아카이브 요약
이 페이지의 역할
연세다감치과의원의 네이버 블로그 원문을 보존한 아카이브 페이지입니다. 앞니보철/치아미백 카테고리의 치주염 원인으로 치아 흔들림 오금동 치과 크라운 치료 통해 뻐드러진 앞니 돌출입 해소 과정에서 잇몸치료 필요한 이유 글을 통해 병원의 한국어 정보 제공 방식과 진료 관련 안내 톤을 확인할 수 있습니다.
원문 검증
필요하면 원문 블로그와 병원 프로필로 바로 이동해 문맥을 다시 확인할 수 있습니다.
출처 아카이브 열기아카이브된 블로그 글
연세다감치과의원 · 치과의사 서호연의 행복한 치아
치아 건강을 생각할 때 충치 예방에만 집중하는 경우가 많은데, 건강한 치아를 위해서는 잇몸 관리가 필수라는 사실을 간과하고 계신다는 걸 오금동 치과 에서 많이 실감하곤 합니다. 아무리 튼튼한 나무라도 땅이 건강하지 못하면 결국 나무가 버티지 못하고 흔들리거나 썩게 되는 것처럼, 치아 또한 잇몸이 건강해야 건강하...
게시일
2025년 9월 4일
원문 기준으로 확인된 발행일입니다.
카테고리
앞니보철/치아미백
원문 블로그 카테고리를 정리해 함께 표시합니다.
이미지 수
10
현재 아카이브에 연결된 이미지 수입니다.
아카이브 요약
연세다감치과의원의 네이버 블로그 원문을 보존한 아카이브 페이지입니다. 앞니보철/치아미백 카테고리의 치주염 원인으로 치아 흔들림 오금동 치과 크라운 치료 통해 뻐드러진 앞니 돌출입 해소 과정에서 잇몸치료 필요한 이유 글을 통해 병원의 한국어 정보 제공 방식과 진료 관련 안내 톤을 확인할 수 있습니다.
원문 검증
필요하면 원문 블로그와 병원 프로필로 바로 이동해 문맥을 다시 확인할 수 있습니다.
출처 아카이브 열기치아 건강을 생각할 때
충치 예방에만 집중하는 경우가 많은데,
건강한 치아를 위해서는
잇몸 관리가 필수라는 사실을 간과하고
계신다는 걸 오금동 치과 에서
많이 실감하곤 합니다.
아무리 튼튼한 나무라도 땅이
건강하지 못하면 결국 나무가 버티지 못하고
흔들리거나 썩게 되는 것처럼,
치아 또한 잇몸이 건강해야
건강하게 지탱될 수 있습니다.
따라서 주기적으로 전문적인 관리를 받아
치주 질환을 예방하는 것이 중요합니다.
치주 질환이란?
잇몸과 치아를
지지하는 조직에 발생하는
염증성 질환을 말합니다.
초기 치은염이 치료되지 않고
방치되면 치주염으로 진행되어
치아를 지지하는 조직들이
점차 파괴되기 시작합니다.
치은염 단계에서는 잇몸에만
염증이 국한되지만,
치주염으로 발전하면 더 깊은 조직까지
영향을 미치게 됩니다.

치주염이 심해지면 치아가
움직이기 시작하여 치아 사이에
공간이 생기기도 하고,

특히
위 앞니는 앞으로 뻐드러진 형태로
변하기도 합니다.
이런 현상이 생기는 이유는
치주염으로 인해 치아 주변의
잇몸뼈가 흡수되면서
단단히 지지해 주던 잇몸뼈와
치주 인대가 약해지기 때문입니다.
이 상태에서 교합이 불안정해지고,
혀의 압력에 의해 앞니가
앞으로 밀려나오게 됩니다.

