아카이브 요약
이 페이지의 역할
화이트드림치과의원 서울 강남점의 네이버 블로그 원문을 보존한 아카이브 페이지입니다. 진료정보 카테고리의 사고당한 앞니치료, "흔들리고 점점 변색돼요." 앞니 임플란트 & 신경치료 글을 통해 병원의 한국어 정보 제공 방식과 진료 관련 안내 톤을 확인할 수 있습니다.
원문 검증
필요하면 원문 블로그와 병원 프로필로 바로 이동해 문맥을 다시 확인할 수 있습니다.
출처 아카이브 열기아카이브된 블로그 글
화이트드림치과의원 서울 강남점 · 강남화이트드림치과의원
사고당한 앞니치료, "흔들리고 점점 변색돼요." 앞니 임플란트 & 신경치료 안녕하세요. 다들 꺼리는 어려운 진료를 잘하는 #강남화이트드림치과 입니다. 길을 가다 넘어지거나 사고를 당해 다치는 경우가 많습니다. 앞쪽으로 넘어지거나 충격받는 경우가 많은데 이럴 때 맨 전방에 위치한 앞니에도 충...
게시일
2024년 11월 29일
원문 기준으로 확인된 발행일입니다.
카테고리
진료정보
원문 블로그 카테고리를 정리해 함께 표시합니다.
이미지 수
18
현재 아카이브에 연결된 이미지 수입니다.
아카이브 요약
화이트드림치과의원 서울 강남점의 네이버 블로그 원문을 보존한 아카이브 페이지입니다. 진료정보 카테고리의 사고당한 앞니치료, "흔들리고 점점 변색돼요." 앞니 임플란트 & 신경치료 글을 통해 병원의 한국어 정보 제공 방식과 진료 관련 안내 톤을 확인할 수 있습니다.
원문 검증
필요하면 원문 블로그와 병원 프로필로 바로 이동해 문맥을 다시 확인할 수 있습니다.
출처 아카이브 열기안녕하세요.
다들 꺼리는 어려운 진료를 잘하는 #강남화이트드림치과 입니다.
길을 가다 넘어지거나 사고를 당해 다치는 경우가 많습니다.
앞쪽으로 넘어지거나 충격받는 경우가 많은데
이럴 때 맨 전방에 위치한 앞니에도 충격이 가해져
치아가 파절되거나 흔들리는 경우가 발생하게 됩니다.


▲ 사고로 앞니가 아예 탈구되신 환자분의 치료 케이스
(사고당한 앞니치료 : 24.04.29 - 24.09.26)
치아가 파절된 경우에는 빠르게 처치를 진행하게 되지만
파절된 것이 미비하거나 단순히 치아의 움직임만 확인이 되는 경우에는
잠간고정술이라는 술식을 이용해 주변 치아와 묶어두면서 추적 관찰을 진행하게 됩니다.

오늘 소개해 드린 환자분은 초기 이렇게 사고당한 앞니치료를 받으셨다가
괜찮아진 것 같아 치과를 한동안 가지 않으셨다고 합니다.
어느 날부터 외상을 받았던 치아 색이 점점 어둡게 변하면서
치아가 다시 흔들리는 것 같다며 저희 강남 화이트드림치과를 찾아주셨는데요.
환자분의 초진 구내 상태를 먼저 보겠습니다.

환자분이 증상을 호소하시는 치아는
앞니 3개 (12, 11, 21번 치아)입니다.
육안으로 보기엔 11번, 21번 치아 사이 큰 충치가 발생해있고
11번 치아가 전체적으로 어둡게 변색된 것이 확인됩니다.

그리고 동요도 검사 시 12번 치아가 심하게 흔들림을 호소하고 있었는데
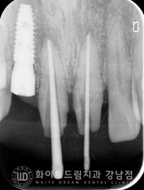
치아의 상태를 보다 정확하게 확인하기 위해 치근단 사진을 촬영해 봤습니다.

12번 치아의 치주 인대가 손상되어 염증이 발생했고
이로 인해 주위 잇몸뼈가 녹기 시작한 것으로 추측되었습니다.
또한 11번 변색된 치아 끝 부위에 치아 뿌리 염증이 자리를 잡고 있는 것이 확인됩니다.
아마 외상을 당하셨을 때 치수가 손상되었고 천천히 괴사가 일어나
치아 뿌리에 염증이 발생한 것으로 추측되었습니다.


이 치아 뿌리 염증과 인접면 충치 치료를 진행하기 위해
11번, 21번 치아는 신경치료를 진행하기로 하였고
잇몸뼈가 심하게 녹아 흔들림이 심한 12번 치아는 발치 후 임플란트를 식립하기로
환자분과 상의 후 결정되었습니다.

▲ 발치한 12번 치아,
치아 대부분이 겉으로 드러나있는 상태였고 치아 뿌리 주위로 치석이 크게 자리 잡고 있습니다.
우선 흔들리는 치아를 발치한 후 바로 임플란트를 식립했고 염증으로 녹은 잇몸뼈는
추가적인 뼈이식을 통해 보강하여 치료를 진행하게 되었습니다.
12번 임플란트가 골 유착되는 회복 기간 동안에는 남은 11, 21번 치아의 신경치료와
잇몸치료를 동반하게 되었습니다.


치료가 마무리되기 전까지는 임시치아를 세팅해 드려
일상생활에 지장이 없도록 처치해 드렸습니다.
환자분은 초기 11번 치아가 뒤로 물리는 반대교합 형태를 가지고 계셨는데요.
이번에 보철치료를 진행하면서 이 반대교합도 정상교합으로 되돌려드렸답니다.


동일 인물이며 동일 환경에서 촬영됨
환자분의 치료 기간은 23.03.16 - 23.08.07으로
5개월 정도의 치료 기간이 소요되었습니다.
치료를 진행하는 과정에서 정기적으로 잇몸치료도 함께 진행해 드려
치료를 마무리하는 시점에는 잇몸상태도 많이 호전된 상태인 것이 확인됩니다.


동일 인물이며 동일 환경에서 촬영됨
앞니는 어금니와 다르게 치아 뿌리가 하나이기에 정상적인 상태에서도
0.25mm 이내의 수평적인 움직임을 가지고 있습니다.
손으로 살짝 움직이면 느껴지는 정도의 움직임인데요.
만일 이보다 더 심하게 치아가 움직이는 것 같다면 치아에 어떤 문제가 발생했을 확률이 높습니다.

영구치의 흔들림은 별다른 통증이 없는 경우가 많아
정기적인 치과검진으로 상태가 심각해지기 전에
알맞은 치료를 받으시는 것이 중요합니다.

치아가 흔들리시거나 정기검진을 할 때가 되셨다면
언제든지 저희 강남 화이트드림치과로 연락 주시기 바라겠습니다. ^^
사고당한 앞니치료, 강남 화이트드림치과 상담 / 문의 : 02-558-0037
