화이트드림치과의원 강남
신경치료 후 크라운을 해야 하는 이유 / 크라운을 안 해 부러진 치아 임플란트 치료 case
신경치료 후 크라운을 해야 하는 이유 / 크라운을 안 해 부러진 치아 임플란트 치료 case 안녕하세요. 다들 꺼리는 어려운 진료를 잘하는 #강남화이트드림치과 입니다. 신경치료는 치아 안쪽에 위치한 신경을 제거하는 치료이기에 치아 내부 깊숙이 위치한 신경으로 접근하기 위해 치아...
아카이브 요약
이 페이지의 역할
화이트드림치과의원 강남의 네이버 블로그 원문을 보존한 아카이브 페이지입니다. 진료정보 카테고리의 신경치료 후 크라운을 해야 하는 이유 / 크라운을 안 해 부러진 치아 임플란트 치료 case 글을 통해 병원의 한국어 정보 제공 방식과 진료 관련 안내 톤을 확인할 수 있습니다.
안녕하세요.
다들 꺼리는 어려운 진료를 잘하는
#강남화이트드림치과 입니다.

신경치료는 치아 안쪽에 위치한 신경을 제거하는 치료이기에
치아 내부 깊숙이 위치한 신경으로 접근하기 위해 치아 삭제가 동반될 수밖에 없습니다.

보통 이렇게 치아의 외벽만을 남겨두고 치아 내부를 삭제하기 때문에
치아가 굉장히 약해지게 됩니다.
그래서 신경치료를 받은 후에는 크라운이라는 치과보철로
약해진 치아를 보호해 주는 과정이 꼭 필요한데요.

간혹 신경치료를 진행하신 후
크라운으로 마무리를 하지 않으시는 분들이 계십니다.
신경을 제거한 후 이제 통증이 없어졌으니 귀찮다는 이유로
크라운까지 치료를 받지 않으시는 건데요.
크라운을 씌우지 않은 상태로 치아를 사용하게 되면
약해진 치아가 결국 저작력을 버티지 못하고 부서지는 상황이 발생하게 됩니다.

신경치료 후 씌운 크라운은 시간이 지나면 접착력이 약해져
끈적이는 캐러멜 같은 음식을 먹다 보면 빠지는 경우가 있습니다.
이럴 때도 빠르게 치과에 가셔서 크라운을 다시 부착하셔야 추가적인 치아 파절을 예방할 수 있습니다.

오늘은 신경치료를 한 치아에 크라운을 씌우지 않으셔서
다수의 치아가 부러져버리신 환자분의 치료 케이스를 소개해 드리려 합니다.
양쪽 어금니가 모두 치아 뿌리만 남겨둔 채로 부러져
결국엔 임플란트 치료를 진행하시게 된 환자분입니다.


동일 인물이며 동일 환경에서 촬영되었습니다.
23.03.07 - 23.09.26
환자분의 초진 구내 상태입니다.
16,17번 치아는 상실된 상태이고
14, 27, 36,37번 치아가 뿌리만 남아있는 상태입니다.

뿌리만 남아있는 치아들은 모두 신경치료를 받은 흔적이 보이는데
신경치료 후 크라운을 씌우지 않으셨고,
있던 크라운도 시간이 지나면서 탈락된 상태로 방치를 하셔서
치아가 모두 저작력을 버티지 못하고 부러져버린 상태인 것이죠.

초기 알맞게 처치를 했다면 이렇게 치아가 크게 부러지면서 썩는 일은
발생하지 않았을 겁니다.
뿌리만 남아있는 치아들은 모두 발치 후 임플란트를 식립하기로 하였고
하악 46번 인레이가 떨어진 치아는 신경치료 후 크라운치료를 진행하기로 했습니다.


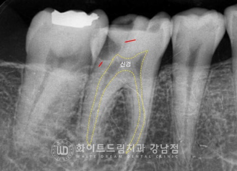
▲ 46번 인레이가 떨어진 치아 부위, 신경이 겉으로 노출되어 있는 상태여서 신경치료를
진행하게 되었습니다.
이렇게 뿌리만 남은 치아들은
턱뼈까지 연결되어 있는 신경관이 겉으로 노출되어 있기에
잇몸뼈 내부 염증이 쉽게 발생하게 됩니다.
환자분도 염증으로 잇몸뼈의 소실이 발생했기에 모든 부위는 뼈이식을 동반해야 했고

이 중에서 상악 16,17번 치아 부위는
치아를 발치한지 오랜 시간이 지나 잇몸뼈의 함몰과 상악동의 함기화가
일어나 임플란트를 식립하기에는 잇몸뼈의 양이 많이 모자란 상태였습니다.
이럴 때 상악동을 살짝 들어 올린 후 모자란 뼈를 형성하는 방법이
바로 '상악동 거상술'이랍니다.

상악동의 얇은 막을 들어 올려, 그 빈 공간에 뼈이식재를 넣어 새로운 뼈를 형성해 주는 방법으로
환자분의 경우 많은 양의 잇몸뼈가 필요했기에
볼 쪽 잇몸뼈에 작은 창문을 내어 진행하는 lateral, 측방 접근법을 동반하게 되었습니다.


▲ 상악동 거상술 & 임플란트 수술 후 (23.03.07)
상/하악으로 나누어 수술을 진행하는 것보다
오른쪽, 왼쪽으로 나누어 수술을 진행하는 것이
환자분이 식사하기 더 편하실 것으로 판단되어
2회로 나누어 임플란트 식립을 진행하였습니다.

오른쪽 상악 : 23.03.07 / 왼쪽 상, 하악 : 23.03.20
많은 양의 뼈이식이 동반되었기에
충분히 임플란트가 유착될 수 있도록 회복 기간을 넉넉히 잡기로 했습니다.
환자분은 수술 후 5개월의 회복 기간을 가진 후
임플란트 보철 제작 & 세팅에 들어가게 되었습니다.
환자분의 치료 전/후 구내 사진입니다.




동일 인물이며 동일 환경에서 촬영되었습니다.
23.03.07 - 23.09.26
식립된 임플란트들이 상실된 치아의 기능을 정상적으로 이행함을 확인하며
치료를 마무리하게 되었습니다.
오늘은 신경치료 후 크라운을 씌우지 않으면 왜 안되는지에 대해
실제 치료 사례와 함께 알아봤습니다.
치과치료에 대한 자세한 설명 및 상담이 필요하시다면
언제든지 저희 강남 화이트드림치과로 연락 주세요~!
친절하고 자세한 상담 및 안내를 도와드리겠습니다.
강남 화이트드림치과 : 02-558-0037

더 보기
이 병원의 공개 콘텐츠를 계속 살펴보세요
출처 아카이브로 돌아가 더 많은 글을 보거나, 병원 프로필로 이동해 다른 공개 채널도 함께 비교해보세요.