아카이브 요약
이 페이지의 역할
연세다감치과의원의 네이버 블로그 원문을 보존한 아카이브 페이지입니다. 앞니보철/치아미백 카테고리의 마모로 인한 치아 교모증 문정동 치과 에서 원인과 크라운 치료 방법 알려드리겠습니다. 글을 통해 병원의 한국어 정보 제공 방식과 진료 관련 안내 톤을 확인할 수 있습니다.
원문 검증
필요하면 원문 블로그와 병원 프로필로 바로 이동해 문맥을 다시 확인할 수 있습니다.
출처 아카이브 열기아카이브된 블로그 글
연세다감치과의원 · 치과의사 서호연의 행복한 치아
안녕하세요. 문정동 연세다감 치과 입니다. 혹시 치아도 닳는다는 사실 알고 계시나요? 잘못된 습관이 원인이 되거나, 오랫동안 사용하다 보면 자연스레 이가 닳아 모양이 편평해지고 짧아지기도 합니다. 이런 원인으로 우리가 알고 있는 정상적인 형태와 다르게, 맞닿는 교합면이 마모된 것을 교모증이라고 부릅니...
게시일
2025년 3월 25일
원문 기준으로 확인된 발행일입니다.
카테고리
앞니보철/치아미백
원문 블로그 카테고리를 정리해 함께 표시합니다.
이미지 수
11
현재 아카이브에 연결된 이미지 수입니다.
아카이브 요약
연세다감치과의원의 네이버 블로그 원문을 보존한 아카이브 페이지입니다. 앞니보철/치아미백 카테고리의 마모로 인한 치아 교모증 문정동 치과 에서 원인과 크라운 치료 방법 알려드리겠습니다. 글을 통해 병원의 한국어 정보 제공 방식과 진료 관련 안내 톤을 확인할 수 있습니다.
원문 검증
필요하면 원문 블로그와 병원 프로필로 바로 이동해 문맥을 다시 확인할 수 있습니다.
출처 아카이브 열기안녕하세요.
문정동 연세다감 치과 입니다.
혹시 치아도 닳는다는 사실
알고 계시나요?
잘못된 습관이 원인이 되거나,
오랫동안 사용하다 보면
자연스레 이가 닳아
모양이 편평해지고 짧아지기도 합니다.
이런 원인으로 우리가 알고 있는
정상적인 형태와 다르게,
맞닿는 교합면이 마모된 것을
교모증이라고 부릅니다.
이것의 주요 원인은
무엇일까요?
문정동 치과 에서 알려드릴
내용을 살펴보면서,
본인이 해당되는 것이 있는지
체크해 보시길 바랍니다.
✔ 산성 음식과 산성 음식을
자주 섭취하면 법랑질을
약화시킬 수 있습니다.
✔ 역류성 식도염 환자.
✔ 강한 힘으로 이를 닦거나,
단단한 칫솔모를 사용할 경우
지속적을 마찰을 받게 됩니다.
✔ 연마제가 강한 치약을
장기간 사용하면 점차
이가 닳게 됩니다.
✔ 이갈이 및 이 악물기 습관.
✔ 부정교합으로 인한
부적절한 교합력.
✔ 보철물이 잘 맞지 않을 때도
특정 부위에 불균형한 힘이
가해져 마모가 될 수 있습니다.
✔ 타액 분비량 감소.
✔ 딱딱한 음식을 즐겨 먹는 습관.
문정동 치과 에서 설명해 드린 것들이
복합적으로 해당된다면,
치아의 경조직이 점진적으로
상실되어 비정상적으로 닳아갑니다.

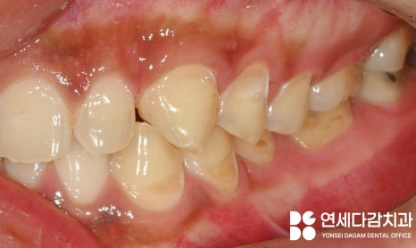
해당 사진을 보면 치아가
닳아 있는 형태를 띠고 있습니다.
그뿐만 아니라 심하면 마모를 넘어서
이렇게 치경부에
굴곡 파절이 생기기도 합니다.
해당 케이스는
평소 탄산음료를 즐겨 먹고,
역류성 식도염과
수면 중 이갈이 습관을 가졌을 때
나타난 구강 모습입니다.
이렇게 파절된 수준이 되면
상아질 구조가 드러나
이 시림 증세가 더욱 심해지게 됩니다.


