아카이브 요약
이 페이지의 역할
연세다감치과의원의 네이버 블로그 원문을 보존한 아카이브 페이지입니다. 임플란트 카테고리의 불편한 틀니 임플란트로 바꿔 치료할 수 있을지 가락시장역 치과 에서 살펴봅시다. 글을 통해 병원의 한국어 정보 제공 방식과 진료 관련 안내 톤을 확인할 수 있습니다.
원문 검증
필요하면 원문 블로그와 병원 프로필로 바로 이동해 문맥을 다시 확인할 수 있습니다.
출처 아카이브 열기아카이브된 블로그 글
연세다감치과의원 · 치과의사 서호연의 행복한 치아
안녕하세요. 가락시장역 연세다감 치과 입니다. 평소 틀니를 쓰고 있었는데 임플란트로 바꾸고 싶으신가요? 상황에 따라서 필요한 치료가 다를 수 있습니다. 어떤 것을 고려해야 되고 보철의 각 장단점을 소개해 드리도록 하겠습니다. 위에는 틀니를 사용하고 있었고 아래턱은 임플란트가 부분적으로 존재하고 있습니다. ...
게시일
2025년 3월 19일
원문 기준으로 확인된 발행일입니다.
카테고리
임플란트
원문 블로그 카테고리를 정리해 함께 표시합니다.
이미지 수
12
현재 아카이브에 연결된 이미지 수입니다.
아카이브 요약
연세다감치과의원의 네이버 블로그 원문을 보존한 아카이브 페이지입니다. 임플란트 카테고리의 불편한 틀니 임플란트로 바꿔 치료할 수 있을지 가락시장역 치과 에서 살펴봅시다. 글을 통해 병원의 한국어 정보 제공 방식과 진료 관련 안내 톤을 확인할 수 있습니다.
원문 검증
필요하면 원문 블로그와 병원 프로필로 바로 이동해 문맥을 다시 확인할 수 있습니다.
출처 아카이브 열기안녕하세요.
가락시장역 연세다감 치과 입니다.
평소 틀니를 쓰고 있었는데
임플란트로 바꾸고 싶으신가요?
상황에 따라서 필요한
치료가 다를 수 있습니다.
어떤 것을 고려해야 되고
보철의 각 장단점을
소개해 드리도록 하겠습니다.

위에는 틀니를 사용하고 있었고
아래턱은 임플란트가 부분적으로
존재하고 있습니다.
이런 경우 적응을 못할 때가
많습니다.
왜냐하면 위에는
꼈다 뺐다 하는 가철성 장치이고,
아래는 뼈에 단단히 고정되어
있는 보철이므로
음식을 저작할 때 받는
힘이 다르기 때문이죠.
가락시장역 치과 에서
보여드린 것처럼
위에는 말랑한 잇몸에
얹어 사용하는 가철성 의치이고,
아래는 고정성을 사용한다면
힘의 균형이 맞지 않게 됩니다.

따라서 식사할 때
불편할 뿐만 아니라,
자극을 받지 못한 잇몸뼈는
점차 흡수되는 특성이 있어
틀니가 딱 맞지 않게 됩니다.
해당 사례 또한 이가 없는 상태로
오래 지내다 보니 전반적으로
골흡수가 진행된 상태였죠.

잇몸뼈가 흡수되고
의치를 오래 사용하여
닳게 되면 수직 고경이 낮아지는데요.
수직 고경이란
자연스럽게 이가 맞물렸을 때의
코끝과 턱 끝의 수직 거리를 뜻합니다.
이것은 얼굴 및 턱의 뼈 형태,
관련 근육의 길이,
위 아랫니의 교합 관계에
의해 결정됩니다.

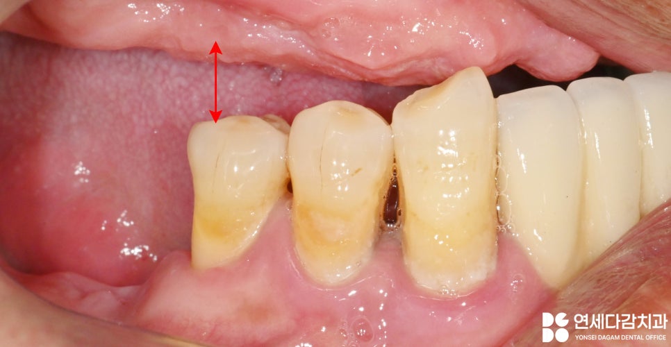
그러나 맞지 않는 틀니를
사용하다 보니,
가락시장역 치과 에서 표시한
부위처럼
잇몸에 상처가 나기도 하죠.


