화이트드림치과의원 강남
틀어진 치아 라미네이트, 틀어지고 색이 다른 앞니가 고민이에요.
틀어진 치아 라미네이트, 틀어지고 색이 다른 앞니가 고민이에요. 안녕하세요. 다들 꺼리는 어려운 진료를 잘하는 강남역 화이트드림치과 입니다. 치아 색은 사람마다 다릅니다. 치아 색이 조금 누렇다고 해서 치아 자체의 기능에 큰 문제가 있는 것은 아니지만 이로 인해 대인관계에서 소극적으로 변하...
아카이브 요약
이 페이지의 역할
화이트드림치과의원 강남의 네이버 블로그 원문을 보존한 아카이브 페이지입니다. 진료정보 카테고리의 틀어진 치아 라미네이트, 틀어지고 색이 다른 앞니가 고민이에요. 글을 통해 병원의 한국어 정보 제공 방식과 진료 관련 안내 톤을 확인할 수 있습니다.
안녕하세요.
다들 꺼리는 어려운 진료를 잘하는 강남역 화이트드림치과 입니다.
치아 색은 사람마다 다릅니다.
치아 색이 조금 누렇다고 해서 치아 자체의 기능에 큰 문제가 있는 것은 아니지만
이로 인해 대인관계에서 소극적으로 변하게 된다면 문제가 될 수 있겠죠.
일상생활에 지장을 주기 때문입니다.

왜? 사람마다 치아 색이 다를까요?
사람마다 치아를 감싸고 있는 법랑질의 두께에 따라서 다르게 보이는데요.
치아는 법랑질과 상아질 두 개의 층으로 구성이 되어 있는데
사람마다 법랑질의 두께가 다르기 때문입니다.
치아의 겉면을 보호하는 법랑질이 얇을 경우 내부 상아질이 비쳐 보여 조금 누렇게 보일 수 있답니다.

혹은 항생제의 부작용 중 하나인 테트라사이클린 변색과 같은 경우
흡연이나 커피, 와인, 녹차, 초콜릿 등의 색소가 진한 음식을 즐겨드신다면
치아 색이 누렇게 변할 수도 있는데요.
오늘은 치아 색이 각기 달라서 미소 자신감이 많이 떨어지셨던
30대 남성분의 변색치아 & 모양 개선 사례를 알려드리겠습니다.
환자분은 흡연을 즐겨 하시는 분이셨고 치아마다 색상이 달라 고민이셨습니다.


동일 인물이며 동일 환경에서 촬영됨
치료 기간 : 24.09.30 - 24.10.01
틀어진 치아 라미네이트 & 변색치아 라미네이트
환자분의 초진 구내 사진입니다.
앞니 22번 치아에 작은 앞니 충치가 있고 니코틴 착색 & 치아 착색이 있는 상태입니다.
이로 인해 치아마다 색상이 조금씩 다르게 보이는 것이죠.

치과에서 치아미백을 몇 번 받으셨다고 하는데
유지력이 오래 가지 못해 만족스럽지 않았고
오랜 기간 유지되는
라미네이트 보철치료를 통해 치아 모양과 각기 다른 치아색을 개선하길 원하셨답니다.
환자분의 초기 미소라인 사진입니다.

저희 강남화이트드림치과는 치료 전 환자분의 미소라인을 분석해
"몇 개의 치아를 해야 할까?"
고민하시는 분들에게 알맞은 상담을 도와드리고 있습니다.
환자분은 보이는 치아 모두 가지런하고 하얀 치아를 가지길 원하셔서
말하거나 살짝 미소를 지을 때 노출되는 상악 8개 치아를
진행하셨습니다.

환자분은 틀어진 11번 치아를 제외하고는
상악 앞니는 상대적으로 고른 치아를 가지고 계셨습니다.
라미네이트 치료를 진행할 때
라미네이트 후 치아가 뚱뚱해 보이지 않도록
보철의 두께만큼 치아 표면을 살짝 다듬게 되는데요.
이를 라미네이트 프렙 과정이라고 합니다.

일반적으로 고른 치열은 치아의 겉면인 법랑질의 표면만 살짝 다듬어
치료를 진행하지만 이렇게 틀어짐이 있는 치아는
틀어진 부분만큼 치아 삭제를 할 수밖에 없습니다.

안 그러면 라미네이트가 이 틀어진 각도대로 튀어나와 부착이 되기에
심미적으로 이상적인 치아라인을 가질 수 없기 때문입니다.
※ 저희 강남 화이트드림치과는 이러한 치아 프렙 부분에 대해
사전에 충분한 설명을 드리며 환자분의 동의 후에 진행합니다.

틀어진 치아 라미네이트
▲ 환자분의 치아 프랩 후 사진입니다.
초기 틀어짐이 있었던 11번 앞니는 다른 치아들에 비해
치아를 조금 더 다듬은 것이 확인됩니다.
그래도 상아질이 노출되지 않도록 법랑질 내에서 치료를 진행하여
신경치료는 진행하지 않았고 환자분도 치료 후 별다른 시린 증상을 호소하지는 않으셨답니다.
치아의 시작점부터 심미적일 수 있도록
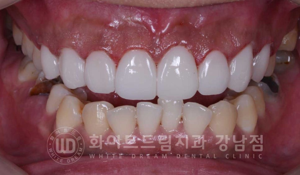
잇몸성형을 동반했고 보철을 부착한 후 구내 사진입니다.

아직 잇몸 성형을 한 부위가 조금 붓고 아물지 않은 상태이지만
이 부분은 일주일 내로 정상 잇몸으로 회복된답니다.
환자분의 일주일 후 교합 체크 당시 촬영한 사진입니다.

저희 강남 화이트드림치과는 라미네이트 부착 후 치료 끝! 이 아닙니다.
사후관리 차원으로 일주일 동안 부착한 라미네이트 보철이 불편한 점은 없었는지
시린 증상은 없는지, 교합 간섭이 있는지 등을 확인하며 마무리하는 과정을 거치는데요.


잇몸성형을 한 부분도 모두 정상 치은으로 회복이 되었고
라미네이트도 잘 부착되어 있는 것이 확인됩니다.
라미네이트는 부착할 때 치아와 보철 사이 틈이 없도록
밀착하여 부착하는 것이 굉장히 중요합니다.
보철의 모양이나 색상은 치기공사의 능력으로 결정되지만
라미네이트가 얼마나 잘 붙어있고 치아의 건강을 해치지 않는지는
이 부착 기술에 따라 달라집니다.


동일 인물이며 동일 환경에서 촬영되었습니다.
치료 기간 : 24.09.30 - 24.10.01
틀어진 치아 라미네이트
라미네이트와 치아 사이에 틈이 있게 부착이 되면
보철과 치아 사이 이물질이 저류되면서 염증, 충치 등의 치아 건강을 해치는
상황이 발생할 수 있기 때문입니다.


저희 강남 화이트드림치과는 10년의 심미보철 진료 경력을 지닌 의료진과
20년 경력의 치기공사가 원내 화이트니, 라미네이트 보철 제작을 진행하고 있습니다.
틀어지고 누런 치아 때문에 자신감이 점점 떨어지고
거울을 볼 때마다 신경 쓰이신다면
언제든지 저희 강남 화이트드림치과로 연락 주시기 바랍니다. ^^
틀어진 치아 라미네이트 상담 / 문의
02-558-0037

더 보기
이 병원의 공개 콘텐츠를 계속 살펴보세요
출처 아카이브로 돌아가 더 많은 글을 보거나, 병원 프로필로 이동해 다른 공개 채널도 함께 비교해보세요.