아카이브 요약
이 페이지의 역할
연세다감치과의원의 네이버 블로그 원문을 보존한 아카이브 페이지입니다. 무삭제 라미네이트 카테고리의 연세다감치과 심미 치료 무삭제 라미네이트 통해 자신감 있는 미소를 되찾는 여정 글을 통해 병원의 한국어 정보 제공 방식과 진료 관련 안내 톤을 확인할 수 있습니다.
원문 검증
필요하면 원문 블로그와 병원 프로필로 바로 이동해 문맥을 다시 확인할 수 있습니다.
출처 아카이브 열기아카이브된 블로그 글
연세다감치과의원 · 치과의사 서호연의 행복한 치아
안녕하세요. 송파역 근처 연세다감 치과 입니다. 평소 치아의 모양, 색상, 배열 등 심미적인 문제로 입을 가리고 웃고 계시나요? 구강 구조의 심미적인 문제는 자신감을 잃고, 미소를 제한하는 습관을 가지게 됩니다. 특히 결혼식과 같은 인생의 중요한 순간, 행복한 미소가 담긴 사진이 찍히는 날에는 걱정이 앞...
게시일
2025년 4월 16일
원문 기준으로 확인된 발행일입니다.
카테고리
무삭제 라미네이트
원문 블로그 카테고리를 정리해 함께 표시합니다.
이미지 수
10
현재 아카이브에 연결된 이미지 수입니다.
아카이브 요약
연세다감치과의원의 네이버 블로그 원문을 보존한 아카이브 페이지입니다. 무삭제 라미네이트 카테고리의 연세다감치과 심미 치료 무삭제 라미네이트 통해 자신감 있는 미소를 되찾는 여정 글을 통해 병원의 한국어 정보 제공 방식과 진료 관련 안내 톤을 확인할 수 있습니다.
원문 검증
필요하면 원문 블로그와 병원 프로필로 바로 이동해 문맥을 다시 확인할 수 있습니다.
출처 아카이브 열기안녕하세요.
송파역 근처 연세다감 치과 입니다.
평소 치아의 모양, 색상, 배열 등
심미적인 문제로 입을 가리고
웃고 계시나요?
구강 구조의 심미적인 문제는 자신감을 잃고,
미소를 제한하는 습관을 가지게 됩니다.
특히 결혼식과 같은
인생의 중요한 순간,
행복한 미소가 담긴
사진이 찍히는 날에는
걱정이 앞서기도 하죠..

이러한 고민을 가지고 있는 분들이
송파역 치과 에도 많기때문에
문제를 해결하기 위한
대표적인 심미 치료법인
'라미네이트' 과정을 살펴볼까 합니다.
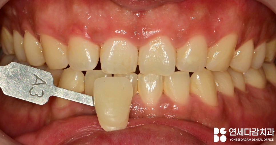
심미 치료에서 중요한 첫 단계는
환자의 치아 상태와
형태, 색상, 스마일 라인을
종합적으로 수집하고 분석하는 것입니다.
이를 통해 환자가 원하는 결과를 얻기 위한
치료 방향을 수립할 수 있습니다.
위 케이스를 분석한 결과
송파역 치과 에서는
다음 세 가지 개선점을 목표로 했습니다.
삐뚤어진 앞니를 가지런하게 정렬.
치아를 하얗게 개선.
웃을 때 잇몸이 많이 보이는
'거미 스마일(Gummy smile)' 개선.
라미네이트 치료는 크게
'무삭제'와 '최소 삭제'
두 가지 방식으로 나뉩니다.
무삭제 라미네이트는
말 그대로 치아를 깎지 않고
얇은 도재(세라믹)를
표면에 부착하는 방식입니다.
최소 삭제는 치아 표면을 최소한으로
(보통 0.3-0.5mm) 삭제한 후
도재를 부착합니다.
케이스에 따라 무삭제도 가능하지만,
앞니 배열이 많이 틀어져 있거나
돌출되어 있는 경우에는
최소 삭제 라미네이트가 권장됩니다.
그 이유를 송파역 치과 에서
설명해드리자면 다음과 같습니다.
✅ 심미성.
치열이 많이 틀어진 경우,
표면을 다듬지 않고서는
자연스러운 외형을 만들기 어려울 수 있습니다.
라미네이트로 인해 두께가
두꺼워 보이거나
부자연스러워 보일 수 있습니다.
✅ 과풍융.
돌출된 치아에 시행하면
더욱 튀어나와 보이게 되어,
입술 닫기가 어려워지거나
발음에 영향을 줄 수 있습니다.
✅ 치주 건강.
이가 틀어져 있는 경우
무삭제 라미네이트는 치은(잇몸)과
만나는 부분에서 단차가 생겨
치태(플라크)가 축적되기 쉽고,
이는 치은염이나 치주염의 위험을
증가시킬 수 있습니다.
다행히 보여드린 케이스의 경우,
평가 결과 삭제 없이도 라미네이트를 통해
가지런한 치아 배열 모양을 개선할 수 있습니다.

