아카이브 요약
이 페이지의 역할
연세다감치과의원의 네이버 블로그 원문을 보존한 아카이브 페이지입니다. 수면치과치료 카테고리의 문정동 치과 수면마취(의식하진정법)으로 진행되는 임플란트 수술 글을 통해 병원의 한국어 정보 제공 방식과 진료 관련 안내 톤을 확인할 수 있습니다.
원문 검증
필요하면 원문 블로그와 병원 프로필로 바로 이동해 문맥을 다시 확인할 수 있습니다.
출처 아카이브 열기아카이브된 블로그 글
연세다감치과의원 · 치과의사 서호연의 행복한 치아
안녕하세요. 문정동 연세다감 치과 입니다. 다들 한 번쯤은 충치 같은 문제로 진료를 받아보신 적 있으실 겁니다. 다만, 그 과정 속 통증이나 소리 등으로 내원 자체에 두려움이 생기신 분들도 꽤나 많이 존재합니다. 한 번 생긴 공포감은 다음 진료를 미루게 되고 미룬 사이 구강 상태는 더 나빠지게 되는 악순환으로...
게시일
2026년 3월 16일
원문 기준으로 확인된 발행일입니다.
카테고리
수면치과치료
원문 블로그 카테고리를 정리해 함께 표시합니다.
이미지 수
8
현재 아카이브에 연결된 이미지 수입니다.
아카이브 요약
연세다감치과의원의 네이버 블로그 원문을 보존한 아카이브 페이지입니다. 수면치과치료 카테고리의 문정동 치과 수면마취(의식하진정법)으로 진행되는 임플란트 수술 글을 통해 병원의 한국어 정보 제공 방식과 진료 관련 안내 톤을 확인할 수 있습니다.
원문 검증
필요하면 원문 블로그와 병원 프로필로 바로 이동해 문맥을 다시 확인할 수 있습니다.
출처 아카이브 열기안녕하세요.
문정동 연세다감 치과 입니다.
다들 한 번쯤은 충치 같은 문제로
진료를 받아보신 적 있으실 겁니다.
다만, 그 과정 속 통증이나 소리 등으로
내원 자체에 두려움이 생기신 분들도
꽤나 많이 존재합니다.
한 번 생긴 공포감은 다음 진료를 미루게 되고
미룬 사이 구강 상태는 더 나빠지게 되는
악순환으로 이어지기 쉽습니다.
오늘은 그런 분들 위해서
수면 마취(의식하진정법)을 이용한
임플란트 과정을 설명해 드리겠습니다.
이번 문정동 치과 에서 준비한
예시 사례를 살펴보겠습니다.

25.11.18
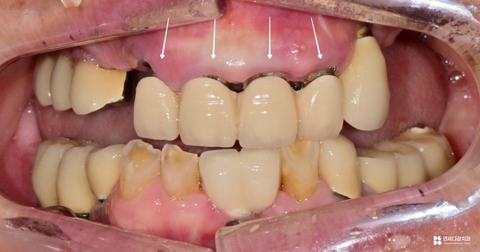
이 사진에서 제일 눈에 띄는 것은
잇몸이 상당히 내려가 있다는 점입니다.
앞니에는 보철이 수복되어 있는데
치근이 외부로 드러나 있고
그 안쪽으로는 충치까지 진행되었습니다.

