인대라는 부분이 있어 조금이나마 치주염으로
보호하고 염증이 발생하면 통증을 느낄 수 있지만
임플란트는 이 치주 인대를 부위가 없어 염증이 발생하면 진행속도가 굉장히 빠르고
별다른 통증을 느끼기가 어렵답니다.

그래서 임플란트 치료를 받으시면 꼭 임플란트 주위 이물질이 저류되지 않도록
치실이나 치간칫솔을 이용해 매일 관리를 해주셔야 하며
꼭 6개월 - 1년에 한번은 치과에 오셔서 스케일링으로 깨끗하게 청소를 하셔야
한답니다.


▲ 더 이상 사용이 불가능한 상악 브릿지와 제거된 하악 임플란트입니다.
환자분은 경상남도에서 내원을 해주시는 분이시기에
내원 횟수를 줄이기 위해 내원 당일 보철과 임플란트를 제거한 후 바로 임플란트 식립을 진행합니다.

환자분은 상악 모자란 잇몸뼈 부위를 다시 형성할 수 있도록
상악동 거상술, lateral도 당일 함께 시술을 받으셨습니다.
대량의 뼈이식 재가 들어갔기 때문에 최대한 임플란트가 자극을 받지 않도록
임플란트를 잇몸뼈 안에 식립한 상태로 봉합하게 됩니다. (1차 수술만 진행)


수술일자 : 23.08.19
수술 후 일주일 정도는 수술 부위가 회복될 수 있는 시간을 가지게 됩니다.
치은이 어느 정도 아물면 일상생활이 가능하시도록
임시틀니를 바로 제작해 드립니다.
당일 임플란트 임시치아나 틀니 착용이 가능하신 경우는 당일 바로 체결해 드리기도 한답니다.
하지만 환자분은 잇몸 염증이 심한 상태이고, 많은 양의 뼈이식재가 들어간 상태여서
바로 틀니를 사용하면 식립한 임플란트가 자극을 받을 수 있기에
어느 정도 회복 기간을 가진 후 임시틀니를 사용하게 됩니다.
틀니는 최소한으로 식사하실 때만 사용하시는 것이 임플란트 회복에 도움이 됩니다.

환자분은 최대한 빠르게 임플란트를 성공적으로 치료하고 싶으셔서
임시틀니는 거의 사용하지 않고 생활하셨다고 하며
23.01.30, 5개월 만에 최종 보철을 체결하고 교합 체크 과정을 받으면서
치료를 마무리했답니다.


동일 인물이며 동일 환경에서 촬영됨
치료 기간 : 23.08.19 - 24.02.29
오늘은 이렇게 임플란트 재수술의 주원인 두 가지
임플란트 찢어짐과 임플란트 주위염에 대해 이야기를 나눠봤습니다.
오늘 소개해 드린 환자분은 10년의 진료 경험을 지니고 계신
정수윤 대표원장님이 직접 상담 & 수술하신 케이스입니다.

24.05 기준, 타치과에서 치료가 어려워
저희 강남 화이트드림치과로 온 진료의뢰가 120,000건이 넘었습니다.
두 번의 실패는 없도록, 고난도 임상경험이 많은 전문의에게
구강검진 & 진료 상담받아보시기 바랍니다.
임플란트 재수술 상담 / 문의 02-558-0037