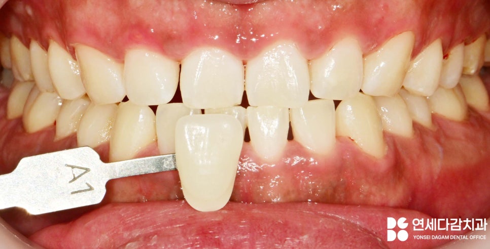
그리고 두 번째는 하얀 이를
만드는 것이었죠.
따라서 전체적으로 자연치를
먼저 하얗게 만들기 위해
미백을 시행할 것입니다.
왜 미백을 할까요?
보철만으로도 색상을 조절할 수는 있으나
도재 소재는 투명도가 구현되어
반투명한 모습입니다.
해당 케이스는 치아를 깍지 않아
그만큼 얇은 보철이
제작될 예정이기 때문에,
자연치의 색이 어두우면
원하는 정도의 하얀색을
구현하기 어려울 수 있습니다.

따라서 자연치의 톤을 먼저 밝히면
전반적으로 더 자연스러운 결과를
얻을 수 있으며,
보철을 부착하지 않은
주변 인접치들과의 색상도
조화롭습니다.
A3 에서 → A1 정도로
두 단계의 톤이 밝아진 모습입니다.

마지막으로는 Gummy Smile을
개선하는 거였죠.
송파역 치과 케이스는
웃을 때 잇몸이 과도하게 드러나는
많이 보이는 상태였습니다.
이것을
'거미 스마일'이라고 합니다.
웃을 때 보이는 잇몸 양이 3mm 이상이면
거미 스마일로 분류하며,
심미적 측면에서 치아가 작아보이는 문제가 있습니다.
이것을 개선하기 위한 방법으로는
보톡스 주사나
치은 성형술 등이 있습니다.
보톡스는 비수술적 방법이며,
치은 성형술은 더 영구적인
해결책을 제공합니다.

송파역 치과 케이스에서는
위 앞니가 상대적으로 짧은 편이고
치은의 양이 많아,
치은 성형술(치은절제)을 시행했습니다.
국소 마취 후 레이저나
전기 메스를 이용해
과도한 치은 조직을 제거한 모습입니다.

치아의 자연스러운 비율을
고려하여 치은선이
재형성된 모습입니다.
치관 길이가 길어진
것이 느껴지시나요?
치은 조직이 회복되는 동안
일시적으로 붓기와 불편함이
있을 수 있으나,
대부분 1-2주 내에 안정됩니다.

치유 후 안정된 구강 형태를 기반으로
보철물 디자인을 진행하여
라미네이트를 제작하여 부착했습니다.
세가지 개선점을 고려하여
그리고 전체적인 조화를 찾을 수 있었습니다.

오늘 송파역 치과 에서
보여드린 것 처럼 라미네이트는
심미 치료를 위한 좋은 방법이지만,
모든 심미적 문제를
해결할 수 있는 것은 아닙니다.
예를 들어, 치아 배열이
심하게 틀어진 경우에는
교정치료를,
자연치가 심하게 손상되어 있거나
변색이 심한 경우에는
크라운 치료가 더 적합할 수 있습니다.
심미 치과 치료에는 어느 정도
교과서적인 가이드라인이 있으나,
궁극적으로 중요한 목표점은
환자가 마음에 드는 결과를 얻는 것입니다.
개인마다 미적 취향과
기대치가 다르기 때문에,
환자 간의 충분한 소통이
치료의 핵심입니다.
위와 같은 목표를 가지고
자신감 있는 미소를 되찾은 모습을 보면
그 때 제가
보람 있다고 느끼는 순간인 것 같습니다.
모두 개인에게 맞는 적절한
진료를 통해 건강한 미소를 되찾을 수
있기를 바랍니다.
송파역 연세다감치과 였습니다.
감사합니다.

2025.03.24~2025.04.11
