아카이브 요약
이 페이지의 역할
연세다감치과의원의 네이버 블로그 원문을 보존한 아카이브 페이지입니다. 기타 질환 카테고리의 치주염으로 인한 앞니 탈구, 개롱역 치과 에서 설명하는 잠간 고정술 이야기 글을 통해 병원의 한국어 정보 제공 방식과 진료 관련 안내 톤을 확인할 수 있습니다.
원문 검증
필요하면 원문 블로그와 병원 프로필로 바로 이동해 문맥을 다시 확인할 수 있습니다.
출처 아카이브 열기아카이브된 블로그 글
연세다감치과의원 · 치과의사 서호연의 행복한 치아
안녕하세요. 개롱역 연세다감 치과 서호연 원장입니다. 치주 질환의 유병률은 해마다 증가하고 있고 그 수치는 국민 절반 정도가 겪는 만큼 흔한 질환으로 알려져 있습니다. 초기 단계에는 크지 않은 증상이기 때문에 가볍게 생각하는 분들이 많습니다. 그러나 방치된 시간이 쌓일수록 잇몸 건강의 악화되는 것은 물론이며 치아에...
게시일
2026년 2월 3일
원문 기준으로 확인된 발행일입니다.
카테고리
기타 질환
원문 블로그 카테고리를 정리해 함께 표시합니다.
이미지 수
7
현재 아카이브에 연결된 이미지 수입니다.
아카이브 요약
연세다감치과의원의 네이버 블로그 원문을 보존한 아카이브 페이지입니다. 기타 질환 카테고리의 치주염으로 인한 앞니 탈구, 개롱역 치과 에서 설명하는 잠간 고정술 이야기 글을 통해 병원의 한국어 정보 제공 방식과 진료 관련 안내 톤을 확인할 수 있습니다.
원문 검증
필요하면 원문 블로그와 병원 프로필로 바로 이동해 문맥을 다시 확인할 수 있습니다.
출처 아카이브 열기안녕하세요.
개롱역 연세다감 치과
서호연 원장입니다.
치주 질환의 유병률은 해마다 증가하고 있고
그 수치는 국민 절반 정도가 겪는 만큼
흔한 질환으로 알려져 있습니다.
초기 단계에는 크지 않은 증상이기 때문에
가볍게 생각하는 분들이 많습니다.
그러나 방치된 시간이 쌓일수록
잇몸 건강의 악화되는 것은 물론이며
치아에도 영향을 미칠 수 있습니다.
그럼, 어떤 상황으로 이어지는지
예시 자료로 살펴보도록 하겠습니다.
초기 단계인 치은염은
잇몸 붓기, 출혈 같은 증상 정도로
일상 자체에는 큰 영향을 미치지 않습니다.
그러나 치주 질환의 주된 원인이 되는
치석이 잇몸 하방으로 내려가게 되면
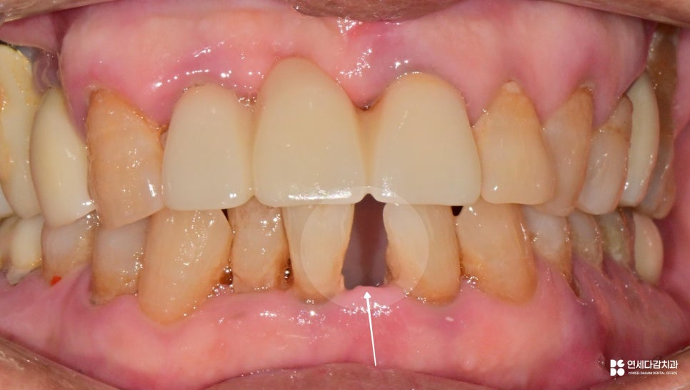
치주염으로 발전하게 됩니다.
이때는 치석이 독소 같은 작용을 하면서
치조골을 녹이는 문제를 일으킬 수 있습니다.
결국 치근을 제대로 잡아주지 못해
치아는 버틸 힘을 잃고 흔들리기 시작합니다.

