보스톤치과의원]
을지로치과 예전에 신경치료한 치아가 음식먹다가 부러졌어요.
안녕하세요 을지로치과 입니다. 오늘도 임플란트 시술 전후 사례에 대해 이야기를 해볼텐데요. 환자분의 어디가 불편하셔서 임플란트를 받게 되셨을까요? 함께 알아보도록 하겠습니다. 예전에 신경치료한 치아 부분이 음식을 먹다가 부러졌어요 이렇게 갑자기 치아를 상실한 상태라면 음식을 씹을 때 잘게 씹고 삼키는 것이...
아카이브 요약
이 페이지의 역할
BOSTON Dental Clinic [보스톤치과의원]의 네이버 블로그 원문을 보존한 아카이브 페이지입니다. B.임플란트 카테고리의 을지로치과 예전에 신경치료한 치아가 음식먹다가 부러졌어요. 글을 통해 병원의 한국어 정보 제공 방식과 진료 관련 안내 톤을 확인할 수 있습니다.
안녕하세요 을지로치과 입니다. 오늘도 임플란트 시술 전후 사례에 대해 이야기를 해볼텐데요.
환자분의 어디가 불편하셔서 임플란트를 받게 되셨을까요? 함께 알아보도록 하겠습니다.

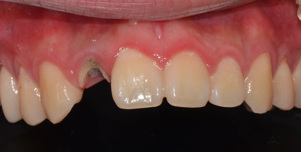
예전에 신경치료한 치아 부분이 음식을 먹다가 부러졌어요
이렇게 갑자기 치아를 상실한 상태라면 음식을 씹을 때 잘게 씹고 삼키는 것이 어렵기 때문에 식사를 매번 하실 때에
많이 불편하셨을 것 같습니다. 또한 상단의 사진과 같이 앞니 근처에 있는 치아가 상실되었기 때문에 심미적인 부분도 많이 떨어졌습니다.
이때에는 상실한 부위를 대신하기 위해 임플란트 식립을 고려해 볼 수 있는데요. 임플란트는 상실된 공간을 인공적으로 치아를 만들어 주고
이것을 그 자리에 심는 것으로 해결해 주어 자연치가 했던 기능적인 부분이나 심미적인 것을 회복시켜 주었습니다.
임플란트 치료 전
2022년 3월 7일


내원 이유
오늘 설명드리는 환자분은 20대 남성분으로 이전에 치과치료로 신경치료를 받은 후에 어떠한 음식물을 씹다가 치아가 부러져 버려서 내원해 주신 분이었습니다. 위에서 을지로치과가 말씀드린 것과 같이 음식을 먹는 것을 힘들어하셔서 치과를 방문해 주셨습니다. 임플란트는 흔히 나이가 많은 분들이 받는 치료이지 않을까? 라는 오해를 가지고 있는 분들도 계셨는데요.
임플란트는 나이와는 크게 상관없이 턱뼈가 다 자란 성인이라면 치료받으실 수 있었습니다. 그래서 나이가 많고 적던 치아를 상실한 부분이 있다면 임플란트 치료를 통해 자연치의 기능을 회복해 줄 수 있었습니다.
임플란트 치료 전
2022년 6월 14일
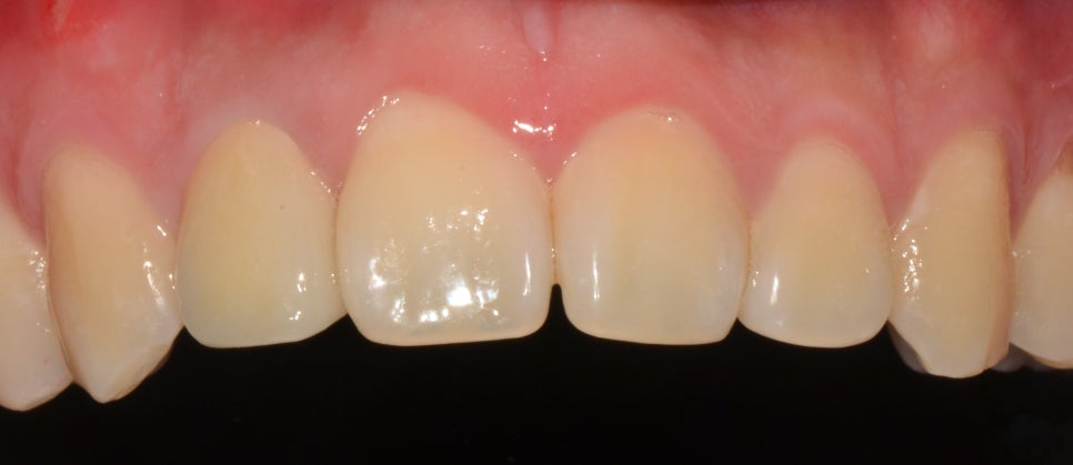
총 3개월 소요


치료 진행
상악 우측 측절치 발치 후 즉시 식립을 진행하였습니다. 다행히 치아뼈 상태가 좋았기 때문에 발치 후 즉시 식립으로 진행하여 빠르게 회복하실 수 있었는데요. 앞니 부분이다 보니 심미적으로 다른 사람들에게 잘 보이는 부위이다 보니 임시 틀니도 해드렸습니다.

임플란트는 뼈의 상태에 따라 치료 기간이 달라질 수 있었습니다. 뼈의 상태가 좋다면 발치 후 임플란트 즉시 식립이 가능하지만, 혹시라도 상실된 치아 공간을 오랜 시간 비워두게 된다면 잇몸뼈의 양이 줄어들고 이러한 상태는 바로 치료가 진행되기 어려웠습니다. 그래서 이때에는 뼈이식을 추가로 받으신 후 치료를 진행하셔야 하기 때문에 방치하는 것은 좋지 않다고 을지로치과는 말씀드리고 싶습니다.

오늘은 을지로치과에서 치료 받은 환자분의 전후 사례를 알아보았는데요. 바로 위에서 말씀드린 것과 같이 방치를 해두게 된다면 잇몸뼈의 소실이 일어나고 이뿐만 아니라 소화불량, 안면비대칭, 턱관절 장애 등 또 다른 문제들이 발생할 수 있어 하루라도 빠르게 치과에 방문하여 의료진과 상담을 받아보시길 바랍니다.

을지로치과에서는 첫 상담부터
마지막 사후관리까지 담당의가 중간에 바뀌지 않고
끝까지 책임 진료 하고 있습니다.
좋은 결과, 만족스러운 결과로 맛있는 식사를 하실 수 있도록
항상 노력하고 있습니다^^
치료에 대해 더 알고 싶은 부분이나 상담을 받고 싶으시다면
내원 문의, 전화 문의 부탁드립니다^^

치과 내부 살펴보기








Previous image Next image
더 보기
이 병원의 공개 콘텐츠를 계속 살펴보세요
출처 아카이브로 돌아가 더 많은 글을 보거나, 병원 프로필로 이동해 다른 공개 채널도 함께 비교해보세요.