아카이브 요약
이 페이지의 역할
연세다감치과의원의 네이버 블로그 원문을 보존한 아카이브 페이지입니다. 구강외과 카테고리의 개롱역 치과 혀에 하얀 돌기? 구강 유두종 작아도 조직검사가 필요한 이유 글을 통해 병원의 한국어 정보 제공 방식과 진료 관련 안내 톤을 확인할 수 있습니다.
원문 검증
필요하면 원문 블로그와 병원 프로필로 바로 이동해 문맥을 다시 확인할 수 있습니다.
출처 아카이브 열기아카이브된 블로그 글
연세다감치과의원 · 치과의사 서호연의 행복한 치아
안녕하세요. 개롱역 연세다감 치과 서호연 원장입니다. 어느날 혀에 작은 돌기를 발견했다면 처음에는 당황스러울 수 있습니다. 그러나 통증이 있는 것도 아니고, 출혈이 생기는 것도 아니라면 그냥 지나치는 분들도 많습니다. 하지만 구강 내 새롭게 생긴 변화는 원인을 확인하는 것이 중요합니다. 오늘은 조직 검사의...
게시일
2026년 4월 1일
원문 기준으로 확인된 발행일입니다.
카테고리
구강외과
원문 블로그 카테고리를 정리해 함께 표시합니다.
이미지 수
10
현재 아카이브에 연결된 이미지 수입니다.
아카이브 요약
연세다감치과의원의 네이버 블로그 원문을 보존한 아카이브 페이지입니다. 구강외과 카테고리의 개롱역 치과 혀에 하얀 돌기? 구강 유두종 작아도 조직검사가 필요한 이유 글을 통해 병원의 한국어 정보 제공 방식과 진료 관련 안내 톤을 확인할 수 있습니다.
원문 검증
필요하면 원문 블로그와 병원 프로필로 바로 이동해 문맥을 다시 확인할 수 있습니다.
출처 아카이브 열기안녕하세요.
개롱역 연세다감 치과
서호연 원장입니다.
어느날 혀에 작은 돌기를 발견했다면
처음에는 당황스러울 수 있습니다.
그러나 통증이 있는 것도 아니고,
출혈이 생기는 것도 아니라면
그냥 지나치는 분들도 많습니다.
하지만 구강 내 새롭게 생긴 변화는
원인을 확인하는 것이 중요합니다.
오늘은 조직 검사의 중요성을
차근차근 설명해드리도록 하겠습니다.

2026.03.03
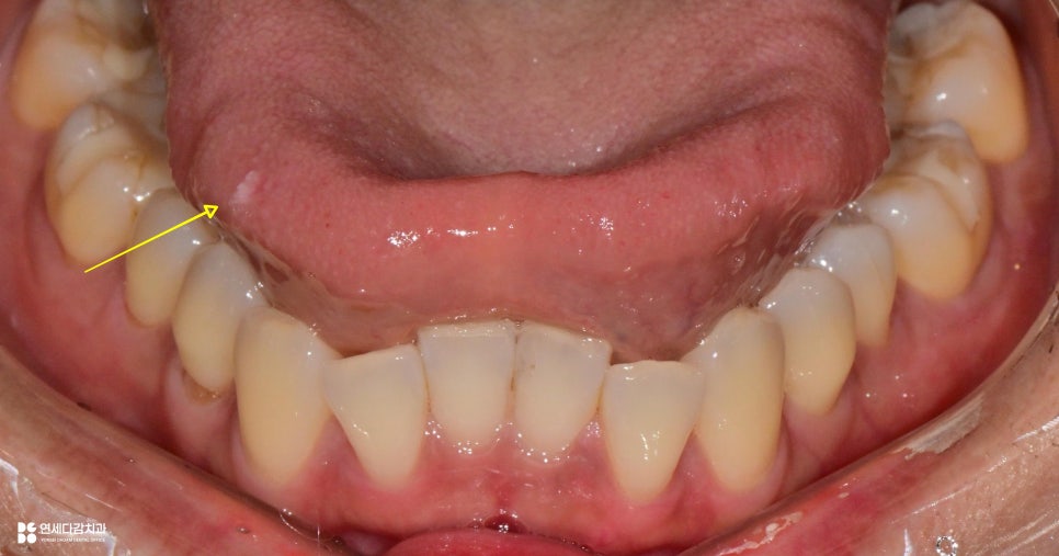
구강 유두종은 점막에 발생하는
돌출된 병변입니다.
표면이 하앟거나 분홍빛을 띠며
작은 돌기들이 모여 있는 형태가 많죠.
이 크기는 몇 밀리미터부터
1센티미터 이상까지 차이가 있습니다.
발생하는 부위도 다양하며,
혀, 연구개, 볼 점막, 입술 안쪽 등
어느 부위에나 나타납니다.

