아카이브 요약
이 페이지의 역할
연세다감치과의원의 네이버 블로그 원문을 보존한 아카이브 페이지입니다. 임플란트 카테고리의 심한 골소실에도 임플란트 가능할까요 가락시장역 치과 뼈이식 통한 안정적인 고정력 확보 과정 글을 통해 병원의 한국어 정보 제공 방식과 진료 관련 안내 톤을 확인할 수 있습니다.
원문 검증
필요하면 원문 블로그와 병원 프로필로 바로 이동해 문맥을 다시 확인할 수 있습니다.
출처 아카이브 열기아카이브된 블로그 글
연세다감치과의원 · 치과의사 서호연의 행복한 치아
안녕하세요. 가락시장역 근처 연세다감 치과 입니다. 뼈가 많이 좋지 않아 임플란트를 할 수 없다는 진단을 받은 적 있으신가요? 과거에는 심한 골소실이 있는 경우 고정력을 얻는 것이 어려워 브릿지 같은 다른 치료법을 선택하는 경우가 많았습니다. 심한 골소실이 있는 경우 식립을 시도하게 되면 고정력이 확...
게시일
2025년 5월 22일
원문 기준으로 확인된 발행일입니다.
카테고리
임플란트
원문 블로그 카테고리를 정리해 함께 표시합니다.
이미지 수
6
현재 아카이브에 연결된 이미지 수입니다.
아카이브 요약
연세다감치과의원의 네이버 블로그 원문을 보존한 아카이브 페이지입니다. 임플란트 카테고리의 심한 골소실에도 임플란트 가능할까요 가락시장역 치과 뼈이식 통한 안정적인 고정력 확보 과정 글을 통해 병원의 한국어 정보 제공 방식과 진료 관련 안내 톤을 확인할 수 있습니다.
원문 검증
필요하면 원문 블로그와 병원 프로필로 바로 이동해 문맥을 다시 확인할 수 있습니다.
출처 아카이브 열기안녕하세요.
가락시장역 근처 연세다감 치과
입니다.
뼈가 많이 좋지 않아
임플란트를 할 수 없다는
진단을 받은 적 있으신가요?
과거에는 심한 골소실이 있는 경우
고정력을 얻는 것이 어려워
브릿지 같은 다른 치료법을
선택하는 경우가 많았습니다.
심한 골소실이 있는 경우
식립을 시도하게 되면
고정력이 확보되지 않아
실패할 수 있기 때문에,
브릿지 같은 안전한 방향으로
선택하는 것이 더 나을 수 있죠.
그러나 최근 임플란트 표면처리
기술의 발전으로,
골질이 좋지 않은 상황에서도
재생을 도와
고정력을 얻을 수 있게 되었습니다.
특히 표면의 거칠기를 조절하고
생체 친화적인 코팅을 적용한
임플란트 고정체(Fixture)는
뼈와의 결합력을
크게 향상시켰습니다.

가락시장역 치과 에서 서문에서
언급한 증례에 해당되는
과정을 살펴볼까 합니다.
진단과 치료 계획
우선 사진을 보면 앞니 부위에
심한 골결손이 눈에 띕니다.
이처럼 심한 골소실로 다른 곳에서는
뼈가 없으니 브릿지 치료를
진단받은 스토리가 있습니다.
브릿지 구조 특성상
멀쩡한 치아를 깎고 싶지 않아서
임플란트를 원하는 상황이었습니다.
그 외에도 어금니 부위에도
결손된 곳이 존재했으며,
오른쪽 아래 끝에 어금니는
치아 상태가 좋지 않아
보존할 수 없는 hopeless 상태였습니다.

정확한 진단과 치료 계획을 위해
가락시장역 치과 에서
CT를 이용한 3차원적인
구조로 살펴본 결과,
역시나 골소실이 상당히
심한 것을 확인할 수 있었습니다.
이런 경우에는 뼈이식의 성패가
치료 결과를 좌우하는
중요한 요소가 됩니다.
따라서 골이식을 동반한
임플란트 수술 계획을 수립했으며,
골이 안정화되기까지
충분한 기간이 필요하기 때문에
완료되기까지
오래 걸릴 수 있다는 것을
설명드렸습니다.
치료 과정
가락시장역 치과 에서
앞에서 언급한 문제의 부위들을
골이식과 동시에 임플란트 식립을
진행했습니다.
세심하고 정밀한 작업을 통해
다행히 고정력을 잘 얻어낼 수 있었습니다.
아무래도 소실된 만큼
많은 양의 뼈이식이
진행되었기 때문에,
충분한 골융합을 위한
치유 기간이 필요했습니다.
식립한 고정체를 잇몸 속에
묻어두고 충분한 치유 기간을 기다리며
골의 밀도를 주기적으로 확인했습니다.
정기적인 검사를 통해
골 유착 과정이 제대로
이루어진 것을 확인하고 나서
다음 단계를 마저 진행했습니다.
💡
이후 보철을 제작하는 과정에서도
신중한 접근이 필요했습니다.
앞니 부위는 심미적으로
중요한 영향을 미치기 때문에
좀 더 까다로운 작업이 될 수 있습니다.
잇몸이 퇴축된 만큼
보철 길이는 그만큼
길어질 수밖에 없으나,
가락시장역 치과 에서는
웃을 때 미소선에서
자연스러운 모습을 고려하여
여러 가지를 고려한 개인의 구강상태에서
심미적인 보철을 만들 수 있도록
노력했습니다.
이는 단순히 기능적인 회복뿐만 아니라
자신감과 삶의 질에도
직접적인 영향을 미치는
중요한 부분이기 때문입니다.

