아카이브 요약
이 페이지의 역할
보스톤치과의원 종로의 네이버 블로그 원문을 보존한 아카이브 페이지입니다. B.임플란트 카테고리의 명동치과 잇몸이 안좋고 이가 계속 빠져서 밥먹기가 힘들어요. 글을 통해 병원의 한국어 정보 제공 방식과 진료 관련 안내 톤을 확인할 수 있습니다.
원문 검증
필요하면 원문 블로그와 병원 프로필로 바로 이동해 문맥을 다시 확인할 수 있습니다.
출처 아카이브 열기아카이브된 블로그 글
보스톤치과의원 종로 · ✅보스톤치과✅
잇몸이 안좋고 이가 계속 빠져서 밥을 먹기가 힘들어요. 안녕하세요 명동치과 입니다. 치아의 가장 기본적인 기능들 중에는 음식물을 잘 씹는 저작력이 있습니다. 하지만 여러 이유로 인해서 이가 빠져 버린다면 음식을 먹을 때마다 잘 씹을 수가 없어 불편함을 많이 느끼실 수가 있었죠. 이러한 상황이 매일 같이 지속된다고 한다...
게시일
2024년 1월 19일
원문 기준으로 확인된 발행일입니다.
카테고리
B.임플란트
원문 블로그 카테고리를 정리해 함께 표시합니다.
이미지 수
15
현재 아카이브에 연결된 이미지 수입니다.
아카이브 요약
보스톤치과의원 종로의 네이버 블로그 원문을 보존한 아카이브 페이지입니다. B.임플란트 카테고리의 명동치과 잇몸이 안좋고 이가 계속 빠져서 밥먹기가 힘들어요. 글을 통해 병원의 한국어 정보 제공 방식과 진료 관련 안내 톤을 확인할 수 있습니다.
원문 검증
필요하면 원문 블로그와 병원 프로필로 바로 이동해 문맥을 다시 확인할 수 있습니다.
출처 아카이브 열기
잇몸이 안좋고 이가 계속 빠져서 밥을 먹기가 힘들어요.
안녕하세요 명동치과 입니다. 치아의 가장 기본적인 기능들 중에는 음식물을 잘 씹는 저작력이 있습니다. 하지만 여러 이유로 인해서 이가 빠져 버린다면 음식을 먹을 때마다 잘 씹을 수가 없어 불편함을 많이 느끼실 수가 있었죠. 이러한 상황이 매일 같이 지속된다고 한다면 환자분께서도 식사를 하실 때 편하게 먹고 싶은 것을 드시기 보다는 씹기 쉬운 음식들 위주로 드실 것 같습니다. 이것은 영양있는 식사를 하지 못하기 때문에 이 후의 건강에도 영향을 줄 수 있는 부분이였죠.

그리고 치아는 다른 사람들 눈에도 잘 보여지는 부위이다 보니 심미적인 것도 신경을 써주셨습니다. 이가 빠져있는 공간들이 눈에 너무 잘 띄게 되면 사회생활을 하는데 있어 불편함을 느낄 수가 있던 것이였죠. 저작력과 심미적인 부분들을 해결해 주기 위해 해당 환자분은 임플란트 치료를 받아주셨습니다.
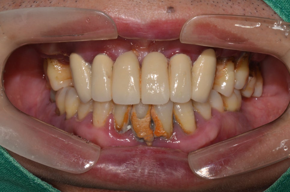
임플란트 치료 전
2020년 6월 16일


임플란트가 무엇인가요?
임플란트에 대한 치료에 잘 모르는 분들도 있을 것 같아 이 부분에 대해서 먼저 설명을 드리겠습니다. 임플란트는 상실된 공간이 생겼을 때 그 비어져 있는 공간을 메워주기 위해 인공적으로 치아를 만들어서 그 자리에 식립을 해주는 것을 말하는 것입니다. 인체에 해가 되지 않는 재료로 사용해서 제작이 되었습니다.
내원 이유
50대 남성 환자분이였는데 제목에서 말씀드린 것과 같이 잇몸이 계속 안좋아서 불편함이 있으셨고 이가 빠져서 식사를 하기 힘들다고 명동치과를 찾아 주셨습니다. 해당 환자분께는 임플란트 치료에 대한 자세한 설명을 드리고 치료를 진행하였습니다.
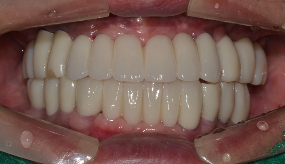
임플란트 치료 후
2022년 4월 1일


치료 진행
치아 위생상태가 좋지 않아 해당 부분도 같이 치료해 주었습니다. 전악 발치를 진행하고 전악 임플란트를 식립해 주어 치료를 마무리해 주었는데요. 중간에 식사를 잘 하실 수 있도록 임시치아도 해드렸습니다. 현재는 많이 구강 상태가 개선이 되어 잘 사용을 하고 계십니다.

명동치과에서 치료 받은 환자분의 전후사례 케이스를 설명드렸는데요. 상실된 치아를 계속해서 내버려 두게 된다면 말씀드린 것처럼 심미성도 떨어지고 저작력도 감소되기 때문에 만약 여러분들의 구강 중 이가 빠진 부분이 있다면 빠르게 치과에 방문하여 검진 받고 본인에게 맞는 방법으로 치료하여 건강한 구강을 가지시길 바랍니다.

명동치과에서는 임플란트 치료 경험이 풍부한
의료진이 상담부터 사후관리까지 철저하게 봐드리고 있습니다.
믿고 소중한 치아를 맡겨주신 분들에게
좋은 결과, 만족으로 보답드리고 있으니 임플란트 치료 고민되신다면?
보스톤치과에서 친절하게 상담해 드리겠습니다!
감사합니다 :D

치과 둘러보기






Previous image Next image