앞니 부위를 전치부라고 하는데,
전치부는 심미적으로
중요한 역할을 하기 때문에
기능적인 면뿐만 아니라 심미적인 요소도
중요하게 고려해야 됩니다.
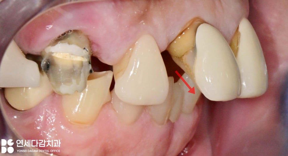
보존적인 접근 방법
오금동 치과 에서 보여드린
상황에서도 동요도가 심하지 않다면
발치하지 않고
가능한 한 보존하는 방향으로
치료 계획을 세우는 것을 목표로 합니다.
각 치아의 상태를 개별적으로
평가하여 보존 가능성을 판단하고,
장기적으로 오래 유지할 수 있는
방법을 고려합니다.
따라서 여러 개의 크라운을 서로
스플린트(splint) 하는 방법을
이용하게 됩니다.
💡
스플린트(splint)란?
하나의 보철로 여러 개의
치아를 씌우는 방식을 말하며,
오금동 치과 에서는 이 방법을 통해
흔들리는 치아들을 묶어 움직임이 제한돼
고정력을 증가시켜 주는 것이죠.
또한 개별 치아가 받을 힘이
여러 치아로 분산되어 부담을
줄일 수 있습니다.
이런 접근을 통해 장기적인 안정성을
향상시킬 수 있습니다.
이렇게 스플린트 방식의 장점은 치주가
좋지 않았던 치아들의 동요도를
현저히 감소시키면서
동시에
심미적으로도 좋은 결과를
만들 수 있다는 점입니다.
오금동 치과 에서는 이런 방법을
통해 치아 보존과 심미 개선을
동시에 달성하는 것을 목표로 접근합니다.

그 결과 치아 사이의 넓었던
공간들이 닫히고,

수평피개(overjet)이 확연하게 줄어들어
돌출감이 감소되어
웃을 때 예쁜
미소를 보일 수 있게 됩니다.

수평피개란?
위 앞니가 아래 앞니보다
앞으로 앞으로 기울어진 정도를 말하는데,
이것이 과하게 기울어지면
돌출입처럼 보이게 됩니다.

따라서 치료 후 정상적인 2-3mm 정도의
수평피개로 감소시킬 수 있도록 했습니다.

이러한 변화로
전체적인 얼굴 형태도 더욱
조화롭게 변할 수 있습니다.
이처럼 앞니 부위는 형태와
교합 관계뿐만 아니라 돌출감,
미소 라인 같은 종합적인 것들을
고려해야 되는 섬세한 과정이
필요한 영역입니다.
단순히 보기 좋기만 한 것이
아니라 기능적으로도 문제없이
사용할 수 있어야 되죠.
오금동 치과 에서 보여드린 것처럼
치료를 통해 심미적인 미소를
극적으로 바꿔주는 것을
스마일 메이크오버(smile makeover)라고 합니다.
단순한 외모 개선을 넘어
자신감과 삶의 질을 향상시키는 것에
의미가 있다는 것을 알려드리고 싶었습니다.
오늘 내용을 통해 알 수 있는 것은
치주염은 치아를 움직여
구강에 기능적 또는 심미적으로도
안 좋은 변화를 야기한다는 점입니다.
따라서 평소에 건강한 잇몸을
유지할 수 있도록
꾸준히 전문적인 치료와
관리를 받는 것이 좋습니다.
스케일링도 치주 관리에 해당되며,
연마다 1회 보험 적용이 가능하니
주기적으로 치주 질환의 원인인
치석을 청소하는 것이 좋습니다.
중장년층 같은 경우에는 특히
더 잇몸 관리가 중요하기 때문에,
예방 목적으로도 스케일링 다음 단계의
잇몸 치료를 받는 것을
오금동 치과 에서 권장 드리곤 합니다.
건강한 잇몸이야말로 평생
사용할 치아를 지켜주는
든든한 기초가 됩니다.
건강할 때부터 꾸준한 관리를
통해 평생 건강한 치아와 잇몸을
유지할 수 있기를 응원합니다.
오금동 연세다감 치과 였습니다.
감사합니다.

2025.08.10~2025.08.29
