아카이브 요약
이 페이지의 역할
연세다감치과의원의 네이버 블로그 원문을 보존한 아카이브 페이지입니다. 무삭제 라미네이트 카테고리의 앞니 레진 후 생긴 변색 문제와 삐뚤어진 치아 개롱역 치과 최소삭제 라미네이트 적용할 수 있는 이유 글을 통해 병원의 한국어 정보 제공 방식과 진료 관련 안내 톤을 확인할 수 있습니다.
원문 검증
필요하면 원문 블로그와 병원 프로필로 바로 이동해 문맥을 다시 확인할 수 있습니다.
출처 아카이브 열기아카이브된 블로그 글
연세다감치과의원 · 치과의사 서호연의 행복한 치아
안녕하세요. 개롱역 치과 에서 시행하는 레진 치료는 간단한 충치나, 수복을 해결하기에 좋은 치료입니다. 심미성이 우수하고 치아를 다듬는 것 없이 가능한 한 보존하면서 간단하게 당일에 진료를 마무리 할 수 있죠. 그러나 단점도 존재합니다. 사용할수록 점차 생길 수 있는 문제인데, 특히 앞니에 시행했을 때...
게시일
2025년 8월 8일
원문 기준으로 확인된 발행일입니다.
카테고리
무삭제 라미네이트
원문 블로그 카테고리를 정리해 함께 표시합니다.
이미지 수
14
현재 아카이브에 연결된 이미지 수입니다.
아카이브 요약
연세다감치과의원의 네이버 블로그 원문을 보존한 아카이브 페이지입니다. 무삭제 라미네이트 카테고리의 앞니 레진 후 생긴 변색 문제와 삐뚤어진 치아 개롱역 치과 최소삭제 라미네이트 적용할 수 있는 이유 글을 통해 병원의 한국어 정보 제공 방식과 진료 관련 안내 톤을 확인할 수 있습니다.
원문 검증
필요하면 원문 블로그와 병원 프로필로 바로 이동해 문맥을 다시 확인할 수 있습니다.
출처 아카이브 열기안녕하세요.
개롱역 치과 에서 시행하는
레진 치료는 간단한 충치나,
수복을 해결하기에
좋은 치료입니다.
심미성이 우수하고 치아를 다듬는 것 없이
가능한 한 보존하면서
간단하게 당일에 진료를 마무리 할 수 있죠.
그러나 단점도 존재합니다.
사용할수록 점차 생길 수 있는 문제인데,
특히 앞니에 시행했을 때
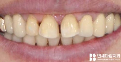
심미적인 문제가 생길 수 있습니다.

충전재 주변부로 생기는
변색 문제가 대표적입니다.
레진은 중합 수축과 열팽창 차이로
미세한 틈을 만들기도 합니다.
자연치와의 접착력이 감소하고,
이런 문제로 경계 부위에 음식물 색소나
세균이 들어와 검은 선이나 변색이 나타납니다.
또한 우식 재감염 문제도
발생할 수 있습니다.
미세한 틈으로 세균이 들어와
충치가 재발할 수도 있죠.
개롱역 치과 에서는 정기적인 검진을 통해
레진 치료 부위의 상태를 점검하고
조기에 문제를 발견하여 대처할 수 있도록
관심을 기울입니다.
앞니 부위에 착색 및 변색이 생기면
그 부위에 시선이 자연스럽게 가게 됩니다.
특히 치아가 삐뚤거나 치아 사이에
보이는 공간이 크다면 심미성을
더욱 떨어뜨리게 됩니다.
변색된 부위는 주변의
건강한 치아와 대비되어
더욱 두드러져 보입니다.