2026.03.03
특히 혀에 생긴 경우에는
대화, 식사 시에도 자극을 받기 쉬워
불편감을 느끼는 분들이 많습니다.
2.구강 유두종의 원인,
HPV란 무엇인가?

2026.03.03
아무래도 크기가 작다 보니,
위험성을 느끼기는 어렵습니다.
그러나 구강은 외부 환경과 끊임없이
접촉하는 공간 중 하나입니다.
숨을 쉬고, 음식을 먹고, 대화를 하면서
각종 세균과 바이러스가 드나들 수 있습니다.
특히 구강 점막에 작은 상처나 손상이 생겼을 때
바이러스가 침투하기 쉬운 부위입니다.
이때 개롱역 치과 에서 보여드린
유두종의 주요 원인이 되는 것이
HPV, 즉 인유두종 바이러스입니다.
HPV 다양한 유형이 있는데,
구강 유두종과 관련된 유형은
주로 6형과 11형입니다.
이 두가지 유형은 저위험군에 속해
악성으로 변화할 가능성은 낮습니다.
암과 관련된 고위험군 HPV인
16형 18형과는 구분되는 유형이죠.
다만 여기서 중요하게
생각해볼 것이 있습니다.

2026.03.03
육안으로 볼 때 일반적인 구강 유두종이여도,
다른 종류의 병변일 수 있다는 것입니다.
외형은 유사하게 보이더라도,
악성으로 이어질 수 있다는 의미이죠.
즉, 형태가 전형적으로 보인다고 해서
확진할 수 있다는 것이 아니며,
이는 정확한 진단을 위해
조직검사(생검)의 필요성을 말합니다.
3.절제부터 생검까지
병변 조직을 절제하고 생검을 의뢰를 합니다.
절제 자체는 대부분은 간단하게 끝납니다.
병변의 크기, 위치, 의심 소견에 따라
방법의 선택이 달라집니다.
요즘은 레이저 장비를 활용한 시술도 많습니다.
이는 짧은 시간 안에 시술이 마무리되고
출혈이 거의 없어 회복이 빠릅니다.
작고, 전형적인 병변 제거에 적합하죠.

2026.03.03
그러나 병변이 평범하지 않은 소견을 보이거나,
크기가 크다면 외과적 절제를 선택합니다.

2026.03.03
개롱역 치과 에서 보여드리듯이
조직을 통째로 도려내는 방법으로
온전히 확보할 수 있습니다.
이를 포르말린 용액에 보관하여
검사를 의뢰하게 됩니다.

검사 결과는 보통 1~2주정도 소요되며,
세포 유형과 악성 여부에 따라
후속 조치가 달라지게 됩니다.

개롱역 치과 에서 확인했을 때
결과는 편평 유두종으로 진단됩니다.
편평 유두종은 HPV에 의해 발생하는
한 형태로 양성 병변에 해당됩니다.

2026.03.11
이처럼 결과가 양성으로 확인되면
절제 부위가 깨끗하게 회복되는지 확인하고,
경과를 지켜보면 마무리할 수 있습니다.
만일, 악성 병변이라면,
추가적인 치료나 조치가 필요할 수 있어,
결과와는 무관하게 조직 검사를 통해
확실한 진단을 받는 과정이
중요한 이유가 여기 있습니다.
구강 내 이상 소견을 발견했을 때
많은 분께서 공통적으로 하는 생각은,
"아직은 괜찮겠지"입니다.
앞서 개롱역 치과 에서 언급했듯이,
조기에 발견하지 못하면
악성으로 진행될 수 있는 것도 있습니다.
따라서 전문적인 진료와 조직 검사를 통해
정확하게 확인하는 것이 확실한 방법입니다.
그러니 육안으로만 판다하거나,
증상이 없다는 이유로 방치하지 마시고
진단을 받아보시기를 권장합니다.
감사합니다.

2026.03.03 ~ 2026.03.11