아카이브 요약
이 페이지의 역할
연세다감치과의원의 네이버 블로그 원문을 보존한 아카이브 페이지입니다. 무삭제 라미네이트 카테고리의 하얀 치아가 가져오는 인상의 변화 오금동 치과 교정 없이 최소삭제 라미네이트 심미치료 통해 치열 및 누렁니 개선 글을 통해 병원의 한국어 정보 제공 방식과 진료 관련 안내 톤을 확인할 수 있습니다.
원문 검증
필요하면 원문 블로그와 병원 프로필로 바로 이동해 문맥을 다시 확인할 수 있습니다.
출처 아카이브 열기아카이브된 블로그 글
연세다감치과의원 · 치과의사 서호연의 행복한 치아
TV를 보면 드라마 속 배우도, 예능 속 가수도 다들 치아가 하얗습니다. 거울을 봤을 때 내 치아는 저 정도로 하얗지는 않은데 원래 치아는 저렇게 하얀 게 맞는 걸까 아니면 다들 뭔가 하는 걸까? 오금동 연세다감 치과 에서 말씀드리자면 사실 사람의 치아는 순백색이 아닙니다. 실제 자연치는 상아색에 가깝습니다...
게시일
2026년 1월 21일
원문 기준으로 확인된 발행일입니다.
카테고리
무삭제 라미네이트
원문 블로그 카테고리를 정리해 함께 표시합니다.
이미지 수
11
현재 아카이브에 연결된 이미지 수입니다.
아카이브 요약
연세다감치과의원의 네이버 블로그 원문을 보존한 아카이브 페이지입니다. 무삭제 라미네이트 카테고리의 하얀 치아가 가져오는 인상의 변화 오금동 치과 교정 없이 최소삭제 라미네이트 심미치료 통해 치열 및 누렁니 개선 글을 통해 병원의 한국어 정보 제공 방식과 진료 관련 안내 톤을 확인할 수 있습니다.
원문 검증
필요하면 원문 블로그와 병원 프로필로 바로 이동해 문맥을 다시 확인할 수 있습니다.
출처 아카이브 열기TV를 보면 드라마 속 배우도, 예능 속 가수도
다들 치아가 하얗습니다.
거울을 봤을 때 내 치아는
저 정도로 하얗지는 않은데
원래 치아는 저렇게 하얀 게 맞는 걸까
아니면 다들 뭔가 하는 걸까?
오금동 연세다감 치과 에서 말씀드리자면
사실 사람의 치아는 순백색이 아닙니다.
실제 자연치는 상아색에 가깝습니다.
치아가 누런 이유

치아는 바깥쪽의 법랑질과
안쪽의 상아질로 이루어져 있습니다.
법랑질은 반투명한 흰색이고
상아질은 노란빛을 띱니다.
우리가 보는 치아 색은
반투명한 법랑질 사이로
상아질 색이 비쳐 보이는 것입니다.
그래서 완전한 흰색이 아니라
약간 노르스름한 상아색으로 보입니다.
연령이 증가할수록 치아가
더 누렇게 변하는 경향이 있습니다.
소위 말하는 누렁니가 심해졌다고 하는데요.
여기에는 몇 가지 이유가 있습니다.
첫째, 법랑질이 마모됩니다.
수십 년간 사용한 과정에서
법랑질이 조금씩 닳아 얇아집니다.
법랑질이 얇아지면
안쪽의 노란 상아질이 더 많이 비쳐 보입니다.
둘째, 상아질이 두꺼워집니다.
치아는 평생에 걸쳐 안쪽에서
상아질을 계속 만들어냅니다.
상아질층이 두꺼워지면
노란 색상이 더 진해집니다.
셋째, 착색이 누적됩니다.
커피, 차, 와인, 담배 등으로 인한
착색이 오랜 세월 쌓이면서
치아 색이 어두워집니다.
오금동 치과 에서 검진을 받으면
치아 변색의 원인을 확인할 수 있습니다.

