아카이브 요약
이 페이지의 역할
보스톤치과의원 종로의 네이버 블로그 원문을 보존한 아카이브 페이지입니다. B.임플란트 카테고리의 종로임플란트 아래 치아가 계속 위에 치아랑 닿는 거 같더니 위에 앞니가 깨졌어요 글을 통해 병원의 한국어 정보 제공 방식과 진료 관련 안내 톤을 확인할 수 있습니다.
원문 검증
필요하면 원문 블로그와 병원 프로필로 바로 이동해 문맥을 다시 확인할 수 있습니다.
출처 아카이브 열기아카이브된 블로그 글
보스톤치과의원 종로 · ✅보스톤치과✅
안녕하세요 종로임플란트 치과 입니다^^ 본원에서 치료 받으신 임플란트 전후사례에 대해 말씀드리겠습니다. 치료 내용과 전, 후로 어떻게 달라졌는지 같이 확인해 보시길 바랍니다! 현재 임플란트 이벤트도 진행 중에 있으니 상단의 이미지 참고 부탁드립니다 :) 아래 치아가 계속해서 위에 있는 치아와 닿는것 같더니....
게시일
2024년 2월 23일
원문 기준으로 확인된 발행일입니다.
카테고리
B.임플란트
원문 블로그 카테고리를 정리해 함께 표시합니다.
이미지 수
18
현재 아카이브에 연결된 이미지 수입니다.
아카이브 요약
보스톤치과의원 종로의 네이버 블로그 원문을 보존한 아카이브 페이지입니다. B.임플란트 카테고리의 종로임플란트 아래 치아가 계속 위에 치아랑 닿는 거 같더니 위에 앞니가 깨졌어요 글을 통해 병원의 한국어 정보 제공 방식과 진료 관련 안내 톤을 확인할 수 있습니다.
원문 검증
필요하면 원문 블로그와 병원 프로필로 바로 이동해 문맥을 다시 확인할 수 있습니다.
출처 아카이브 열기
안녕하세요 종로임플란트 치과 입니다^^
본원에서 치료 받으신 임플란트 전후사례에 대해 말씀드리겠습니다.
치료 내용과 전, 후로 어떻게 달라졌는지 같이 확인해 보시길 바랍니다!
현재 임플란트 이벤트도 진행 중에 있으니 상단의 이미지 참고 부탁드립니다 :)

아래 치아가 계속해서 위에 있는 치아와 닿는것 같더니..
위에 있는 앞니가 깨져버렸어요.
기존에도 계속해서 식사를 하실 때 아래 있는 이와 위의 앞니가 부딪치게 된다면 앞니로 면을 끊거나 할 때에 많이 불편함을 느끼셨을 것 같은데요. 결국에는 앞니가 깨져버린 상태가 되어버렸네요. 이가 빠진 상태는 음식을 씹는 저작이 잘 되지 않아 식사를 하시는 것이 힘들어 하는 분들이 많이 있었으며 해당 상태에서 계속해서 내버려 두게 된다면 전체적인 치열도 망가질 수 있고 안면비대칭, 턱관절 질환 등 또 다른 문제가 생길 수 있습니다. 위의 사례와 같이 이가 이미 빠져서 빈공간이 생긴 분들이라면 하루라도 빠르게 치과에 가셔서 상태가 어떠하고 치료를 받아야 하는 것이 중요하다고 알려드립니다.