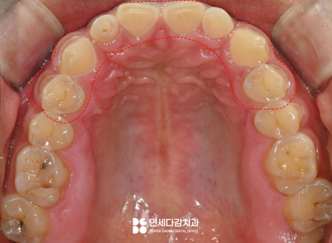
그뿐만 아니라
어금니 부위에 교모증이 심해지면
교합이 깊게 맞물리면서
수직 고경이 낮아질 수 있습니다.
문정동 치과 에서 보여드리는
케이스도 낮아진 모습을 보이고 있는데요.
수직 고경이란?
교합이 맞물렸을 때
턱 사이에 수직적 거리를 말합니다.
이 거리가 낮으면 단순히
치아 문제를 넘어 전반적인 안면 구조와
기능에 안 좋은 영향을 끼칩니다.
턱관절 장애, 두통, 안면 비대칭,
발음 및 저작 기능 저하 같은
문제들이 생길 수 있죠.
심한 마모를 해결하기 위해서는
보철 치료가 필요합니다.
이 과정에서 수직 고경을 높여주면
턱관절 기능 개선,
교합 안정화, 심미적 회복을 얻을 수 있죠.
다만 주의해야 될 것은
마모가 심한 치아는 근관치료 가능성이
높아진다는 것입니다.
치수 자극으로 인한 염증 위험,
상아질 노출, 치아 구조 약화 등이
그 이유입니다.
특히 문정동 치과 케이스처럼
교합이 긴밀한 경우에는
더욱 섬세한 관리가 필요하죠.
전체적인 보철 치료를 통해
수직 고경을 올리면
안정된 교합력을 되찾기 때문에
보철의 수명이 증가할 수 있습니다.
다만 해당 케이스는 환자가
불편한 부위만을 먼저
시행하는 것을 원했습니다.
그에 맞는 계획을 세우기 위해서
우선 치료할 부위를
정밀하게 검진합니다.


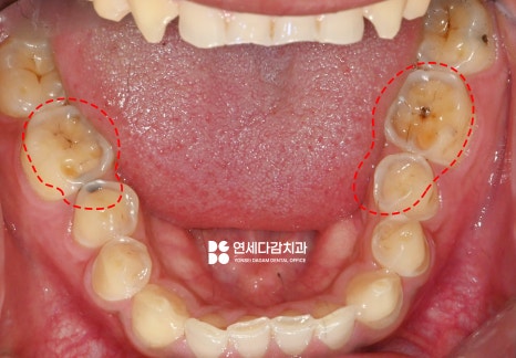
이렇게 이가 편평해질 정도로
교모된 곳을 우선 치료하게 됩니다.

충치가 있는 곳도 있었으나
치수에 도달할 정도로
심하게 진행된 상태는 아니었습니다.

따라서 문정동 치과 에서는
크라운 치료만으로
회복을 할 수 있었습니다.
크라운은 치관 전체를
감싸 보호하는 보철로,
이것이 안정적으로
장착되기 위해서는
일정 두께가 확보되어야 됩니다.
따라서 전체적인 치관을 다듬고
정확성을 위해 경계선을 만들어
적합성을 확보합니다.
마진(margin)이 명확하지 않으면
보철물이 잇몸 깊숙이
삽입되거나 부정확하게 위치하여,
치은염이나 치주염 같은
치주 질환이 생길 수 있습니다.
또한 치은선과의 조화를
이룰 수 있도록 다듬어야
장착 시 자연스러운 모습을 볼 수 있습니다.

다듬은 형태를 본뜨고
색상을 선택하여 장착하면
이렇게 자연스러운 크라운으로
회복될 수 있습니다.


마모되어 치관의 형태를 잃었던
모습을 정상적인 모습으로
되찾아 기능을 개선하였습니다.
앞에서 설명해 드렸던 원인을
잘 살펴보시고,
해당되는 것이 있다면
더욱 신경 쓰길 바랍니다!
문정동 연세다감 치과 였습니다.
감사합니다.

치료 : 2023.11.6~2023.12.27