25.11.18
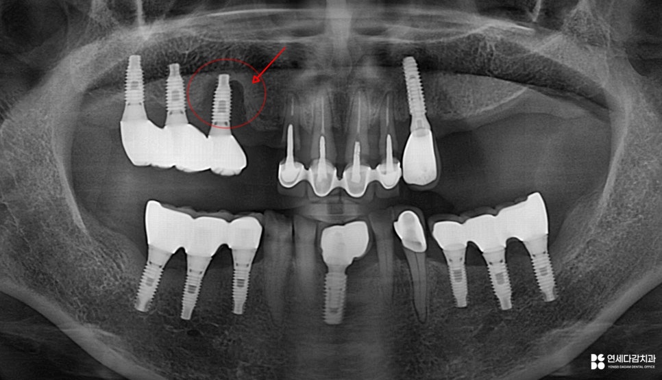
또한 옆에 식립된 임플란트도 마찬가지로,
골소실이 굉장히 심각한 것으로 평가됩니다.
이러한 상황의 주요 원인은
바로 소홀한 청결 관리입니다.
치아와 잇몸 사이에 세균이 쌓이면
서서히 염증이 생기기 시작하고
염증은 뼈를 녹이는 작용을 합니다.
이렇게 한번 진료를 받은 부위라고 해서
관리를 소홀히 해도 되는 것은 아닙니다.
오히려 세균이 더 쉽게 쌓이는 구조라서
더욱 꼼꼼한 관리가 필요합니다.
임플란트 역시 마찬가지로
자연치처럼 충치가 생기는 것은 아니지만,
주변 잇몸 염증은 동일하게 나타날 수 있습니다.
특히 염증성 질환에 취약한 경향이 있어
더욱 주의가 필요하다는 것을 보여주는 사례입니다.
고려해 볼 수 있는 선택지
앞서 문정동 치과 에서 언급한 치아들은
이미 유지력을 잃은 상태로써
보존은 어려울 것으로 판단됩니다.
해당 구강의 기능, 심미성을 회복하려면
임플란트를 고려해 볼 수 있는데,
한 가지 고려해야 될 점이 있습니다.
임플란트는 시술 과정에서
절개, 드릴링이 동반되기 때문에
지레 겁을 먹고 치료를 망설이시기도 합니다.

25.11.18
더불어 결손된 치아들까지 회복해야 되므로,
다수의 식립과 골이식 또한 고려되어,
더 큰 심리적 부담이 될 수 있죠.
이런 분들께 도움이 되는 것이
바로 수면마취(의식하진정법)입니다.
미다졸람이라는 약물을 통해
가수면을 유도하는 방법으로
불안 완화를 시켜줄 수 있습니다.
무엇보다 큰 장점 중 하나는
치료 과정에 대한 기억이 부분적으로,
혹은 완전히 사라진다는 점입니다.
이를 선행성 기억상실이라고 말하는데
쉽게 말해 진료 중 소리, 감각, 장면들이
깨어난 후에도 기억에 남지 않는다는 뜻입니다.
이는 치료 후에도 트라우마가 남지 않다 보니
다음 치료에 대한 거부감도 자연스럽게 줄어들어
꾸준한 구강 관리로 이어지는 데에도
긍정적으로 영향을 줍니다.
먼저 보존이 불가능하다고 평가된
임플란트 및 치아를 발치합니다.

25.11.24
보시다시피 충치로 인해
치관, 치근들이 분리될 정도로
병변이 심하게 진행된 것을 확인할 수 있죠.
이후 수면 마취(의식하진정법) 하에
픽스처 식립을 진행합니다.
여기서, 안전성에 대해서 궁금해하실 것 같습니다.

문정동 치과 와 같은 의료기관들은
수면 치료의 전 과정을 기록지로 관리합니다.
상담과 문진을 사전에 진행하여,
환자의 전신 건강과 적응증을
먼저 파악한 후 진행되며,
시술 중에는 혈압, 맥박, 산소포화도 등
생징후를 실시간으로 모니터링하며
약물 투여 용량을 조절합니다.
이러한 내역을 빠짐없이 기재하며
이상 징후 발생 시 즉각 대응할 수 있는
환경에서 이루어지기 때문에
큰 걱정은 안 하셔도 괜찮습니다.

26.01.10
식립 과정이 마무리되면
일정 기간의 골유착을 기다립니다.
픽스처가 뼈와 단단히 결합하기까지
보통 수개월의 시간이 필요하며
골유착이 충분히 이루어진 뒤
보철을 체결합니다.
이렇게 기능, 심미성은 회복이 되며
앞으로의 수명은 사후 관리에 달려있죠.
앞서 문정동 치과 에서 설명해 드린 것처럼
공포감으로 치료를 망설이실 필요는 없습니다.
수면 마취(의식하진정법)을 통해
공포심을 극복하고 건강한 구강을 되찾는 분이
이미 많이 계시기 때문입니다.
치아 문제는 미루면 미룰수록
해결이 더 어려워지는 경향이 있습니다.
용기를 내어 첫 발걸음을 내딛어 주신다면
충분히 편안하게 진료받을 수 있다는 점
다시 한번 강조 드리면서 마치겠습니다.
문정동 치과 였습니다.
감사합니다.


2025.11.18 ~ 2026.01.10