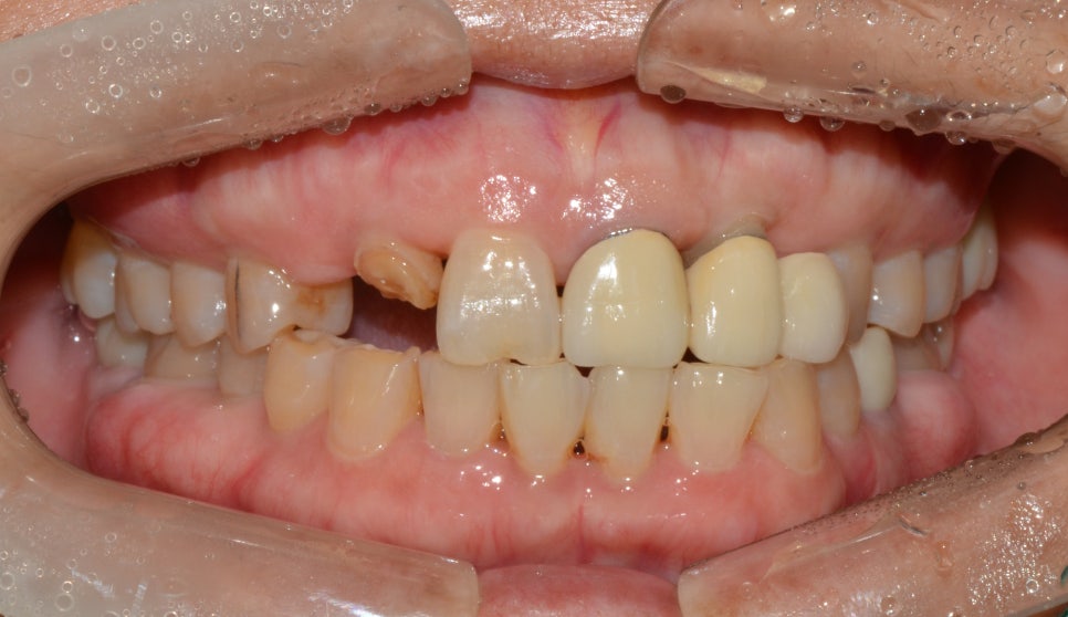
임플란트 치료 전
2018년 10월 1일


내원 이유
오늘 알려드리는 전후사례는 50대의 여성분으로 아래에 있는 치아가 앞니와 지속적인 닿음으로 인해 깨져버려 해당 상태로 내원을 해주셨어요. 정밀하게 3D CT로 구강검진을 한 후에 현재 구강 상태와 치아가 상실된 부위에 대해 자세하게 설명드리고 임플란트 치료를 안내해 드렸습니다.
임플란트는 여러원인으로 인해 이가 빠져버린 상태에서 인체에 무해한 재료들로 만든 인공적인 치아를 만들어주고 인공치를 비어 있는 부분에 심어주어 본래 기존의 치아가 했던 여러 역할들을 대신해 줄 수 있었던 치료 였습니다.
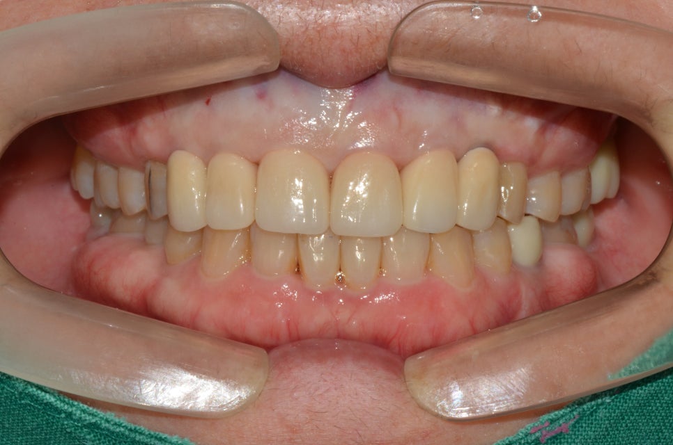
임플란트 치료 후
2019년 5월 1일 (총 7개월 소요)


치료 진행
아래치아가 나온 교합이기 때문에 정상적인 교합을 위해서 교정치료가 같이 진행되었습니다. 교정치료를 같이 하면서 상악 전치 임플란트 및 보철을 진행하여 깔끔한 치열과 알맞게 임플란트 식립을 통해 심미성을 많이 회복되어 이제는 편하게 식사를 하실 수 있게 되었습니다.

임플란트를 고려하실 때 인공치이기 때문에 심어진 후에 다른 이들과 차이가 나면 어쩌지? 라는 생각을 가지고 망설이시는 분들도 있을 것이라 종로임플란트 치과는 생각이 드는데요. 다양한 첨단 장비를 통해 기존의 이의 색과 크기 교합관계 등을 세심하게 확인하고 이것을 바탕으로 보철물이 제작 되고 있어 임플란트가 티가 많이 나지 않는다는 점도 같이 알아주시면 좋겠습니다.

오늘은 종로임플란트 치과에서 임플란트 시술을 받은 환자분의 전후사례 케이스에 대해 설명을 해 드렸는데요. 상실된 이 때문에 어떻게 치료를 해야 할지 고민이 되신다면 임플란트에 대해 풍부한 지식과 경험이 있는 의료진이 첫 상담부터 사후관리까지 계속해서 케어를 해드리는 종로임플란트 치과는 어떠신가요?
치료에 대해 궁금하신 점이 있으시다면 언제든지
02-720-5672~3
번호로 문의 전화 주시길 바랍니다^^
친절하며 정성을 다해 상담해 드리겠습니다!

치과 더 알아보기







Previous image Next image
