아카이브 요약
이 페이지의 역할
연세다감치과의원의 네이버 블로그 원문을 보존한 아카이브 페이지입니다. 무삭제 라미네이트 카테고리의 앞니 벌어짐 거여동 치과 치은성형술 동반하여 교정 없이 크라운 교체 및 최소삭제 라미네이트 통한 심미 치료 글을 통해 병원의 한국어 정보 제공 방식과 진료 관련 안내 톤을 확인할 수 있습니다.
원문 검증
필요하면 원문 블로그와 병원 프로필로 바로 이동해 문맥을 다시 확인할 수 있습니다.
출처 아카이브 열기아카이브된 블로그 글
연세다감치과의원 · 치과의사 서호연의 행복한 치아
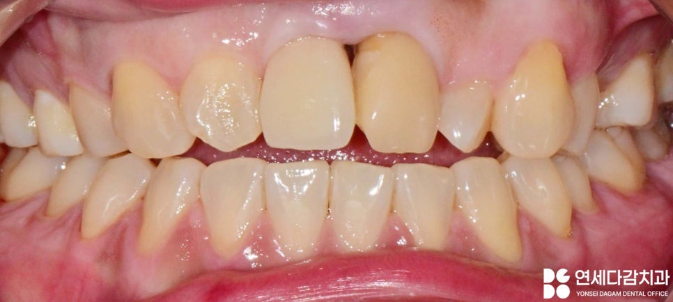
안녕하세요. 거여동 연세다감 치과 입니다. 구강 구조에서는 다양한 부정교합이 존재하며, 그 중에서도 앞니끼리 맞물리지 않는 개방교합이라는 것이 존재합니다. 개방교합은 위아래 앞니가 서로 닿지 않아 음식물을 끊는 기능이 어려운 상태를 말합니다. 이러한 개방교합이 심하고 치아 배열이 가지런하지 않다면 심미성에...
게시일
2025년 9월 16일
원문 기준으로 확인된 발행일입니다.
카테고리
무삭제 라미네이트
원문 블로그 카테고리를 정리해 함께 표시합니다.
이미지 수
11
현재 아카이브에 연결된 이미지 수입니다.
아카이브 요약
연세다감치과의원의 네이버 블로그 원문을 보존한 아카이브 페이지입니다. 무삭제 라미네이트 카테고리의 앞니 벌어짐 거여동 치과 치은성형술 동반하여 교정 없이 크라운 교체 및 최소삭제 라미네이트 통한 심미 치료 글을 통해 병원의 한국어 정보 제공 방식과 진료 관련 안내 톤을 확인할 수 있습니다.
원문 검증
필요하면 원문 블로그와 병원 프로필로 바로 이동해 문맥을 다시 확인할 수 있습니다.
출처 아카이브 열기안녕하세요.
거여동 연세다감 치과 입니다.
구강 구조에서는
다양한 부정교합이 존재하며,
그 중에서도 앞니끼리 맞물리지 않는
개방교합이라는 것이 존재합니다.

개방교합은 위아래 앞니가 서로 닿지 않아
음식물을 끊는 기능이
어려운 상태를 말합니다.
이러한 개방교합이 심하고
치아 배열이 가지런하지 않다면
심미성에 큰 영향을 주고,
저작 기능에도 영향을 미칠 수 있습니다.
근본적인 원인을 치료하려면
교정을 하는 것이 맞으나,
비용과 시간 면에서 망설이는
상황이라면 보철치료를 통해
개선할 수 있는 방법도 있습니다.
다만 전체적인 구조를 고려하여
여러 요소를 고려해야 되는
복합적인 과정이 되기도 합니다.
고려 사항

예를들어 일부 치아의 경우
거여동 치과 에서 표시한 것 처럼
잇몸이 치관을 많이 덮고 있어,
웃을 때 치아가 짧아 보이거나
잇몸이 과도하게 드러나는 상태를 고려하여
치은 성형술을 동반하기도 합니다.

또한 정중앙에 있는 앞니가 앞으로
돌출되어 있는 형태라면
전체적인 인상에 부정적인 영향을 줄 수 있어
돌출도를 감소할 수 있도록
치료 계획을 세워야 됩니다.

