아카이브 요약
이 페이지의 역할
연세다감치과의원의 네이버 블로그 원문을 보존한 아카이브 페이지입니다. 무삭제 라미네이트 카테고리의 누런이 미백 안 해도 하얀이 원할 때 송파동 치과 최소삭제 라미네이트 과정에서 잇몸 치은 성형술 필요한 이유 글을 통해 병원의 한국어 정보 제공 방식과 진료 관련 안내 톤을 확인할 수 있습니다.
원문 검증
필요하면 원문 블로그와 병원 프로필로 바로 이동해 문맥을 다시 확인할 수 있습니다.
출처 아카이브 열기아카이브된 블로그 글
연세다감치과의원 · 치과의사 서호연의 행복한 치아
최근, 치아를 다듬지 않고 진행하는 무삭제 라미네이트에 관심이 높아지고 있습니다. 치아를 깎지 않아도 라미네이트를 할 수 있다는 건 확실히 가치가 있죠. 다만 이게 모든 사람에게 적용 가능한 것은 아닙니다. 오늘 송파동 연세다감 치과 에서 이 내용을 자세히 다뤄보려고 합니다. 라미네이트란? 라미네이트는 치아 표...
게시일
2025년 11월 12일
원문 기준으로 확인된 발행일입니다.
카테고리
무삭제 라미네이트
원문 블로그 카테고리를 정리해 함께 표시합니다.
이미지 수
10
현재 아카이브에 연결된 이미지 수입니다.
아카이브 요약
연세다감치과의원의 네이버 블로그 원문을 보존한 아카이브 페이지입니다. 무삭제 라미네이트 카테고리의 누런이 미백 안 해도 하얀이 원할 때 송파동 치과 최소삭제 라미네이트 과정에서 잇몸 치은 성형술 필요한 이유 글을 통해 병원의 한국어 정보 제공 방식과 진료 관련 안내 톤을 확인할 수 있습니다.
원문 검증
필요하면 원문 블로그와 병원 프로필로 바로 이동해 문맥을 다시 확인할 수 있습니다.
출처 아카이브 열기최근, 치아를 다듬지 않고 진행하는
무삭제 라미네이트에
관심이 높아지고 있습니다.
치아를 깎지 않아도
라미네이트를 할 수 있다는 건
확실히 가치가 있죠.
다만 이게 모든 사람에게
적용 가능한 것은 아닙니다.
오늘 송파동 연세다감 치과 에서
이 내용을 자세히 다뤄보려고 합니다.
라미네이트란?
라미네이트는 치아 표면에
얇은 세라믹 보철을 붙여
색상과 모양을 개선하는
심미 치료입니다.
과거에는 라미네이트를 위해
치아를 많이 삭제해야 됐으나,
최근에는 기술 발전으로
얇고 내구성 좋은 보철을 만들 수 있게 되어
삭제량을 줄일 수 있게 되었습니다.
그 결과 이제는 초박형 세라믹으로
제작할 수 있어
치아 삭제 없이도 심미 개선이
가능하게 될 수 있게 된 것이죠
그러나 무삭제로 가능한 조건인지
확인한 뒤 가능 여부를
먼저 판단해야 됩니다.
송파동 치과 에서는 정밀한 검진을 통해
치아 상태와 원하는 결과 정도에 따라
적절한 방법을 설명하게 됩니다.
라미네이트 치료 계획,
정밀한 분석이 우선
심미 치료를 원하는 경우를 보면
앞니 모양이나 배열이 이상해서
상담을 받는 경우가 많습니다.
그중에서도 치아가 유독
남들보다 누런 것 같고
치아 사이 공간이 넓은 것
같은 이유로 치료를 원할 때가 있습니다.
이런 분들은 치아 미백을
주기적으로 받아봤으나,
유지를 위해서는
주기마다 시행해야 되는
번거로움이 있기 때문에
미백 없이도 계속 하얀 치아를
유지했으면 하는 마음이 커지곤 합니다.

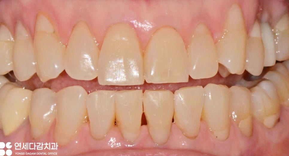
송파동 치과 에서 보여드리는 사진을 보면
전반적으로 치아가 누런색을 띠고 있으며
하악 전치 부위에는 다수의
블랙트라이앵글이 관찰됩니다.
💡
블랙 트라이앵글이란?
블랙 트라이앵글은 잇몸이 퇴축되면서
치아 사이에 검은 삼각형 공간이
생기는 현상입니다.
치아 형태학 적으로
치아머리 부분에서 뿌리 쪽으로
내려갈수록 얇은 형태인데,
연령이 증가하거나
치주 질환이 있을 때 잇몸이 내려가면서
이 사이 공간이 생겨
어두운 틈으로 보입니다.
블랙 트라이앵글은 노화의
자연스러운 과정일 수 있으며,
이게 두드러지면 심미적으로
신경 쓰일 수밖에 없게 됩니다.