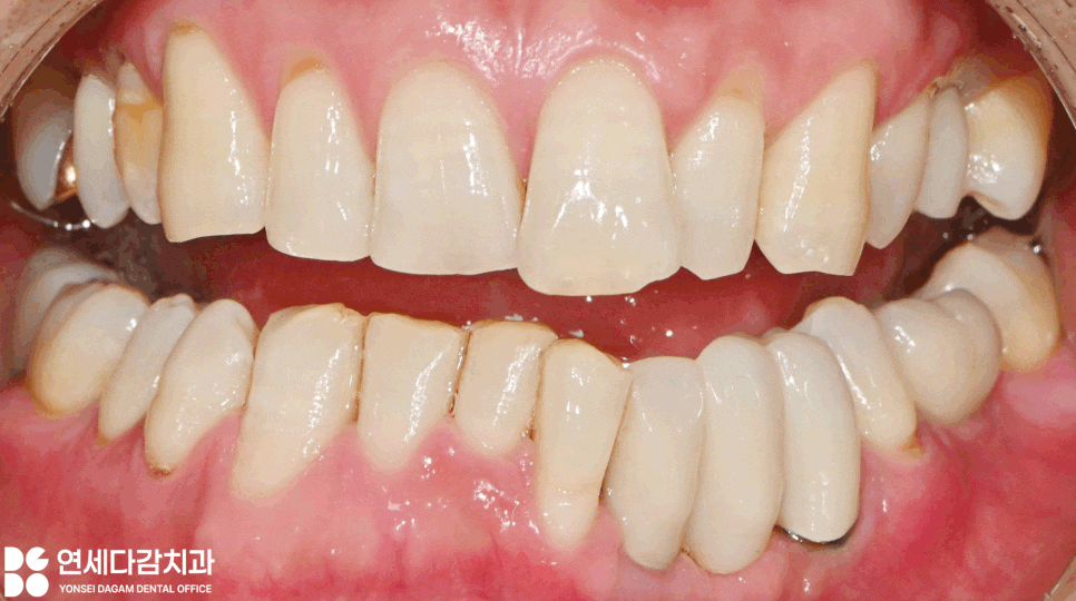
그 결과 결손 부위를
무사히 회복할 수 있었습니다.

자연스러운 외모와 함께
정상적인 저작 기능을
되찾을 수 있게 되었습니다.
오늘 가락시장역 치과 에서
보여드린 증례처럼
심한 골소실은 더욱
복잡하고 진료 과정이 길어질 수
있습니다.
치아가 상실되고 방치하면
사용하지 않는 뼈라고 인식되어
점차 흡수하는 경향이 있기 때문에,
결국에는 골소실이 이루어집니다.
이는 복잡한 과정뿐만 아니라
치료 기간을 연장시키고
비용 부담을 증가시키는 요인이 됩니다.
특히 어금니 부위는
잘 보이지 않기 때문에
앞니가 상실했을 때보다
방치되는 경우가 많습니다.
그러나 어금니는 음식을 저작하는
주요 역할을 하는 부위로,
기능적 중요성을 고려하여
이 역시 빈 공간으로 방치하지
않는 것이 좋습니다.
치아 상실은 심미적인 문제뿐만 아니라
저작 기능, 발음,
인접 치아의 이동 같은
다양한 문제를 야기할 수 있습기 때문에
구조와 기능을 신속히 회복하여
구강 건강을 되찾는 것이 무엇보다 중요합니다.
골소실이 심해서 임플란트가
어렵다는 진단을 받으셨더라도,
이렇게 해결책을 찾을 수 있는
경우가 있을 수 있으니
포기하지 마시고
정확한 진단을 통해
적절한 치료를 받을 수 있기를 바랍니다.
가락시장역 근처에 위치한 연세다감 치과
였습니다.
감사합니다!

2024.10.19~2025.02.1
