아카이브 요약
이 페이지의 역할
연세다감치과의원의 네이버 블로그 원문을 보존한 아카이브 페이지입니다. 사랑니 발치 카테고리의 가락동 치과 교정 치료 전 사랑니 발치 꼭 필요할까? - 미성숙 매복케이스로 알아보는 과정 글을 통해 병원의 한국어 정보 제공 방식과 진료 관련 안내 톤을 확인할 수 있습니다.
원문 검증
필요하면 원문 블로그와 병원 프로필로 바로 이동해 문맥을 다시 확인할 수 있습니다.
출처 아카이브 열기아카이브된 블로그 글
연세다감치과의원 · 치과의사 서호연의 행복한 치아
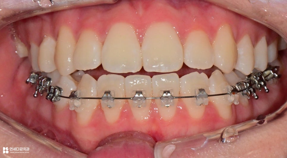
안녕하세요. 가락동 연세다감 치과 서호연 원장입니다. 2026.01.06 치아 교정은 심미, 기능적 결함을 개선하기 위해 위치와 배열을 조정하여 맞추는 진료입니다. 이 과정은 단기간에 이루어지지 않으며 짧게는 수개월 길게는 수년이 소요됩니다. 이 과정을 원활하게 진행하기 위해서는 여러 조건을 검토할 필요가 있습니다...
게시일
2026년 2월 9일
원문 기준으로 확인된 발행일입니다.
카테고리
사랑니 발치
원문 블로그 카테고리를 정리해 함께 표시합니다.
이미지 수
13
현재 아카이브에 연결된 이미지 수입니다.
아카이브 요약
연세다감치과의원의 네이버 블로그 원문을 보존한 아카이브 페이지입니다. 사랑니 발치 카테고리의 가락동 치과 교정 치료 전 사랑니 발치 꼭 필요할까? - 미성숙 매복케이스로 알아보는 과정 글을 통해 병원의 한국어 정보 제공 방식과 진료 관련 안내 톤을 확인할 수 있습니다.
원문 검증
필요하면 원문 블로그와 병원 프로필로 바로 이동해 문맥을 다시 확인할 수 있습니다.
출처 아카이브 열기안녕하세요.
가락동 연세다감 치과
서호연 원장입니다.

2026.01.06
치아 교정은 심미, 기능적 결함을 개선하기 위해
위치와 배열을 조정하여 맞추는 진료입니다.
이 과정은 단기간에 이루어지지 않으며
짧게는 수개월 길게는 수년이 소요됩니다.
이 과정을 원활하게 진행하기 위해서는
여러 조건을 검토할 필요가 있습니다.
이 중 하나인 사랑니의 존재는
다양한 위험 요소로 작용할 수 있어
발치가 필요한 케이스들이 있습니다.
오늘은 이러한 상황을 예시 사례를 통해
자세히 알아보도록 하겠습니다.
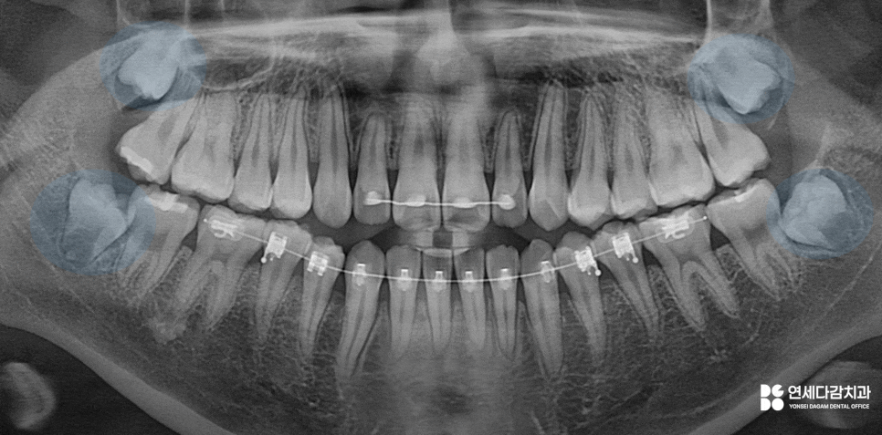
사랑니는 치열의 제일 뒤쪽에 위치하며
대개 맹출 방향이 잘못될 때가 많습니다.
치관이 앞쪽을 향하고 있는 경우에는
앞어금니를 밀어내는 힘을 작용할 수 있고,
전체 치열을 틀어지게 하는 원인이 됩니다.
또한 교정은 일정한 방향으로 이동시켜야 되므로
이 이동 경로에 방해가 되는지 판단을 해야 됩니다.
더불어 돌출입이나 치열 불규칙이 심하다면
공간 확보는 중요한 과정입니다.

