보스톤치과의원]
종로치과 잇몸이 붓고 전체적으로 이가 흔들려서 힘들어요
안녕하세요 종로치과 입니다! 임플란트를 고려해 주시는 분들은 다양한데요. 오늘은 실제 종로치과에 방문하여 임플란트를 한 케이스에 대해 소개해 드리려고 합니다. 그전에 간단하게 임플란트가 무엇인지 모르는 분들을 위해 설명을 드리겠습니다. 임플란트 란? 무엇인가요? 임플란트는 자연치아 뿌리 부분에 인체에 거부 반응이...
아카이브 요약
이 페이지의 역할
BOSTON Dental Clinic [보스톤치과의원]의 네이버 블로그 원문을 보존한 아카이브 페이지입니다. B.임플란트 카테고리의 종로치과 잇몸이 붓고 전체적으로 이가 흔들려서 힘들어요 글을 통해 병원의 한국어 정보 제공 방식과 진료 관련 안내 톤을 확인할 수 있습니다.
안녕하세요 종로치과 입니다! 임플란트를 고려해 주시는 분들은 다양한데요. 오늘은 실제 종로치과에 방문하여 임플란트를 한 케이스에 대해 소개해 드리려고 합니다. 그전에 간단하게 임플란트가 무엇인지 모르는 분들을 위해 설명을 드리겠습니다.

임플란트 란? 무엇인가요?
임플란트는 자연치아 뿌리 부분에 인체에 거부 반응이 없는 티타늄 소재의 금속 나사 형태를 심어 기둥 부분을 연결하고 기둥 위에 머리 부분인 보철물을 만들어서 치아의 형태로 만드는 과정으로 기존의 자연치가 가지고 있는 여러 기능들을 회복해 줄 수 있는 치료였습니다. 그래서 상실된 치아가 있을 때 혹은 발치 진행 예정인 분들은 빈 공간을 내버려 두는 것이 아닌 인공치를 심어주어 꼭 해결을 해 주어야 합니다. 그렇지 않으면 다양한 문제들이 생길 수가 있기 때문입니다.
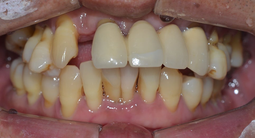
임플란트 치료 전
2014년 4월 7일

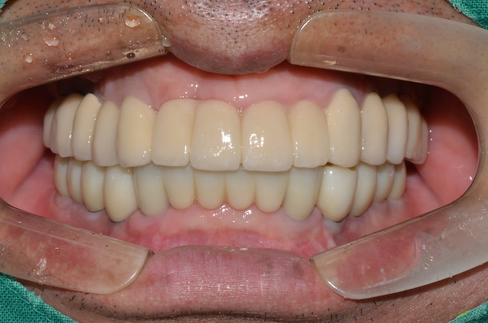
임플란트 치료 후
2018년 12월 24일


내원 이유
40대 환자분 셨는데 처음에는 잇몸이 붓고 전체적으로 이가 흔들려서 식사를 하기가 힘들다고 하셔서 내원을 해주셨습니다. 상실된 치아가 있고 치열 또한 고르지 않아 맞물리는 것이 제대로 되지 않아 정말 매번 식사를 하기에 어려웠을 것 같습니다. 그래서 임플란트 치료에 대해 설명을 드리고 치료를 시작했습니다.
치료 진행
전악 발치를 하고 난 후 전악 임플란트를 식립해 주어 해결을 했습니다. 중간에 식사가 가능할 수 있도록 임시 치아를 해드렸죠. 환자분께서는 치료 기간이 오래 걸렸던 이유가 있었습니다. 흡연 중이고 양치질이 제대로 되지 않는다는 것이 그 이유였는데요. 그리고 바쁘셔서 종로치과에 자주 내원을 하지 못하여 임시 치아를 해드렸습니다. 현재는 치료 중에 금연을 하시고 잇몸 또한 많이 좋아져서 지금은 염증 없이 식사를 잘 하고 계십니다.

맨 위에서 종로치과가 임플란트 상실 후에 방치를 하면 안 된다고 알려드렸습니다. 여러 문제 중에 간단하게 몇 가지만 설명을 드려보자면 오랜 시간 방치 시 주변에 있는 치아가 상실된 부분으로 향해 쓰러지게 될 수 있어 치아의 사이 공간들이 넓어지게 될 수가 있었습니다. 이렇게 된 상태라면 저작력이 감소할 뿐만 아니라 구강을 관리하는 데에도 힘들어질 수가 있었죠. 그렇기 때문에 치과 검진은 최대한 빠르게 받아보는 것이 좋습니다.

임플란트 치료 어디서 할지 고민되신다면?
다양한 임플란트 케이스를 진행한 경험 있는 의료진이 진료하고
정성스러운 진료로 편안함을 드릴 수 있도록 노력하는
보스톤치과에서 상담받아보시길 바랍니다^^
감사합니다!


더 보기
이 병원의 공개 콘텐츠를 계속 살펴보세요
출처 아카이브로 돌아가 더 많은 글을 보거나, 병원 프로필로 이동해 다른 공개 채널도 함께 비교해보세요.