2025.12.14
심한 경우 외상이나 사고가 없더라도
자연스럽게 탈락하는 문제로 이어집니다.
문제는 이 단계에 이르기까지도
뚜렷한 통증이 없는 케이스들도 많아
인지조차 못하는 분들도 적지 않습니다.
특히 한번 손상된 치조골은
자연 회복을 기대하기는 어렵기 때문에
초기 관리와 검진의 중요성이 높습니다.
상황에 따라서는 스케일링 및 잇몸 치료로도
충분히 진행을 막을 수 있다는 점
개롱역 치과 에서 말씀드립니다.

2025.12.14
개롱역 치과 에서는 무엇보다
빠른 시간 내에 내원하는 것을 권장합니다.
외상이든 치주염 같은 질환이든,
그 즉시 상황에 따른 조치를 취해야
추가적으로 2차 감염을 막을 수 있습니다.

2025.12.14 정말 정성스럽게 우유에 포장해서 온 아래 앞니
우선 탈락한 치아는 그대로 보존해야 되며,
우유나 생리식염수에 담가주어 건조되지 않게 하여
함께 내원을 하는 것이 좋습니다.
다만, 치조골이 이미 소실된 케이스에서는
재식이 불가능한 경우가 많습니다.
이런 경우 인접치와 잇몸 건강을 평가하며
임플란트 같은 계획을 세우는 것이 일반적입니다.
아무래도 '수술'이라는 부담감도 있으며,
개인 건강이나 경제적인 이유로
치료 시기를 미루는 분도 있습니다.
개롱역 치과 에서 한 가지 예시를 들어보면
65세 임플란트 건강보험을 앞둔 경우이며,
불과 몇 개월만 기다리면 보험 혜택을 받을 수 있어
그 시점까지 치료를 미루는 거죠.
그러나 이처럼 짧은 기간이라 하더라도
이가 빠진 자리는 변화가 일어납니다.
대표적으로 빈자리를 중심으로
양옆 인접치가 기울 수 있고
전체 교합이 틀어질 수 있습니다.

2025.12.14
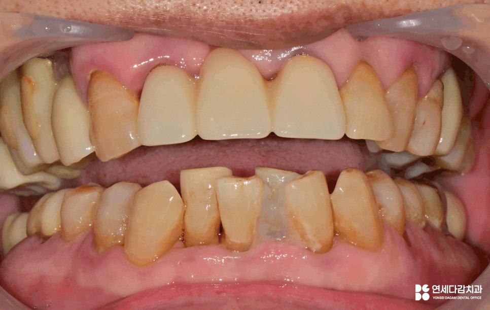
이러한 변화를 방지하기 위한 방법 중 하나가
바로 '잠간 고정술'입니다.
이는 탈락한 부위 주변 환경을 고려해
간단한 레진 등의 재료를 이용하여
임시로 메워주는 방법으로 진행됩니다.

2025.12.14
다만, 개롱역 치과 에서 보여드리는 것과 같은
발치된 치아를 이용한 방식 같은 경우
일반적인 방법과는 다릅니다.
보통 흔들리는 곳과 그렇지 않은 치아를
서로 접착하면 유지력을 잃게 될 수 있습니다.
이 경우 환자분께서 발거치아를
꼭 다시 붙이시길 원하셨습니다.
환자분이 충분한 설명을 이해하고
사용에 제한을 두는 조건으로 처치를 원할 경우
예외적으로 시행되기도 합니다.
잠깐 고정술은 어디까지나
앞으로의 치료 전까지 유지하기 위한
임시 대안이라는 것을 이해하셔야 됩니다.
이 시기를 어떻게 관리하느냐에 따라서
향후 진료 결과와 수명에도 영향을 미칩니다.
우선 강한 교합력은 피하는 것이 좋고,
위생 관리도 소홀해서는 안 됩니다.
무엇보다 중요한 점은
임시 처치로 시간이 길어진 것일 뿐
치료가 끝난 것은 아닙니다.
앞으로의 과정이 필요한 경우에
적기를 넘기지 않도록 계획에 따라서
진료를 받는 것이 현명한 선택이 됩니다.
개롱역 치과 였습니다.
감사합니다.

2025.12.14
