보스톤치과의원]
을지로입구역치과 앞니가 흔들리고 아파요
안녕하세요 을지로입구역치과 입니다. 오늘은 임플란트 전후 사례를 소개하겠습니다! 현재 본원에서는 스트라우만 임플란트와 덴티움 임플란트 이벤트도 진행하고 있으니 자세한 사항은 상단의 이미지를 참고해 주시면 감사하겠습니다^^ 앞니가 계속 흔들리면서 아파요 앞니는 우리의 눈에 잘 보이는 부분이다 보니 심미적인 기능도 있...
아카이브 요약
이 페이지의 역할
BOSTON Dental Clinic [보스톤치과의원]의 네이버 블로그 원문을 보존한 아카이브 페이지입니다. B.임플란트 카테고리의 을지로입구역치과 앞니가 흔들리고 아파요 글을 통해 병원의 한국어 정보 제공 방식과 진료 관련 안내 톤을 확인할 수 있습니다.

안녕하세요 을지로입구역치과 입니다.
오늘은 임플란트 전후 사례를 소개하겠습니다!
현재 본원에서는 스트라우만 임플란트와 덴티움 임플란트 이벤트도
진행하고 있으니 자세한 사항은 상단의 이미지를 참고해 주시면 감사하겠습니다^^

앞니가 계속 흔들리면서 아파요
앞니는 우리의 눈에 잘 보이는 부분이다 보니 심미적인 기능도 있지만 음식물을 먹을 때 먹기 좋은 크기로 잘라주는 역할도 가지고 있습니다. 또한 발음에도 영향을 많이 받았는데요. 알맞은 위치에 건강한 앞니여야 발음을 좀 더 명확하게 할 수 있었죠. 그래서 앞니가 흔들리는 증상을 방치하게 된다면 잇몸의 상태는 점차 악화될 수 있어 적절한 치료가 필요합니다. 이때 을지로입구역치과가 알려드리는 치료는 임플란트인데요.

임플란트란 치아가 손실되거나 상실된 부분에 치아의 뿌리와 동일한 형태의 인공치근을 식립하고 그 부위에 인공치아를 결합하여 자연치가 했던 기능들을 대신해 줄 수 있게 만드는 치료입니다. 임플란트는 씹는 힘이 자연치와 비슷하였기 때문에 저작력을 회복해 주면서 보이는 심미적인 부분도 우수하여 많은 분들이 치료를 받은 후 만족하기도 하였는데요. 그럼 오늘 환자분의 전후도 함께 자세하게 살펴보겠습니다.
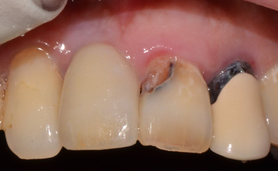
치료 전
2023년 2월 20일


내원 이유
오늘 같이 알아볼 환자분은 앞니의 흔들림으로 인해 통증이 있으면서 불편함을 느끼셔서 내원을 해주셨는데요. 50대 남성분이셨고 식사를 하고 음식을 씹을 때마다 아프다고 말씀해 주셨습니다. 3D CT로 구강 내부를 확인한 후 잇몸뼈의 상태 및 현재 구강 상태를 설명드린 후 임플란트 치료와 염증 치료를 같이 진행하는 것을 말씀드렸습니다.
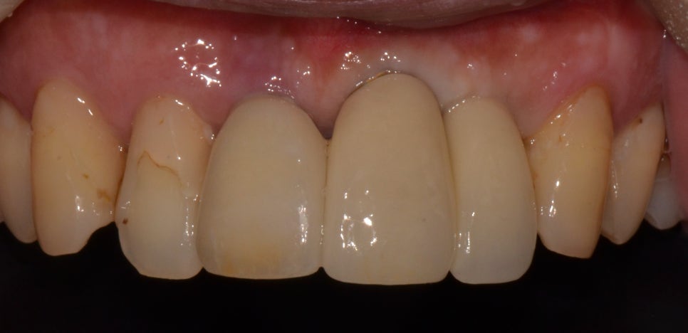
치료 후
2023년 9월 4일 (6개월 소요)


치료 진행
좌측 상악 전치와 측절치 발치를 한 후 염증이 심한 케이스이기 때문에 발치를 하고 난 후에 3개월 정도는 염증 치료를 진행하였습니다. 그리고 임플란트를 식립해 주었는데요. 염증으로 인해 잇몸뼈의 상태가 좋지 않아 잇몸뼈 이식도 진행하였습니다. 발치를 하고 나서는 임시 틀니를 사용할 수 있도록 해드렸으며 염증이 우선적으로 개선되어야 했기 때문에 구강관리에 대한 설명을 드리고 현재는 많이 개선된 상태입니다.

임플란트 시술에서 잇몸뼈를 중요하게 봐야 하는 이유는 뼈의 양이 부족하거나 상태가 좋지 않다면 지지를 해 줄 수 있는 부분이 없어 고정이 잘되지 않기 때문이었는데요. 고정이 잘되지 않으면 식립을 하더라도 흔들림이 있을 수 있고 음식을 먹을 때마다 흔들림이 있다면 제대로 저작력 또한 잘되지 않았습니다. 그래서 잇몸뼈의 상태가 좋아야 임플란트 치료가 가능하다는 점도 같이 참고해 주시길 바랍니다.

오늘 포스팅은 을지로입구역치과가 앞니의 흔들림으로 인해 내원해 주신 환자분의 치료 후기를 알려드렸습니다. 위의 내용들이 좋은 참고가 되셨기를 바랍니다^^ 감사합니다!
임플란트에 대해 수많은 경험과 노하우를 바탕으로
정확하게 식립합니다!
치료에 대해 궁금한 점 있으시다면 편하게
내원 및 전화로 연락 부탁드립니다^^
📞 02-720-5672~3









Previous image Next image

더 보기
이 병원의 공개 콘텐츠를 계속 살펴보세요
출처 아카이브로 돌아가 더 많은 글을 보거나, 병원 프로필로 이동해 다른 공개 채널도 함께 비교해보세요.