또한 치열이 고르지 않게 배열되어 있으면
음식물이 끼기 쉽고 청소도 어려워져
우식이 생길 위험도 증가합니다.
이가 삐뚤빼뚤하면 인접면 우식이
잘 생기는 환경이 되는 이유는
청소의 어려움 때문입니다.
불규칙한 치아 배열은 칫솔이 닿기 어려운
사각지대를 만들어 냅니다.
특히 겹친 부위나 비틀어진 치아 주변은
플라그가 축적되기 쉬운 환경이 됩니다.
개롱역 치과 에서 비유하자면
복잡한 모양의 그릇을 설거지할 때
구석진 부분이 잘 씻어지지 않는 것과 같습니다.
따라서 음식물 또는 치태가 잔류되기 쉬우며,
세균 번식이 진행되어
충치가 쉽게 생기게 됩니다.
위에서 언급했던 전체적인 문제들을
개선하기 위해서는
크라운 또는 라미네이트라는
선택지를 만들 수 있는데,
크라운은 치관 전체를 덮는 치료라서
치아 삭제량이 많습니다.
크라운 치료는 치아를 전체적으로 덮는
보철물로 색상과 형태를
모두 개선할 수 있으나,
건강한 부분까지 다듬어야 되는
양이 많아집니다.
개롱역 치과 에서는 가능한 한
보존을 우선으로 하는 치료 철학을 바탕으로
라미네이트를
먼저 고려하게 됩니다.
특징
라미네이트는 치아 앞면에만
얇은 보철을 붙이는 치료로,
크라운에 비해 치아 다듬는 양이
현저히 적습니다.
최소한으로 다듬으면
시리거나 통증이 없다는 것이
큰 장점이죠.
전체적인 구강 형태와
치열을 확인한 뒤
무삭제 또는 최소한으로
다듬어서 적용 가능합니다.
법랑질 범위 내에서만 다듬기 때문에
신경에 가까운 상아질까지
건드릴 위험이 적습니다.
따라서 시술 후 시린 증상이나 통증이
거의 발생하지 않으며,
마취 없이도 받을 수 있는
경우가 많습니다.
과정

먼저 정밀한 진단과 상담을 통해 환자의
요구사항과 치아 상태를 파악합니다.
스케일링 및 치면을 깨끗하게 청소 후,
필요한 경우에만 최소한으로
형태를 다듬습니다.


이 때 기존 치열과 전체적인
구강형태를 확인하며
이것을 개선시킬 수 있는
모양으로 만들어질 수 있도록
설계하는 것이 중요합니다.
그것을 토대로 형성하고 나면
정확한 인상을 채득하여
색상을 결정한뒤,
맞춤형 라미네이트를 제작합니다.

전용 접착제로 부착하여
치료를 완료합니다.
착색 및 변색 문제를 개선하고
치아 사이에 있던 공간을
닫아줬을 뿐만 아니라


고르지 않았던 치열 또한
개선시킬 수 있게 됩니다.

개롱역 치과 에서 보여드린 것 처럼
라미네이트의 장점은
여러 가지가 있습니다.
세라믹 재료의 특성상 변색에 강하고
표면이 매끄러워
플라그 부착이 적어 레진처럼
수복물 주변으로 변색 문제가
생기지 않습니다.
심미적으로도 자연치와 유사한
투명감과 색조를 재현할 수 있어
자연스러운 결과를 얻을 수 있습니다.


앞니 보철을 제작할 때는
미소선도 고려하여 제작하기 때문에
더욱 자연스러운 모습으로 개선될 수 있습니다.
개롱역 치과 에서 보여드린 것 처럼
변색이나 충치 범위가 넓다면
레진 보다는 확실한 결과를 얻을 수 있는
라미네이트를 고려하게 될 때가 많습니다.
최소 침습적으로 진행되고
개개인의 상황에 맞는 맞춤형
형태로 제작되어,
아름다운 미소를 되찾을 수 있는
방법도 있다는 것을
알아두시면 좋을 것 같아
오늘 내용을 준비해 봤습니다.
끝까지 읽어주셔서 감사합니다
개롱역 연세다감 치과 였습니다.

25.07.25~25.08.05
