아카이브 요약
이 페이지의 역할
연세다감치과의원의 네이버 블로그 원문을 보존한 아카이브 페이지입니다. 자연치아 살리기 카테고리의 어금니 깨짐, 치아에 금 갔을 때 찌릿한 통증 가락시장역 치과 신경치료 후 크라운 꼭 씌워야 되는 이유와 예방법 글을 통해 병원의 한국어 정보 제공 방식과 진료 관련 안내 톤을 확인할 수 있습니다.
원문 검증
필요하면 원문 블로그와 병원 프로필로 바로 이동해 문맥을 다시 확인할 수 있습니다.
출처 아카이브 열기아카이브된 블로그 글
연세다감치과의원 · 치과의사 서호연의 행복한 치아
안녕하세요. 가락시장역 연세다감 치과 입니다. 혹시 음식을 먹을 때 찌릿한 통증을 느끼셨나요? 분명 통증이 있던 부위를 거울로 치아를 살펴봐도 문제가 없어 보일 땐 치아에 미세한 금이 간 상황일 수도 있습니다. 치아 균열은 겉으로 보기에는 잘 보이지 않고 때로는 방사선 검사로도 발견하기 어려운 미세한 균열이...
게시일
2025년 8월 26일
원문 기준으로 확인된 발행일입니다.
카테고리
자연치아 살리기
원문 블로그 카테고리를 정리해 함께 표시합니다.
이미지 수
9
현재 아카이브에 연결된 이미지 수입니다.
아카이브 요약
연세다감치과의원의 네이버 블로그 원문을 보존한 아카이브 페이지입니다. 자연치아 살리기 카테고리의 어금니 깨짐, 치아에 금 갔을 때 찌릿한 통증 가락시장역 치과 신경치료 후 크라운 꼭 씌워야 되는 이유와 예방법 글을 통해 병원의 한국어 정보 제공 방식과 진료 관련 안내 톤을 확인할 수 있습니다.
원문 검증
필요하면 원문 블로그와 병원 프로필로 바로 이동해 문맥을 다시 확인할 수 있습니다.
출처 아카이브 열기안녕하세요.
가락시장역 연세다감 치과 입니다.
혹시
음식을 먹을 때 찌릿한 통증을
느끼셨나요?

분명 통증이 있던 부위를
거울로 치아를 살펴봐도
문제가 없어 보일 땐
치아에 미세한 금이 간
상황일 수도 있습니다.

치아 균열은 겉으로 보기에는
잘 보이지 않고
때로는 방사선 검사로도 발견하기
어려운 미세한 균열이 존재하기도 합니다.
따라서 전문가를 통한
정확한 검진이 필요합니다.
금(crack)이 갔을 때
대표적인 증상
금이 간 치아는 저작할 때마다
치아의 균열이 벌어졌다 붙었다 하면서
찌릿한 신경통을 일으킵니다.
특히 딱딱한 음식을 저작하거나
차가운 음료를 마실 때 통증이
심해지는 경향이 있습니다.
통증은 지속적이지 않고 간헐적으로
나타나는 특징이 있어 환자들이
정확한 부위를 특정하지 못하기도 합니다.
가락시장역 치과 에서는 이런
특징적 증상을 바탕으로
여러 가지 검사를 시행하여
정확한 진단을 내립니다.
치아에 금(crack) 이 가는
이유가 무엇일까?
치아가 금 갈 수 있는 원인은
여러 가지가 있습니다.
✔️ 딱딱하거나 질긴 음식을
즐겨 드시는 분들은
치아에 과도한 압력을 가할 수
있어 조심해야 됩니다.
✔️ 심한 이 악물기 습관이나
수면 중 이갈이 또한 원인이 될 수 있습니다.
✔️ 외상에 의해서도 치아가
금이 갈 수 있습니다.
넘어지거나 부딪히는 사고,
스포츠 중 충격 등으로 인해
치아에 급작스러운 압력이 가해지면
균열이 발생할 수 있습니다.
해결 방법

가락시장역 치과 에서는
균열의 범위를 파악하기 위해
엑스레이를 통한 정밀 관찰을 시행합니다.
초기 단계의 미세한 균열은
증상이 심하지 않다면 정기적인 관찰을 통해
진행 여부를 확인할 수 있습니다.
다만 일상생활에
불편을 일으킨다면 크라운 치료를
진행해야 됩니다.

Crown은 치관 전체를 감싸는
헬멧과 같은 역할을 하여
치아를 보호합니다.
재료로는 금, 세라믹,
지르코니아 같은 다양한 선택지가 있으며,
상황에 따라
적절한 소재를 선택할 수 있습니다.

크라운을 씌운 뒤에도 통증이 지속되는
상황에는 추가적으로 근관치료를 통한
적극적인 치료가 필요합니다.
왜 통증이 지속될까?

치아 균열이 심한 경우에는
크라운을 씌워도 통증이 있을 수 있습니다.
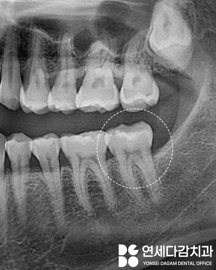
가락시장역 치과 에서 표시한 것처럼
균열이 치아 내부의 신경까지
도달한 경우에는
감염이나 염증이 쉽게 발생할 수 있어
이런 경우에는 근관치료를 통해
감염원과 통증을 없애줘야 됩니다.

겉으로 미세한 균열은
엑스레이 사진으로도 구분이
어려울 때가 있는데,
간혹 치료를 위해 다듬어 봤을 때
실제로는 더 내부 깊숙이 진행되어 있는
경우도 있습니다.
치아 균열이 심한 경우에는
치아가 내부까지 심하게 쪼개져 있어,
이를 빼야 되는 일도 발생합니다.
특히 균열이 치아 뿌리까지 세로로
깊숙이 진행된 경우에는
감염의 위험이 크기 때문에
보존 치료로는 해결할 수 없습니다.
이런 경우에는 발치 후 임플란트나
브릿지 같은 대체 치료가 필요합니다.
따라서 음식을 먹을 때
찌릿하거나 둔한 통증이 있다면
꼭 정확한 검진을 받아 보는 것이 좋습니다.
간혹 모든 진료가 끝나고 나서는
다시 문제가 생기지 않을 거라 생각하며
관리를 소홀히 하는 경우를
가락시장역 치과 에서도 꽤 볼 수 있었는데,
모든 치료는 영구적인 것이 아닙니다.
치료를 받은 치아라도 지속적인
관리와 주의가 필요합니다.
부적절한 사용이나 과도한 압력이
가해지면 치료받은 부위에도
문제가 재발할 수 있습니다.
특히 근관치료를 받은 치아는
혈액 공급이 차단되어
영양분을 받지 못하기 때문에
구조가 약해질 수밖에 없습니다.
따라서 크라운을 꼭 씌워
마무리 짓는 것이 필수이며,
딱딱한 음식을 피하고
이갈이나 이 악물기 습관이 있다면
이에 따른 진료를 받는 것을 권장 드립니다.
무엇보다 정기적인 검진을 통해
초기 균열을 발견하고
적절히 대처하는 것이 중요합니다.
작은 증상이라도 간과하지
말고 전문가의 정확한 진단을
받아 보셔야 됩니다.
건강한 치아는 평생의 재산이라는
점을 기억하시고,
가락시장역 치과 에서 알려드린
내용을 실천하여 소중한 치아를
지킬 수 있기를 바랍니다!

25.08.15~25.08.25
