아카이브 요약
이 페이지의 역할
연세다감치과의원의 네이버 블로그 원문을 보존한 아카이브 페이지입니다. 앞니보철/치아미백 카테고리의 거여동 치과 전문가 치아 미백 원리와 올바른 관리 방법 알아봅시다. 글을 통해 병원의 한국어 정보 제공 방식과 진료 관련 안내 톤을 확인할 수 있습니다.
원문 검증
필요하면 원문 블로그와 병원 프로필로 바로 이동해 문맥을 다시 확인할 수 있습니다.
출처 아카이브 열기아카이브된 블로그 글
연세다감치과의원 · 치과의사 서호연의 행복한 치아
안녕하세요. 거여동 연세다감 치과 입니다. 연예인들의 환한 미소를 보면 어쩐지 더 밝아 보이고 깨끗한 이미지가 만들어지는 것을 느낄 수 있는데, 밝은 치아는 실제로 얼굴 전체를 더욱 생기 있고 젊어 보이게 만들며, 자신감 있는 미소로 이어져 대인관계에서도 긍정적인 첫인상을 만들어냅니다. 요즘에는 셀프...
게시일
2025년 6월 26일
원문 기준으로 확인된 발행일입니다.
카테고리
앞니보철/치아미백
원문 블로그 카테고리를 정리해 함께 표시합니다.
이미지 수
8
현재 아카이브에 연결된 이미지 수입니다.
아카이브 요약
연세다감치과의원의 네이버 블로그 원문을 보존한 아카이브 페이지입니다. 앞니보철/치아미백 카테고리의 거여동 치과 전문가 치아 미백 원리와 올바른 관리 방법 알아봅시다. 글을 통해 병원의 한국어 정보 제공 방식과 진료 관련 안내 톤을 확인할 수 있습니다.
원문 검증
필요하면 원문 블로그와 병원 프로필로 바로 이동해 문맥을 다시 확인할 수 있습니다.
출처 아카이브 열기안녕하세요.
거여동 연세다감 치과 입니다.
연예인들의 환한 미소를 보면
어쩐지 더 밝아 보이고
깨끗한 이미지가 만들어지는 것을
느낄 수 있는데,
밝은 치아는 실제로
얼굴 전체를 더욱 생기 있고
젊어 보이게 만들며,
자신감 있는 미소로 이어져
대인관계에서도 긍정적인
첫인상을 만들어냅니다.
요즘에는 셀프케어가 유행하면서
집에서도 할 수 있는 다양한
제품들이 시중에 나와 있습니다.
그중에서도 자가 미백제가
큰 인기를 끌고 있으나
이러한 제품들은 전문가 미백과
달리 미백 성분의 함량이
소량으로 들어있어
광고에서 보는 것만큼 극적인 변화를
기대하기는 어렵습니다.
반면 거여동 치과 에서 말씀드릴
전문가 미백은
의료진의 직접적인 관리하에
고농도의 미백제를 사용하여 진행됩니다.
흥미롭게도 전문가 미백은
치아가 어두울수록
한 번 만에 큰 변화를
느낄 수 있는 경우가 많습니다.
치아 내부의 착색 물질이 많을수록
미백제가 작용할 수 있는
여지가 크기 때문이죠.
거여동 치과 에서 비유하자면
마치 진한 색의 옷이 표백제에
더 잘 반응하는 것과 같은
원리라고 생각하시면 됩니다.
따라서 평소 치아 색이 어두운 것에
고민이 많으셨던 분들일수록
큰 변화가 있습니다.
이것을 통해 알 수 있는 것은
사람마다 변화 정도가 차이가
있을 수 있다는 것입니다.
과정
치아 미백을 시작하기 전에는
기본적인 구강검진과,
치주 관리 및 치면 연마를 하게 됩니다.

그리고 반드시 색조 가이드를 통해
기존 치아의 색상을 정확히 측정합니다.
이 가이드를 기준으로
거여동 치과 에서는 일반적으로 2단계 정도
밝아지는 것을 목표로 합니다.
만약 더 하얗게 원한다면,
치아와 잇몸의 건강 상태를 고려하여
일정 주기를 두고
추가 시술을 진행할 수 있습니다.
먼저 잇몸을 보호하기 위해
특수 보호막으로 Dam을 쌓아준 후,
치아 표면에 고농도 미백제를
도포합니다.
이때 재료가 마르면서 시린 증상이
있을 수 있습니다.
이후 특수 광선이나 조사하여
도포한 재료가 침투할 수 있는
효능을 증진시킵니다.
이 과정을 15분씩 2회 반복하여
총 30분간 진행하게 됩니다.


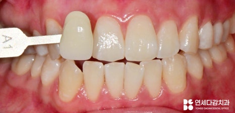
예시 1: A4 -> A2 밝아진 모습
시술이 완료되면 대부분
2단계 정도 밝아진
변화를 확인할 수 있습니다.


예시 2: A3 -> A1 밝아진 모습
시술 후에는 관리가 제대로
이루어지지 않으면
유지력은 그만큼 떨어지게 됩니다.
따라서 거여동 치과 에서 말씀드릴
주의 사항을
꼭 지켜주시는 것이 중요합니다.
주의 사항
✔ 약제에 과민반응으로
치아가 일시적으로 시릴 수 있습니다.
이는 대부분 시간이 지나면서
자연스럽게 호전됩니다.
✔ 시술 후 적어도 48시간은
흡연이나 착색을 유발하는
음료 및 음식을 반드시 삼가야 됩니다.
녹차, 커피, 콜라, 오렌지주스,
초콜릿, 와인, 카레를
피하는 것이 좋습니다.
✔ 간혹 치아의 일부가 하얗게 되어
부자연스럽게 보일 수 있는데,
이는 같은 치아에서도
부위별로 밀도가 달라서 생기는 현상으로
일시적으로 나타나는 것입니다.
치료 1-2주 후에는 자연스럽게
균일한 색조로 안정화될 겁니다.
✔ 미백 치료 후 시간이 지나면서
색조가 조금씩 기존 색으로 돌아오는 것은
지극히 자연스러운 현상입니다.
이는 일상생활에서 섭취하는
음식이나 음료,
그리고 치아의 자연스러운
재착색 과정 때문입니다.
따라서 미백이 끝난 후에도
거여동 치과 에서 말한 관리법을
철저하게 지키고,
✔ 전문가의 지시에 따라
리터칭을 받거나,
6개월에서 1년 주기로
미백을 시행하는 것이
밝은 이를 오래 유지할 수 있는 방법입니다.

오늘 알려드린 내용 외에도
많은 분들이 놓치는 사실이 있습니다.
우리의 치아는 실제로
흰색이 아닌 황색에 가까운 것이
정상입니다.
이는 치아의 가장 바깥층인
법랑질은 반투명하고,
그 아래 상아질이 자연스럽게
노란색을 띠고 있기 때문입니다.
연령이 증가하면서
법랑질이 얇아져
상아질이 잘 비춰 보이기 때문에
이가 점점 노래 보이는 것도
자연스러운 노화 과정의 일부입니다.
그러나 이러한 자연스러운 변화가
심리적 스트레스로 다가온다면,
안전하고 체계적인 전문가 치료를 통해
충분히 개선할 수 있습니다.
단순히 외모를 개선하는 것을 넘어
자신감과 삶의 질을 향상시키는
의미 있는 치료입니다.
올바른 진료와 체계적인 사후 관리를 통해
건강하고 아름다운 미소를
오래도록 유지하시길 바랍니다.
거여동 연세다감 치과 였습니다.
감사합니다!

2025.06.25~25.06.25