전체적인 치열을 살펴봤을 때도
양쪽 송곳니를 살펴보면
사진을 기준으로 오른쪽이
왼쪽에 비해 살짝 더 돌출된
모습을 보입니다.
전반적으로 앞니의 뻐드러진
느낌이 강한 것은 아니었으나,
여기서 더 가지런해 보일 수 있는
심미 개선을 원한다면
치아 색상뿐만 아니라 형태와
배열까지 고려하여
자연스럽고 균형 잡힌
치료 계획을 수립해야 됩니다.
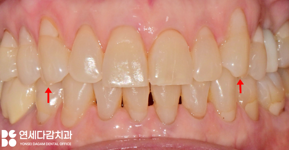
최소 삭제가 필요한 경우
송파동 치과 에서
앞서 설명한 상황의 경우는 사실
무삭제 라미네이트가 불가능합니다.
치아 사이 공간이 있고
돌출감의 개선을 원하는 경우
치아 표면을 다듬지 않고서는
원하는 결과를 얻기 어렵습니다.
오히려 보철을 붙이고 나면
치아가 더 두꺼워 보이거나
부자연스러워질 수 있습니다.
고전적인 라미네이트처럼
마취가 필요할 정도로 많은
삭제량이 필요한 것은 아니지만,
원하는 결과를 위해서는
최소한의 삭제가 필요합니다.
말 그대로 최소한으로
치아를 미세하게 다듬어
보존성을 높이면서
심미성도 확보하는 것입니다.
일반적으로 0.3에서 0.5밀리미터
정도만 삭제하므로
치아 손상을 최소화하면서 라미네이트를
자연스럽게 부착할 수 있습니다.
치은 성형술

치아 모양 및 배열뿐만 아니라
보철 치료에서 중요한 것 중 하나는
바로 잇몸 라인입니다.
앞니의 잇몸 라인의 높이가
다를 경우 심미적으로
불균형해 보일 수 있어
큰 앞니 두 개의 치은선을 맞추기 위해
잇몸 성형을 진행합니다.
치은선이란 잇몸과 치아가
만나는 경계선으로 이것이 일정하지 않으면
치아 길이가 달라 보입니다.
송파동 치과 에서는 이러한
요소도 중요시 여기기 때문에
잇몸 성형을 먼저 시행합니다.

삭제가 완료되면 구강 스캐너를
이용해서 치아 형태를
3D 모델링으로 구현하고,
디지털 데이터를 기반으로 분석하여
보다 더 정밀하게 컴퓨터 디자인을
시행하게 됩니다.

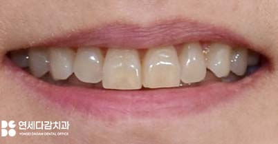
그 결과 라미네이트 치료 후
치아가 한층 더 하얘지고
고른 치열을 완성할 수 있게 됩니다.
이렇게 최소한으로 다듬는
라미네이트를 통해서도
치아의 톤과 형태를 바꿀 수 있습니다.


라미네이트 치료 전/후
웃을 때 치아가 어디까지 보이는지
확인하고 치료를 계획하는 것도
중요합니다.
송파역 치과 에서 보여드린 것처럼
치아가 많이 보일수록
동시에 치료하는 개수가
많으면 좋습니다.
그래야 주변과의 조화를 고려하여
더욱 심미적 기준에 맞는
미소를 만들 수 있습니다.

이처럼 단순히 개별 치아를
예쁘게 만드는 것이 아니라
전체적인 조화를 무엇보다
중요해야 되는 치료랍니다.
라미네이트는 자연치와 달리
치아 색이 누렇게 변색될
걱정이 없기 때문에,
중장년층에서도 높은 관심을
받고 있는 진료입니다.
다만 송파동 치과 내용을 통해
알 수 있듯이
무조건 무삭제만이 좋은 결과를
얻을 수 있는 것은 아니기 때문에,
충분한 상담을 통해 현실적인
기대치를 설정하고
본인에게 맞는 진료를
신중하게 결정하는 것이
올바른 자세라고 생각합니다.
이 내용이 여러분의
결정에 도움이 되었기를 바랍니다!
송파동 연세다감 치과 였습니다.
감사합니다.

2025.10.30~2025.11.11