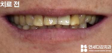
따라서 오랜 시간 사용한 치아에서는
마모와 파절이 관찰되어
앞니의 끝부분인 절단연이
닳아서 짧아진 것을 볼 수 있습니다.
치경부가 마모가 심하게 진행되어
파절된 모습을 보이기도 합니다.
이갈이 습관이 있거나
단단한 음식을 자주 먹거나
오랜 세월 사용하다 보면
이런 변화가 나타날 수 있습니다.
마모된 치아는 색도 더 누렇고
형태도 고르지 않다면
심미적으로 신경 쓰이게 됩니다.
밝은 치아가 주는 인상
치아가 밝고 하얀 것은
단순히 치아만의 문제가 아닙니다.
오금동 치과 에서 생각하는 큰 변화는
전체적인 인상에 영향을 준다는 겁니다.
하얀 치아는 깨끗하고 건강한 느낌을 주며
밝은 미소는 더 젊어 보이게 하고
호감 가는 인상을 만듭니다.
따라서 라미네이트 같은
심미치료가 꾸준히 인기를 얻고
있는 것 같습니다.
반대로 누런 치아나 고르지 못한 치열은
더 노안으로 보이게 하고
자신감을 떨어뜨리기도 합니다.
이것을 해결하기 위해
빠른 기간 내에 밝은 치아와
가지런한 배열을 모두 원한다면
라미네이트가 적합할 수 있습니다.
라미네이트는 비교적 짧은 기간에
색상, 형태, 배열을 함께 개선합니다.
다만 모든 경우에 바로
라미네이트를 할 수 있는 것은 아닙니다.
구강 상태가 건강해야 됩니다.

충치가 있다면
먼저 충치 치료를 하고,
치경부 마모증이 심한 경우에도
수복 치료를 시행하여
시린 증세를 감소시킵니다.
오금동 치과 에서 알려드린 것처럼
전체적인 구강 환경이 좋아야
더 나은 결과를 얻을 수 있습니다.
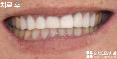
최소삭제 라미네이트


선행 치료가 완료되면
치아 표면을 살짝 다듬어
라미네이트가 접착될 형태를 만듭니다.
이 과정을 프렙(prep)이라고 합니다.
전후를 비교해 봤을 때
거의 차이가 없는 것을 볼 수 있는데,
요즘에는 과거와 다르게
무삭제 또는 최소삭제로도
좋은 결과를 얻을 수 있습니다.
과거에는 라미네이트를 위해
치아를 많이 깎았었는데,
요즘은 기공 기술과 보철 재료가 발전하여
삭제량이 크게 줄었습니다.

프렙 후 본을 떠서
기공소에서 라미네이트를 제작하고
완성되면 치아에 접착합니다.
라미네이트를 접착하면
눈에 띄는 변화를 확인할 수 있습니다.
누렇던 치아가 밝아지고
고르지 못했던 치열이 가지런해집니다.

마모되거나 파절되었던 부분도
자연스러운 형태로 회복됩니다.
웃을 때 드러나는 치아가
환하고 가지런해지면
전체적인 인상이 달라집니다.


오늘 오금동 연세다감 치과 에서
알려드린 것처럼 치아는 원래 하얀색이 아니며,
연령이 증가할수록 누렁니가
심해지는 것은 자연스러운 변화라고
볼 수 있습니다.
사람의 이미지와 인상을 바꿔줄 수 있는
라미네이트는 무삭제로도 가능한 경우가 있고
보여드린 것처럼 프렙이 필요하더라도
최소한으로 다듬어 차이가 크지 않으니,
예전처럼 치아 손상의 걱정을 하고 계신다면
오늘 글로 인해서 부담감이
조금 줄어든 계기가 되었으면 합니다.
물론 숙련된 의료진을 통해
받는 것이 중요하며,
충분한 상담을 통해 치아를 가능한 한
보존하여 심미 문제를 개선할 수 있기를 바랍니다.
오금동 연세다감 치과 였습니다.

2026.01.5~2026.01.16