그렇다면 이런 상황에서
어떤 치료를
선택하는 것이 나은 걸까요?
틀니
✔ 임플란트에 비해 가격이 저렴해
경제적이고 진료 기간이
짧다는 장점이 있다.
✔ 저작력과 유지력이 낮은 편이고
골흡수가 촉진된다는 단점이 있다.
✔ 따라서
잇몸의 형태가 변하기 때문에
주기마다 수정을 해야 된다거나
수명이 짧다는 특징이 있습니다.
임플란트
✔ 잇몸뼈에 고정되어
치조골에 자극을 주기 때문에
치조골의 흡수를 완화할 수 있다.
✔ 저작력과 유지력도 높기 때문에
고기 같은 질긴 음식도
먹을 수 있습니다.
✔ 다만 진료 과정이 길고
경제적인 부담이 크다는
단점이 있죠.
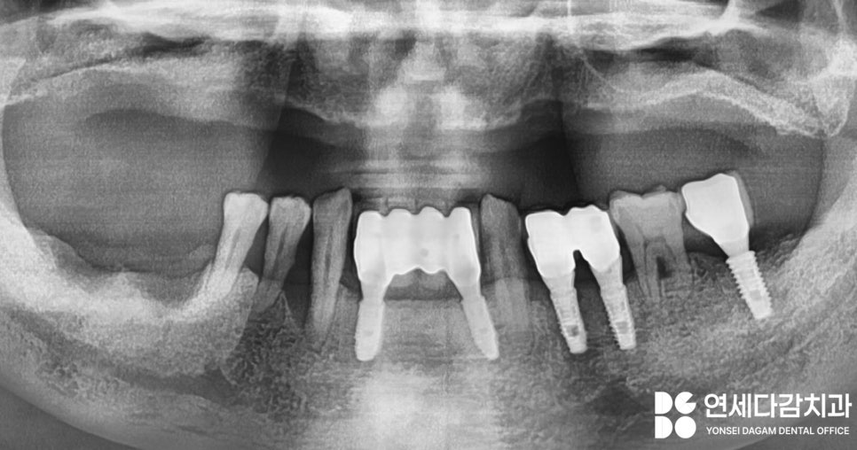
전체적인 진단 결과
가락시장역 치과 에서는
임플란트가 적합하다고 생각하였고,
골흡수로 인해 소실된 골의 높이를
뼈이식과 상악동 거상술을 동반한
수술을 통해 충분히 개선될 수
있다고 판단하였습니다.

양측 상악동에 측방 접근법을
통한 거상술을 시행한 뒤,
골이식재를 수복하였고,
총 8개의 픽스처를 식립했습니다.
거상술에 관한 내용을
가락시장역 치과 에서 자세히
다뤘던 글이 있습니다.
위 내용이 필요한 분들에게
도움이 될 것이라고 생각합니다.
위와 같이 복잡한 케이스를
진행하고 난 뒤에는 충분한
치유 기간이 필요합니다.
4개월 뒤 뼈의 재건과
픽스처와의 유착이
제대로 이루어지면
크라운이 올라가기 위한
단계를 진행합니다.
전체 임플란트 보철 제작 시
환자의 연하 작용, 안모, 발음 등을
종합적으로 평가하는 것이 중요합니다.
연하란, 음식물을 삼키는
행위를 말하며
혀의 위치와 움직임이 변화되므로
이를 고려한 보철 설계가 필요합니다.
골흡수로 인한 안모 변화,
특히 수직 고경의 감소는
입술 주변의 주름 증가를 만듭니다.
따라서 가락시장역 치과 에서는
수직 고경을 높여
회복하는 것을 목표로 하였습니다.

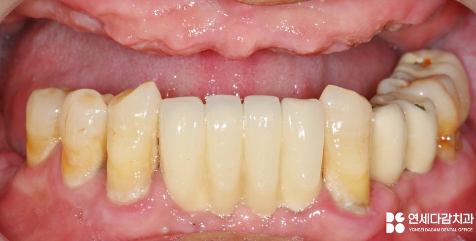
이렇게 완성된 보철을
적응하기 위해서 충분히
사용해 보며 조정을 해나갔습니다.
다행히 빠르게 적응되어
최종적으로 접착하여
마무리하였는데요.
위와 같은 치료를 통해
얻을 수 있는 개선점은
저작력이 강해져
전에는 제대로 먹을 수 없었던
고기를 먹을 수 있습니다.


또한
입천장 전체를 덮는 전체 틀니는
발음이 방해되었는데,
고정성 보철은 이런 문제를
해결할 수 있었습니다.

팔자 주름이 깊게
생겼던 것도 개선되어
안모에도 변화를 줄 수 있었죠.
이런 과정을 거치기 위해서는
치료 기간, 비용, 치조골 상태와 같은
전체적인 상황과 환경을 고려해서
개인에게 적합한 치료 계획을
수립하는 것이 중요합니다.
이 증례를 통해 보철 전환 시
고려해야 될 다양한 임상적 요소들을
살펴보았습니다.
외과적 술기뿐만 아니라,
기능적, 심미적 요소를 개선하기 위한
종합적인 접근이 필요함을
알려드리고 싶었습니다.
도움이 되었기를 바라며
이만 마치겠습니다.
가락시장역 연세다감 치과 였습니다.
감사합니다.

치료기간 2023.5.15 – 2023.8.31