2026.01.06
가락동 치과 에서 보여드리는 것과 같이
매복된 사랑니가 뒤쪽 공간을 차지하면
이동 자체에 제약을 줄 수 있기 때문에
발치가 필수인 경우가 있습니다.
특히 미성숙한 사랑니의 경우
대부분이 잇몸 속에 매복되어 있고

2026.01.06
사진처럼 육안으로는 확인되지 않지만,
비정상적으로 자리 잡을 때가 많습니다.

2026.01.06
가락동 치과 에서 설명하는 케이스는
교합면이 혀쪽으로 향해 있으며,
진료 접근을 위해서는 잇몸 절개 후
골 삭제가 필요할 것으로 판단됩니다.

2026.01.06
더불어, 아래쪽 매복 어금니 같은 경우
치근단 하방 하치조신경관과 근접할 때가 많아
사전에 정확한 거리 관계를 파악합니다.
자칫해서 진료 도중 자극을 줄 수 있으며
일시적으로 감각 마비 같은 후유증이 남을 수 있고
드물게는 영구적으로 남는 사례도 있습니다.

2026.01.06
따라서 안전한 각도와 접근 경로를
충분히 고려한 진료 계획 수립이 필수입니다.

2026.01.06
다만 앞서 수립한 계획 속에서도
치관의 크기가 지나치게 크거나 단단하면
치조골 손상이나 치근 파절의 위험성이 높습니다.

2026.01.06
이럴 때는 안전을 위해서라도
치관을 분할하는 방법을 고려할 수 있습니다.
가락동 치과 에서 설명하는
이 방식은 뼈를 과도하게 삭제하지 않고,
주변 연조직과 신경관에 전달되는
자극을 최소화할 수 있습니다.

2026.01.06
특히 아래쪽 사랑니처럼 주변 조직에
불필요한 영향을 줄 수 있는 케이스는
사전에 방지할 수 있는 전략이 됩니다.

2026.01.27
이 과정에서 치배 조직이 함께 확인되는 경우
가능한 제거와 동시에 병리학적 검사를
의뢰하는 것도 바람직합니다.
치배는 대부분 생리적인 조직 중 하나이지만,
드물게는 치성 낭종이나 악성 종양이 될 수 있으니
의심 소견이 있는 경우 분석을 병행하는 것도
안전하고 책임감 있는 진료 과정이라 할 수 있습니다.

2026.01.27
가락동 치과 에서 확인해 본 결과
과형성된 치배로 결론이 나왔으며,
해당 부위에 대한 소독과 경과 관찰에 따라
교정 치료는 원활하게 받을 수 있습니다.
교정 치료 중에는 이동 경로를 확보하고
전체 치열 균형을 유지할 수 있도록
방해 요소가 되는 구조물은 제거해야 됩니다.
그 자체로 불편을 유발하지 않아도,
매복 되었거나 비정상적 맹출 방향을 가졌다면
사전에 발치가 필요할 수 있습니다.
특히 뿌리가 아직 덜 형성된 미성숙 치아여도,
치료 계획에 따라 발치를 진행할 수 있다는 점
마지막으로 말씀드리며 마치겠습니다.
가락동 치과 였습니다.
감사합니다.


2026.01.06 ~ 2026.01.27