또한 엑스레이를 통해 치아 내부도
면밀히 검진하여,
치은연하 치석같은 잇몸질환을
유발하는 원인들은 없는지
확인하는 것도 중요한 고려사항입니다.
이렇듯 전체적인 구강 상태를 정밀 분석하여
종합적으로 고려하여
어떤 치료법이 적합한지 판단하게 됩니다.
교정 없이 심미 개선을 위한
치료 계획
개방교합일 경우 앞니가
닿지 않아 발음이나 식사에
어려움이 있을 수 있습니다.
심미치료 시 이런 기능적 측면도
함께 고려해야 됩니다.
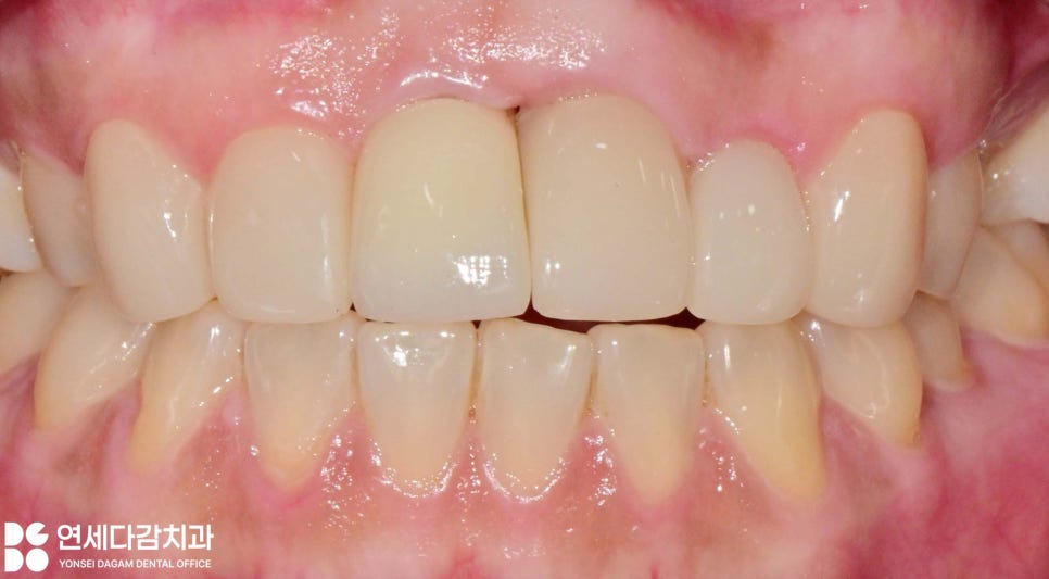
상악 6전치 중 임플란트 치아는
크라운만 재제작하고,
나머지는
최소삭제 라미네이트로 진행하는
계획을 세울 수 있습니다.
거여동 치과 에서 각 치아의 특성을 고려한
맞춤형 접근법입니다.
임플란트 치아는 크라운의 형태와
색상을 다시 제작할 수 있다는
장점이 있습니다.
자연치아의 경우 최소한으로 다듬어
치아 보존을 우선시하면서,
라미네이트를 부착하여
심미적 개선을 도모할 수 있습니다.
치은 성형술
보철 치료를 진행하기 앞서
과하게 덮고 있던 잇몸의 형태를
예쁘게 만들어야
더 나은 심미적 개선을 얻을 수 있습니다.
치은 성형술이란 치아 주변
과다 성장하거나 불규칙한 모양 및
잔여 잇몸 조직(치은)의 형태를
심미적 및 기능적 개선 목적으로
다듬는 과정입니다.
치관이 짧아 보이는
특정 치아에만 시행하여
전체적인 치아 비율의 균형을 맞춥니다.
이후 잇몸 치료를 통해
치은 연하 치석을 깨끗하게 청소합니다.
잇몸치료가 심미 보철 치료
과정에서 중요한 이유는
잇몸이 붓거나 염증이 있으면
보철물 경게에서 적합도가 떨어져
심미성이 떨어지고 장기적인 유지에
부정적인 영향을 줍니다.
따라서 거여동 치과 에서는 치주 치료를
먼저 시행한 뒤 염증과 붓기가 가라앉으면
본격적인 보철 과정에 들어가게 됩니다.
라미네이트와 크라운을 재제작할 때는
돌출된 치아의 모습을 개선하기 위한
구조로 계획했기에,

기존 임플란트 크라운은 돌출도를
감소시킬 수 있는 형태로 재제작하고,
인접해 있는 자연치들은
최소한으로 다듬어 조화로운
형태가 만들어질 수 있도록 합니다.

이전보다 잇몸과 치아의 심미가
확연히 발전된 것을 확인할 수 있습니다.

치료 전에는 웃을 때
아래 앞니만 보이게 웃는
모습이었으나,

치료 이후로는 위 앞니가 보이게
환하게 웃는 모습을 보이게 됩니다.
이러한 변화는 자신감과
삶의 질을 개선하는 의미 있는 변화입니다.

아름다운 미소는 단순히 치아만
가지런하다고 되는 것이 아닙니다.
전체적인 치아와 잇몸 형태 및 색상,
구강 건강 상태 그리고 미소선
이런 요소들이
모두 어우러져야 심미성을
최선의 결과로 얻을 수 있습니다.
획일적인 미의 기준보다는 개인에게
어울리는 자연스러운 아름다움을
추구하는 것이 바람직합니다
따라서 거여동 치과 에서는 이것을 목표로
개인의 구강 특성을 파악하여
맞춤형 진료를 시행하는 것을 중요시 여깁니다.
복합적인 앞니 문제도 체계적이고
단계적인 접근을 통해 아름답게
개선할 수 있으니,
전문의와의 충분한 상담을 통해
본인에게 적합한 치료 방법을
찾아보시길 바랍니다.
거여동 연세다감 치과 였습니다.
감사합니다.

25.09.08~25.09.17
